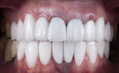
烤瓷牙
烤瓷牙列表
了解烤瓷牙种类:5种选择帮你重塑自信笑容!
在追求健康与美丽笑容的道路上,烤瓷牙成为了许多人的选择。然而面对众多的烤瓷牙种类,该如何挑选适合自己的呢?本文将为你详细介绍5种常见的烤瓷牙种类,帮助你根据自身情况做出明智的决策,重拾自信笑容。
烤瓷牙
2026年04月03日
烤瓷牙做核磁共振有什么影响?了解真相,保护你的口腔健康!
在现代医疗检查中,核磁共振是一种非常重要的诊断手段。然而,对于安装了烤瓷牙的人来说,常常会担心烤瓷牙做核磁共振有什么影响。其实,不同材质的烤瓷牙对核磁共振的影响是不一样的。了解这些影响,能让我们在进行核磁共振检查时做好充分准备,保护好自己的口腔健康。接下来,就让我们一起深入探究烤瓷牙做核磁共振的相关影响以及应对措施。
烤瓷牙
2026年04月03日
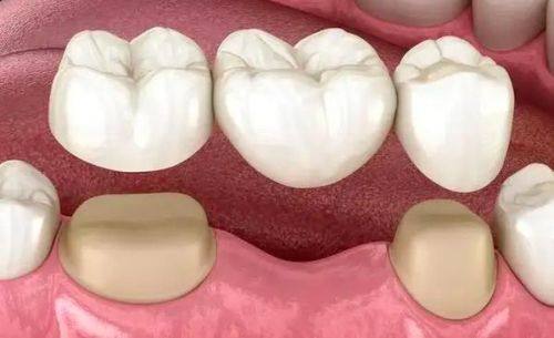
烤瓷牙的寿命是几年?揭示持久美牙的秘密!
很多人在镶烤瓷牙前,都会关心“烤瓷牙的寿命是几年”这个问题。毕竟,谁都希望自己的烤瓷牙能使用得久一些,保持长久的美观与实用。其实,镶烤瓷牙的使用寿命因人而异,一般来说可以使用10年以上。但具体能使用多久,还受到多种因素的影响。接下来,我们就一起深入了解影响烤瓷牙寿命的因素,揭开持久美牙的秘密。
烤瓷牙
2026年04月03日
烤瓷牙大概多少钱一颗?2026年价格表全新揭秘!
想知道烤瓷牙大概多少钱一颗吗?在2026年,烤瓷牙的价格因多种因素而有所不同。很多人在牙齿修复时都会考虑做烤瓷牙,但面对价格却一头雾水。本文将为大家详细揭秘2026年烤瓷牙的价格表,让你清楚不同情况下烤瓷牙的花费,为你的牙齿修复计划提供有价值的参考。
烤瓷牙
2026年04月03日
烤瓷牙松动了但没有掉下来怎么办?教你3个应对方法!
当你发现烤瓷牙松动了但没有掉下来,是不是心里特别慌,不知道该怎么办才好?别担心,本文就为大家详细介绍烤瓷牙松动但未脱落的原因、处理建议以及日常维护注意事项。如果你正面临烤瓷牙松动了但没有掉下来怎么办这个难题,那么这篇文章将为你提供专业且实用的解决方案,让你不再为烤瓷牙的问题而烦恼。
烤瓷牙
2026年04月02日
烤瓷牙可以做核磁共振吗?了解影响与注意事项!
在日常生活中,不少人做了烤瓷牙,但在需要进行核磁共振检查时,就会产生疑问:烤瓷牙可以做核磁共振吗有影响吗?其实,烤瓷牙能否做核磁共振取决于其金属成分含量,含金属的烤瓷牙可能会影响核磁共振图像质量,但并非绝对禁止。了解这些影响和注意事项,能帮助大家在面对检查时做出更合适的决策,接下来就让我们一起深入探讨。
烤瓷牙
2026年04月01日
烤瓷牙一阵一阵痛怎么办?5个有效缓解方法分享!
很多人做了烤瓷牙后,会遇到烤瓷牙一阵一阵痛的情况,这可太让人苦恼了。烤瓷牙一阵一阵痛怎么办呢?别着急,本文将为你详细介绍烤瓷牙疼痛的原因,并分享5个有效缓解方法,让你摆脱疼痛困扰,重新拥有健康舒适的口腔环境。无论你是因为安装问题、牙髓问题还是过敏反应导致的疼痛,都能在这里找到对应的解决办法。
烤瓷牙
2026年04月01日
烤瓷牙可以做核磁共振吗?费用揭秘与注意事项!
在口腔治疗中,烤瓷牙是常见的修复方式。当需要进行核磁共振检查时,很多人会有疑问:烤瓷牙可以做核磁共振吗多少钱?这是众多患者关心的问题。本文将为大家详细揭秘烤瓷牙做核磁共振的相关情况,包括能否进行检查、费用以及注意事项等,帮助大家更好地了解这方面的知识,为后续的检查和治疗提供参考。
烤瓷牙
2026年04月01日
烤瓷牙的寿命一般是多少年?了解影响因素与保养技巧!
很多人在做烤瓷牙时,都会关心“烤瓷牙的寿命一般是多少年”这个问题。毕竟,谁都希望自己的烤瓷牙能使用得久一些。其实,烤瓷牙的寿命一般为5 - 15年,但具体使用年限会受到日常护理、咬合习惯、基牙条件等多种因素的影响。了解这些影响因素和保养技巧,能帮助我们更好地延长烤瓷牙的使用寿命,接下来就为大家详细介绍。
烤瓷牙
2026年04月01日
烤瓷牙做核磁共振有什么影响?具体解答与注意事项
很多镶了烤瓷牙的朋友在需要做核磁共振检查时,都会担心“烤瓷牙做核磁共振有什么影响”。其实,烤瓷牙对核磁共振的影响主要体现在成像质量和安全风险两方面。不同材质的烤瓷牙影响不同,并且有相应的应对办法。了解这些知识,能让大家在面对检查时更加从容,避免不必要的麻烦。接下来,我们就详细探讨一下烤瓷牙做核磁共振的具体影响和注意事项。
烤瓷牙
2026年04月01日
