牙齿美白后酸痛难忍怎么办?5个缓解小妙招分享! 文章围绕牙齿美白后酸痛问题展开,先介绍酸痛原因是美白损伤牙齿、刺激牙釉质致神经末梢易受刺激。接着分享5个缓解妙招:冰敷冷敷促进血液循环;饮食清淡,忌辛辣冰冷食物,多喝水;用抗敏感牙膏形成保护膜;严重或持续久时及时就医。掌握这些方法,能应对牙齿美白后的酸痛困扰,助大家拥有健康洁白牙齿与灿烂笑容。 牙齿美白 2026年03月04日 0 点赞 0 评论 7 浏览
牙齿美容整形多少钱?2026年最新价格揭秘与注意事项! 本文围绕2026年牙齿美容整形价格及注意事项展开。牙齿整形费用参考范围8000 - 30000元,受畸形程度、地区、矫治器材料等因素影响。不同矫治器材料费用有别,国产亲民、进口稍贵、隐形更贵。还介绍了医院医生、治疗方案等影响价格的其他因素。同时给出选择正规机构、与医生沟通等注意事项,助大家选合适方案美牙。 牙齿美白 2026年03月04日 0 点赞 0 评论 7 浏览
小朋友看牙去儿童医院还是口腔医院?告诉你最佳选择! 本文围绕小朋友看牙选儿童医院还是口腔医院展开。从专业度、设备、环境、医生沟通能力和费用等维度对比:口腔医院专业性强、设备先进、环境温馨、医生沟通能力优,但费用差异大;儿童医院费用报销规范。最终指出无绝对答案,简单问题且想报销选儿童医院,复杂问题需专业治疗和优质体验选口腔医院。 儿童牙齿 2026年03月04日 0 点赞 0 评论 7 浏览
儿童齿科涂氟有必要吗?告诉你5个关键理由! 本文围绕“儿童齿科涂氟是否必要”展开探讨。涂氟能加强牙齿钙化、抑制细菌、增加抵抗力、避免牙病影响营养摄入。一般建议三岁后涂氟,需在医生指导下于正规医院操作。同时要注意掌握氟浓度,防止氟斑牙和氟中毒,涂氟后短时间避免进食。总体而言,涂氟有益,但要正确操作,家长可咨询医生保障孩子牙齿健康。 儿童牙齿 2026年03月04日 0 点赞 0 评论 7 浏览
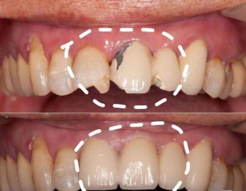
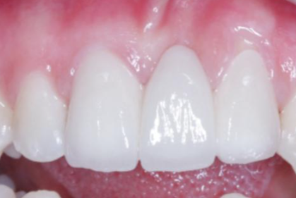
牙齿美白价格大概多少左右?揭晓真实费用与效果对比! 文章围绕牙齿美白价格展开,指出其受牙齿状况、地区、口腔机构等因素影响。普通黄牙美白费用2000 - 3000元,含洗牙抛光和冷光美白,效果维持约2年;严重黄牙(四环素牙等)常需贴面修复,一颗2500 - 6000元,整体费用较高。建议普通黄牙选冷光美白,严重黄牙且预算足选贴面修复,要选正规机构。 牙齿美白 2026年03月04日 0 点赞 0 评论 7 浏览
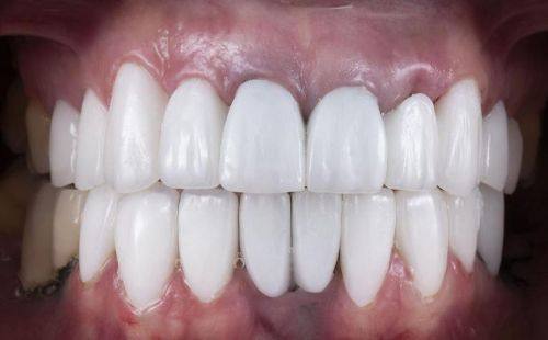
牙齿美白后注意事项:7个关键点让你的笑容更迷人! 文章围绕牙齿美白后注意事项展开,介绍7个关键点。饮食上,一周内避易染色食物,24小时内忌冷热刺激;有吸烟习惯的需戒烟一周;要养成饭后刷牙习惯,选磨耗度低的牙刷和牙膏;定期洗牙、检查;此外,避免用过硬东西咀嚼,保持良好作息心态,不适及时就医,做好这些能让美白效果持久,笑容更迷人。 牙齿美白 2026年03月04日 0 点赞 0 评论 7 浏览
活动义齿一般多少钱一颗费用?2026年最新价格揭秘! 文章揭秘2026年活动义齿最新价格。通常镶活动假牙一颗1000 - 3000元,不同类型费用有别。如隐形义齿1000 - 1200元,便宜但寿命短、咀嚼差;钴铬合金等1500 - 2000元,强度好、使用久;纯钛基托2000 - 3000元,舒适美观。此外,地区、医院等级和医生水平也影响价格,选义齿要综合考量。 活动义齿 2026年03月04日 0 点赞 0 评论 7 浏览
活动义齿哪种最舒服还不伤害基牙?揭秘3种最佳选择! 本文围绕“活动义齿哪种最舒服还不伤害基牙”展开。首先强调了活动义齿舒适与护基牙的重要性,接着介绍了纯钛金属基托活动义齿等三种义齿的特点,包括舒适度、对基牙的影响、价格等。还给出选择建议,要考虑口腔状况、经济因素,并听取医生建议。最后提醒佩戴后注意适应期、清洁和饮食,综合考量选适合自己的义齿。 活动义齿 2026年03月04日 0 点赞 0 评论 12 浏览
补一颗活动义齿多少钱?揭秘真实费用与选择技巧! 本文围绕补一颗活动义齿的费用及选择技巧展开。费用大致在100 - 300元,受材料、修复难易、医院级别、当地经济等因素影响。不同材料义齿各有特点和价格区间。选择时要综合自身情况,选正规机构,多对比。此外,后期维护有成本,需正确佩戴清洁。提醒大家综合考量价格、质量和舒适度,必要时咨询医生。 活动义齿 2026年03月04日 0 点赞 0 评论 7 浏览
清洁美白的正确顺序:让你的笑容焕发光彩的5个步骤! 文章介绍了清洁美白的5个步骤,助你拥有焕彩笑容。第一步做好准备,面部洗净手、凉水拍脸,口腔备好清洁工具;第二步充分起泡,面部和口腔清洁产品都要先起泡;第三步轻柔按摩,注意力度和时间;第四步彻底冲洗,避免残留;第五步后续保养,面部选合适护肤品,口腔用漱口水等。强调按此顺序护理,结合自身情况调整,能有效清洁美白。 牙齿美白 2026年03月04日 0 点赞 0 评论 9 浏览