龋齿
龋齿列表
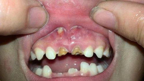
龋齿的危害:你知道会对健康造成哪些严重影响吗?
文章指出龋齿危害不容小觑,不仅影响口腔健康,还威胁全身健康。它会渐进破坏牙齿结构,从浅龋发展到深龋,导致牙齿敏感、疼痛,影响睡眠。还会降低生活质量,造成口臭,影响社交。此外,口腔细菌可能引发心血管疾病、影响消化,儿童龋齿还会影响恒牙发育。因此要重视预防和治疗,保持口腔卫生。
龋齿
2026年02月11日
龋齿修复多少钱一颗?看完这些你就明白了!
本文围绕龋齿修复费用展开介绍。龋齿修复费用受龋坏程度、补牙材料、医院级别和医生技术等因素影响。浅龋和牙本质浅层中龋修复费约 300 - 500 元;中龋需先垫底,费用约 400 - 600 元;深龋需安抚或间接盖髓,费用约 500 - 600 元;感染牙髓需根管治疗,费用约 2000 元。发现龋齿应及时就诊,莫因费用拖延。
龋齿
2026年02月11日
龋齿不治疗会有什么后果?揭秘3大严重影响!
本文揭秘了龋齿不治疗的五大严重影响。一是影响正常生活,疼痛打乱生活节奏;二是影响食物消化吸收,增加胃负担;三是引发继发感染,严重时危及生命;四是损伤口腔黏膜,易引发口腔溃疡;五是导致牙齿缺失,影响美观与功能。因此,发现龋齿应及时去正规口腔医院治疗,保护牙齿就是保护身体健康。
龋齿
2026年02月11日
龋齿不处理会一直烂吗?揭秘牙齿健康的真相与影响!
本文围绕“龋齿不处理会一直烂吗”展开探讨。答案是肯定的,龋齿不处理会持续恶化,引发牙齿失能、牙髓病变等严重后果。饮食习惯、口腔卫生、唾液分泌异常会加速恶化。预防需重视口腔卫生、调整饮食、定期检查。发现龋齿要及时就医、配合治疗、做好术后护理,以守护牙齿健康。
龋齿
2026年02月09日
龋齿补牙后一般能维持几年?告诉你真相是什么!
本文围绕龋齿补牙后维持时间展开。深龋补牙一般维持约五年,受饮食习惯、龋坏程度影响。补牙材料及医生技术也影响维持时长。为延长时间,术后要注意饮食,避免过硬过粘食物,保持口腔卫生。若补牙后疼痛、材料松动脱落应及时就医。定期复查能早发现问题,保障口腔健康,让补过的牙陪伴更久。
龋齿
2026年02月09日
龋齿牙疼怎么办?这5个有效方法帮你缓解疼痛!
文章围绕“龋齿牙疼怎么办”给出5个缓解方法。药物治疗可选用氟化钠甘油糊剂等;严重龋病可用手术,如银汞合金充填术等;一般治疗强调养成良好口腔护理习惯;饮食上要避免刺激食物,多吃健康食品;民间小妙招如咬花椒、用盐水漱口可应急。建议根据自身情况选方法,更要重视口腔健康,定期检查清洁。
龋齿
2026年02月09日
儿童龋齿怎么处理最好?5个有效方法助力健康牙齿!
本文围绕“儿童龋齿怎么处理最好”展开,介绍了5种有效方法。药物治疗适用于广泛前龋,抑制龋发展;充填手术去除龋坏、恢复外形。日常要注重口腔清洁,教会正确刷牙、用牙线和饭后漱口。饮食上少吃甜食,多吃营养食物。还需定期口腔检查,早发现早治疗。综合运用这些方法,能助力孩子拥有健康牙齿。
龋齿
2026年02月09日
怎样判断宝宝牙齿是钙化还是龋齿?5个关键指标助你识别!
本文围绕如何判断宝宝牙齿是钙化还是龋齿展开,给出5个关键指标。外观上,钙化是浅色斑点、表面光滑,龋齿有黑点、龋洞且表面粗糙;质地方面,钙化基本不变,龋齿会松软;钙化不疼,龋齿会引发疼痛;形成原因分别与营养、疾病和口腔卫生、甜食有关;发展上,钙化慢,龋齿快。建议家长初步判断后带宝宝就医确诊治疗。
龋齿
2026年02月09日
小孩龋齿怎么解决?五个有效方法让孩子重拾自信笑容!
文章围绕小孩龋齿的解决方法展开。先阐述了龋齿危害,如影响咀嚼、引发疾病、导致自卑等。接着介绍五个有效方法:牙齿填充(补牙)可恢复牙齿功能;改善生活习惯从根源防龋;局部应用氟化物增强抗龋力;窝沟封闭预防特定部位龋齿。强调家长要重视孩子口腔健康,定期检查,助其养成好习惯,有疑问可咨询专业医生。
龋齿
2026年02月09日
龋齿一般多久烂完?揭秘影响龋齿发展的关键因素!
本文围绕龋齿从发生到烂完的时间展开,指出其受龋齿严重程度、口腔卫生、饮食习惯、治疗及时性等因素影响,时间从几个月到几年不等。为延缓或阻止龋齿进展,要保持良好口腔卫生、做好饮食管理、定期检查、及时治疗。文中还举例说明不同情况的龋齿发展差异,呼吁大家行动起来保护牙齿,远离龋齿困扰。
龋齿
2026年02月09日
