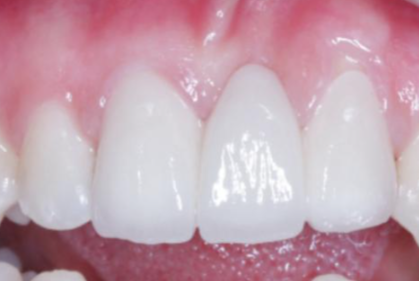
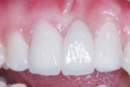
全瓷牙
全瓷牙列表
全瓷牙600一颗是真的吗?揭秘价格背后的真相与风险!
在口腔修复领域,全瓷牙是很多人修复牙齿的选择。然而,市场上出现了“全瓷牙600一颗”的低价宣传,这让不少人疑惑:全瓷牙600一颗是真的吗?其实,这种低价情况确实存在,但背后可能隐藏着材料质量或技术风险。本文将深入揭秘全瓷牙低价背后的真相与风险,为大家提供专业、实用的参考,帮助大家在选择全瓷牙时做出更明智的决策。
全瓷牙
2026年04月02日
全瓷牙的寿命是多少年?揭秘持久美齿的秘密!
你是否好奇全瓷牙的寿命是多少年呢?全瓷牙以其美观、舒适等优点,成为很多人修复牙齿的选择。然而,它的使用寿命并非固定不变,会受到多种因素的影响。了解全瓷牙的寿命以及影响因素,能帮助你更好地呵护牙齿,拥有持久美齿。接下来,就让我们一起揭开全瓷牙持久美齿的秘密吧!
全瓷牙
2026年04月02日
全瓷牙能用一辈子吗?揭秘持久性与护理技巧!
全瓷牙作为一种常见的牙齿修复方式,很多人都关心全瓷牙能用一辈子吗。其实,全瓷牙的使用时长受多种因素影响,并非简单的“是”或“否”。本文将深入探讨全瓷牙难以用一辈子的原因、相对有利的使用情况以及护理技巧等内容,为大家揭秘全瓷牙的持久性,让大家对全瓷牙有更清晰的认识,从而更好地呵护自己的牙齿。
全瓷牙
2026年04月01日
800元一颗是全瓷牙吗?揭秘价格背后的真相!
本文围绕“800元一颗是否为全瓷牙”展开揭秘。全瓷牙有诸多优点,但价格跨度大,800元一颗有可能是全瓷牙。其费用受制作工艺、材料、地区等因素影响。判断800元全瓷牙是否合适,要选正规机构并与医生充分沟通。无论价格高低,都需做好全瓷牙的维护保养。选全瓷牙应综合考量,遵医嘱定期复诊。
全瓷牙
2026年03月30日
全瓷牙和烤瓷牙哪个质量好?深度解析5大关键因素!
文章围绕全瓷牙和烤瓷牙哪个质量好展开,从5个关键因素深度解析:材料上全瓷牙更接近天然牙;美观度上全瓷牙透光性好、无暗影;生物相容性方面全瓷牙无金属过敏风险;耐用性上两者各有特点;综合选择需考虑口腔条件、美观需求和预算。建议先口腔检查并与医生沟通,根据自身情况选最适合的修复方案。
全瓷牙
2026年03月30日
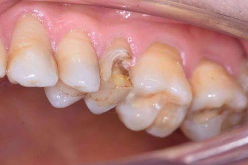
全瓷牙为什么不建议做?5大原因让你不得不看!
文章从5个维度分析全瓷牙不建议做的原因。术后可能有敏感、咬合问题,带来不适;基牙底色影响美观效果,易有色差;价格高于金属烤瓷牙,会造成经济压力;医生技术不佳会致边缘密合差等问题;若适应症筛查不严,牙周不佳或有磨牙症者做全瓷牙易折裂。提醒做决策时综合考量,有疑问咨询专业医生。
全瓷牙
2026年03月30日
全瓷牙套粘上还能取下吗?揭秘牙科医生的建议!
本文围绕“全瓷牙套粘上还能取下吗”展开。全瓷牙套粘上后通常不建议自行取下,但特殊情况可取下。自行取下风险大,可能损伤牙齿和牙冠。特殊情况如牙套不合适、基牙病变等需取下。应去正规医院让专业医生用工具操作,取下后要注意牙齿敏感、口腔卫生,按医嘱处理。遇到问题及时咨询医生。
全瓷牙
2026年03月27日
全瓷牙寿命一般多少年?揭秘持久美齿的秘密!
本文围绕全瓷牙寿命展开。一般全瓷牙使用寿命超10年,但受多种因素影响。影响因素包括牙齿本身情况、材料质量、医生技术、患者使用维护及口腔健康状况。延长寿命可注意口腔卫生、定期复诊、避免不良习惯。通过案例可知正确使用维护很重要。建议选好材料和医生,做好日常维护,以延长全瓷牙使用时间。
全瓷牙
2026年03月27日
全瓷牙冠一般质保几年?揭秘牙冠耐用性与保养技巧!
本文围绕全瓷牙冠质保年限展开。全瓷牙冠美观、生物相容性好且不影响磁共振检查,使用寿命通常超10年。其质保受口腔卫生、饮食习惯、咀嚼习惯等因素影响。可通过注意口腔卫生、避免咀嚼硬物、定期检查维护来延长质保。不同品牌质保情况有别,选择时需综合考量,做好日常保养才能让牙冠陪伴更久。
全瓷牙
2026年03月27日
全瓷牙能用一辈子吗?揭秘耐用性与保养技巧!
本文围绕“全瓷牙能否用一辈子”展开探讨。全瓷牙美观舒适,但使用寿命受多种因素影响,如牙齿自身状况、患者维护、定期检查等。通常全瓷牙难以使用一辈子,不过可通过保养延长其寿命,包括避免咬过硬过黏食物、做好口腔清洁、定期检查等。提醒已做或考虑做全瓷牙者重视保养,以获良好修复效果。
全瓷牙
2026年03月27日
