在牙齿矫正的道路上,特别多人都会纠结于“牙套金属的好还是陶瓷的好”这个问题。其实,选择金属牙套还是陶瓷牙套,需要综合考虑美观需求、经济预算和口腔条件等多方面因素。本文将从多个维度为你详细对比金属牙套和陶瓷牙套,帮你在这两种牙套中做出明智的选择,让你的牙齿矫正之旅更加顺利。
选择考量因素:多方面权衡
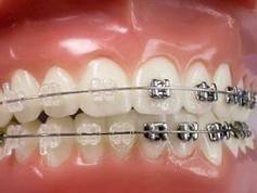
当你面临“牙套金属的好还是陶瓷的好”的抉择时,首先要考虑自己的美观需求、经济预算和口腔条件。陶瓷托槽在美观性上表现出色,它的颜色接近天然牙齿,戴上后不太容易被察觉,适合那些对美观要求较高的成年患者或者特殊职业人群,比如演员、主持人等。不过,它的价格相对较高。而金属托槽虽然在美观度上稍逊一筹,但它非常耐用,性价比特别高,对于预算有限或者不太在意美观的人来说是个不错的选择。

陶瓷托槽:美观与挑战并存
陶瓷托槽有不少优点。它采用氧化铝或氧化锆材质,颜色和我们的天然牙齿特别接近,这对于注重外在形象的人来说是一大福音。而且,它的表面比金属更光滑,在佩戴过程中能减少对口腔黏膜的摩擦刺激,让你感觉更舒适。
然而,陶瓷托槽也有一些不足之处。它的材质比较脆,如果咀嚼硬物,特别可能会出现崩裂的情况。另外,它与弓丝之间的摩擦力较大,这可能会导致牙齿移动速度变慢,从而延长矫正周期。还有,要是你吃了深色食物,陶瓷托槽可能会被染色,所以需要你更加用心地清洁维护。

金属托槽:实用与小困扰相伴
金属托槽也有自己独特的优势。它大多是由不锈钢或钛合金制成,机械强度特别高,能够承受较大的咬合力,即使你平时吃东西比较“用力”,它也不容易损坏。而且,它的弓丝滑动阻力小,有利于牙齿快速移动,这样可能会缩短矫正的时间。此外,金属托槽的体积通常较小,对舌体活动的影响比较轻,不会给你带来太多的不便。
不过,金属托槽也有一些小问题。它的导热性能好,当你吃冷热食物时,冷热刺激传递会更敏感,部分患者可能会有短暂的不适。同时,它的边缘更容易残留食物残渣,虽然金属托槽和陶瓷托槽都有可能引发口腔溃疡,但金属托槽在这方面可能需要你多注意清洁。

矫正成效:材质并非关键
特别多人担心“牙套金属的好还是陶瓷的好”会影响矫正成效,其实矫正成效更终取决于正畸方案的设计,而不是托槽的材质。专精的正畸医师会根据你的牙列拥挤度、咬合关系等具体情况,为你制定个性化的矫正方案。无论是选择金属牙套还是陶瓷牙套,只要方案合适,都能达到理想的矫正成效。
注意事项:矫正全程需留意
不管你选择了金属牙套还是陶瓷牙套,在佩戴期间都有一些注意事项。首先,要使用正畸专用牙刷配合牙缝刷进行清洁,这样才能把牙齿和牙套清洁干净。同时,要避免吃黏性食物和硬质坚果,以免损坏牙套。其次,要定期去医院复查,让医生调整弓丝的力度。如果出现托槽脱落或者弓丝扎嘴的情况,要及时处理。末尾,正畸结束后,一定要按照医生的嘱咐佩戴保持器,防止牙齿反弹,保持口腔卫生也有助于长期成效的维持。
综上所述,“牙套金属的好还是陶瓷的好”并没有完全地的答案,这需要你根据自己的实际情况,从美观需求、经济预算、口腔条件等多方面进行综合考虑。如果你更注重美观,不在意价格和矫正周期,陶瓷托槽可能更适合你;如果你追求性价比和牙齿快速移动,金属托槽会是一个不错的选择。希望通过本文介绍的5大因素,能帮助你在金属牙套和陶瓷牙套之间做出明智的选择。在做决定之前,建议你询问专精的正畸医生,他们会根据你的具体情况给出更专精的建议。祝你拥有一口整齐健康的牙齿!

发表评论 取消回复