在选择牙齿修复材料时,特别多人都会纠结烤瓷和全瓷哪个耐用。这不仅关系到牙齿修复的成效,还影响着后续的使用体验和维护成本。今天,我们就来深入探讨一下这个问题,为你揭开其中的真相,让你在做决策时更加心中有数。
全瓷牙的耐用优势
全瓷牙在耐用性方面表现出色,主要体现在以下几个方面。首先,它的强度比较高。这意味着在日常咀嚼过程中,全瓷牙能够承受较大的压力而不易损坏。无论是吃坚果等较硬的食物,还是进行正常的咀嚼动作,全瓷牙都能保持较好的完整性。其次,全瓷牙更耐磨。牙齿在长期的使用过程中,会不断地与食物等进行摩擦,而全瓷牙的耐磨特性使得它能够在较长时间内保持良好的形态和功能,不会因为过度磨损而影响美观和使用成效。末尾,全瓷牙不掉色。它不会像一些其他材料那样,随着时间的推移而出现颜色变化,始终能保持洁白亮丽的外观,让你的笑容更加自信。

烤瓷牙的耐用短板
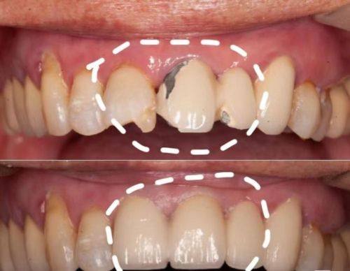
相比之下,烤瓷牙在耐用性上存在一些不足。一方面,烤瓷牙里面含有金属成分,时间长了容易使牙龈变色。这种变色不仅会影响美观,还可能对口腔健康产生一定的影响。另一方面,烤瓷牙容易崩瓷。在受到外力撞击或者咬到较硬的东西时,烤瓷牙的瓷层可能会出现崩裂的情况,这不仅会影响牙齿的外观,还可能导致牙齿的功能受到影响,需要及时进行修复。

材质特性影响耐用性
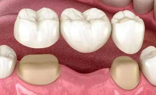
全瓷牙和烤瓷牙的材质特性决定了它们在耐用性上的差异。全瓷牙主要由陶瓷材料制成,这种材料具有良好的生物相容性和稳定性,能够与口腔环境较好地融合,减少了对口腔组织的刺激。而烤瓷牙是由金属基底和外面的瓷层组成,金属的存在使得烤瓷牙在某些方面存在局限性。例如,金属可能会与口腔中的唾液等发生化学反应,导致牙龈变色。同时,金属和瓷层之间的结合力也可能会受到影响,从而增加了崩瓷的风险。

使用场景与耐用性的关系
不同的使用场景也会对烤瓷和全瓷牙的耐用性产生影响。如果你的咀嚼习惯比较特殊,经常吃一些较硬的食物,那么全瓷牙可能更适合你,因为它的强度和耐磨性能够更好地应对这种情况。而如果你的咀嚼习惯相对温和,对牙齿美观的要求不是特别高,烤瓷牙也可以作为一种选择。但需要注意的是,即使咀嚼习惯温和,烤瓷牙也存在牙龈变色和崩瓷的风险。

维护保养对耐用性的作用
无论是烤瓷牙还是全瓷牙,正确的维护保养都能延长它们的使用寿命。对于全瓷牙,要避免过度用力咀嚼硬物,保持口腔清洁,定期到口腔医院进行检查。对于烤瓷牙,除了要注意这些之外,还要特别关注牙龈的健康状况,一旦发现牙龈变色等问题,应及时就医。通过良好的维护保养,可以在一定程度上弥补烤瓷牙在耐用性上的不足,同时让全瓷牙的耐用优势得到更好的发挥。
综上所述,烤瓷和全瓷哪个耐用的答案已经比较清晰了。全瓷牙相对烤瓷牙更耐用一些,它在强度、耐磨性和颜色稳定性等方面都具有明显的优势。但在选择时,你还需要结合自己的实际情况,如经济状况、咀嚼习惯、对美观的要求等。如果你追求更高的耐用性和美观度,全瓷牙是更好的选择;如果经济条件有限,且对牙齿美观要求不是特别高,烤瓷牙也可以考虑。不过,无论选择哪种,都要注意日常的维护保养,这样才能让你的牙齿修复成效更加持久。希望通过本文的介绍,能帮助你做出更合适的决策,拥有健康美丽的牙齿。

发表评论 取消回复