特别多人镶了烤瓷牙后,都会好奇烤瓷牙的寿命是几年。其实,这不仅关系到口腔健康,还影响着钱包的“健康”。镶烤瓷牙的使用寿命因人而异,一般能使用10年以上。但这背后有特别多影响因素,了解这些因素,就能掌握持久美齿的秘密。接下来,我们就一起深入探讨,帮你让烤瓷牙陪伴你更久。

烤瓷牙寿命的基本情况
大家都特别关心烤瓷牙的寿命是几年。实际上,镶烤瓷牙的使用时长没有一个固定的标准,它因人而异。不过,从普遍情况来看,烤瓷牙一般可以使用10年以上。这只是一个大概的范围,在现实生活中,有些患者的烤瓷牙可能使用了不到10年就出现了问题,而有些患者的烤瓷牙却能使用15年甚至更久。这就说明,烤瓷牙的寿命受到多种因素的影响。

护理和口腔卫生对烤瓷牙寿命的影响
良好的口腔卫生习惯对于延长烤瓷牙的寿命至关重要。每天正确刷牙是基础,要选择软毛牙刷,采用巴氏刷牙法,确保牙齿的每个面都能得到清洁。除了刷牙,使用牙线也不能忽视。牙线可以清理牙齿邻面的食物残渣和牙菌斑,这些地方是牙刷难以触及的。另外,定期洗牙也特别有必要,一般建议每年洗牙1 - 2次。洗牙可以去除牙齿表面的牙结石和牙菌斑,维护口腔健康,减少牙周病的发生。如果牙周病得不到及时治疗,会导致牙龈萎缩、牙槽骨吸收,从而影响烤瓷牙的稳定性,缩短烤瓷牙的使用寿命。所以,保持良好的口腔卫生习惯,就像是给烤瓷牙上了一层“保护罩”,能让它陪伴你更久。

饮食习惯与烤瓷牙寿命
饮食习惯对烤瓷牙的寿命也有较大的影响。在日常生活中,要尽量避免咀嚼硬的食物,像坚果、骨头等。这些硬食物在咀嚼过程中会对烤瓷牙产生较大的压力,容易造成烤瓷牙的磨损或崩裂。一旦烤瓷牙出现磨损或崩裂,不仅会影响美观,还可能导致牙齿敏感、疼痛等问题,重度的话还需要重新镶烤瓷牙。所以,为了让烤瓷牙使用得更久,在饮食上要多注意。可以多吃一些柔软、易咀嚼的食物,如面条、粥、蔬菜等。如果实在想吃硬一点的食物,可以先将其切成小块,减轻烤瓷牙的负担。

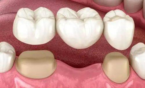
修复材料质量与烤瓷牙寿命
修复材料的质量是影响烤瓷牙寿命的重要因素之一。高质量的烤瓷牙通常采用更好的材料制作,其物理性能和化学稳定性都更好。一般来说,贵金属烤瓷牙和全瓷牙的质量相对较高,它们的生物相容性好,不容易引起过敏反应,而且强度和耐磨性也比较高,使用寿命相对更长。而一些质量较差的烤瓷牙,可能会出现金属离子析出、崩瓷等问题,影响烤瓷牙的使用寿命和口腔健康。所以,在选择烤瓷牙时,不要只看价格,要综合考虑材料的质量。虽然高质量的烤瓷牙价格可能会高一些,但从长远来看,它能为你省去特别多麻烦和费用。
其他影响烤瓷牙寿命的因素
除了上述因素外,烤瓷牙的寿命还受到医生的技术、烤瓷牙的设计、患者的口腔状况等因素的影响。医生的技术水平直接关系到烤瓷牙的安装质量。如果医生在备牙、取模、粘结等环节操作不当,会导致烤瓷牙与牙齿之间不密合,容易滋生细菌,引发龋齿和牙周病,从而缩短烤瓷牙的使用寿命。烤瓷牙的设计也特别关键,合理的设计可以分散咬合力,减轻烤瓷牙的负担。另外,患者自身的口腔状况也会影响烤瓷牙的寿命。如果患者本身患有牙周炎、龋齿等口腔疾病,会影响烤瓷牙的稳定性和使用寿命。

烤瓷牙出现问题后的处理
如果烤瓷牙出现问题,比如崩瓷、松动、疼痛等,千万不要忽视,要及时询问医生。医生会根据具体情况进行处理。如果问题比较轻微,可能只需要进行简单的修复;如果问题比较重度,可能需要重新镶烤瓷牙。及时处理问题可以避免问题进一步恶化,减少对口腔健康的影响。
现在大家对烤瓷牙的寿命是几年应该有了更清楚的认识。烤瓷牙的寿命受到多种因素的影响,包括护理和口腔卫生、饮食习惯、修复材料的质量、医生的技术等。要想让烤瓷牙更长久地为你服务,就要在日常生活中多注意口腔护理,养成良好的饮食习惯,选择质量好的烤瓷牙,并找专精的医生进行安装。如果烤瓷牙出现问题,及时询问医生。希望大家都能掌握持久美齿的秘密,拥有健康美丽的牙齿。

发表评论 取消回复