补牙
补牙列表
补牙可以用医保报销吗?揭秘医保报销的真相与注意事项!
本文围绕“补牙能否用医保报销”展开。补牙基本材料及治疗费用可医保报销,但受地区政策、材料选择、医院性质等因素影响。报销需在医保定点医院,准备好相关证件,按流程结算。补牙前要沟通材料,保存凭证,注意报销时间。此外,拔牙可报销,牙齿美容一般不能。大家应合理利用医保,减轻费用压力。
补牙
2026年02月11日
补牙齿的填充物一般坚持多久?揭秘持久性的秘密!
文章围绕补牙齿的填充物持久度展开。其维持时间受多种因素影响,从数年到数十年不等。不同材料如银汞合金、复合树脂等维持时间有别。影响使用寿命的因素包括填充物类型、材料质量、医生技术和患者口腔卫生等。可通过保持口腔卫生、定期检查、合理饮食延长其寿命,出现异常及时就医,以保护补牙后的牙齿。
补牙
2026年02月10日
补牙材料哪种好?推荐的5种最佳选择解析!
本文围绕补牙材料展开,解析专家推荐的5种最佳材料。介绍复合树脂、玻璃离子水门汀等材料特性与适用情况,如复合树脂美观强度高,适合多种牙齿修复。阐述影响材料选择的因素,包括牙齿位置、美观需求等。建议补牙前咨询专业牙医。还强调补牙后需注意避免硬物、保持卫生、定期检查等,助读者选合适材料护牙健康。
补牙
2026年02月10日
补牙用什么材料最好?揭秘3种适合的选择!
本文围绕“补牙用什么材料最好”展开,指出没有绝对最佳材料,应综合自身情况选择。介绍了三种常见材料:树脂类美观、操作方便但易收缩致继发龋;银汞合金硬度高、价廉但影响美观且含汞;玻璃离子能释氟、美观,但强度低、寿命短。最后建议依美观、经济、防龋需求选材料,也可咨询专业医生。
补牙
2026年02月10日
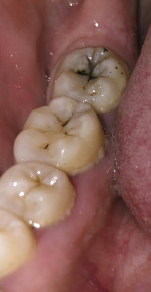
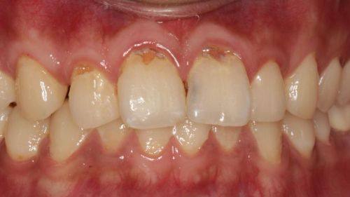
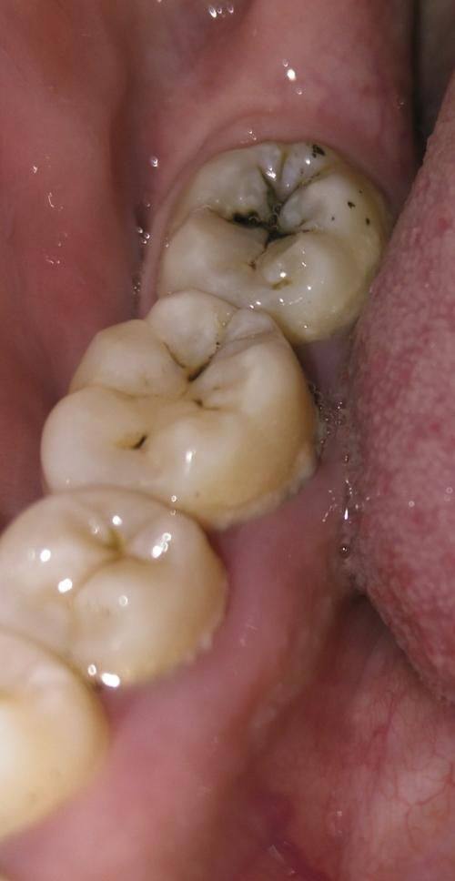
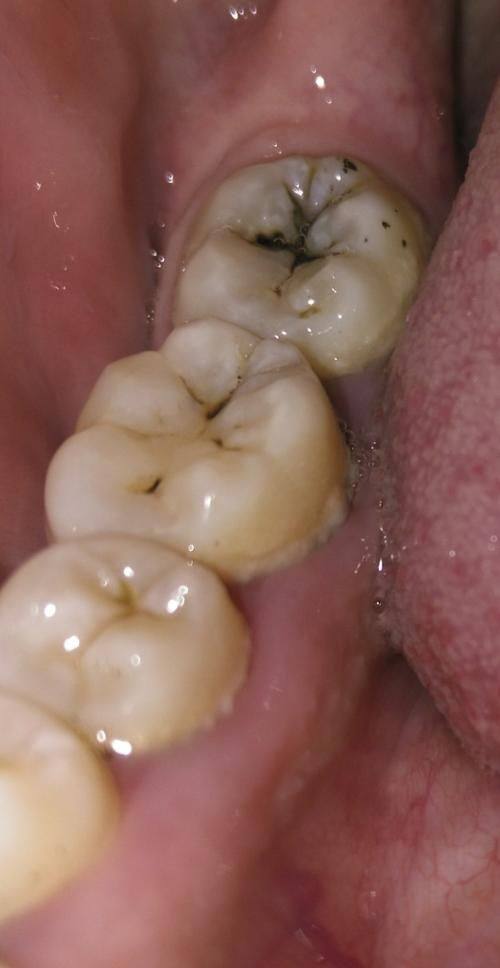
补牙后内部会继续烂吗?揭秘补牙的真相与注意事项!
本文揭秘补牙后内部是否会继续烂的真相并给出注意事项。人们有此疑惑源于牙齿情况难直观知晓等。原因包括未杀神经龋洞深、清洁不到位。症状有疼痛、敏感、外观变化等。预防要避免刺激、正确刷牙、定期复查。只要了解原因做好预防,就能降低风险,人们应重视口腔护理,及时咨询医生。
补牙
2026年02月10日
补牙可以用医保吗?看完这篇你就明白了!
本文围绕“补牙可以用医保吗”展开解答。医保主要报销因疾病(如龋齿、牙周炎)导致的补牙费用,美容性质的补牙不在报销范围。符合条件者,需去定点医疗机构,按挂号、诊断治疗、结算等流程操作。报销受比例、限额影响,且要保管好报销凭证。了解这些要点,可合理用医保补牙、节省费用。
补牙
2026年02月06日
补牙齿的材料哪种最好?推荐三种优质选择!
文章围绕补牙材料展开,指出没有绝对“最好”的材料,需综合考量。介绍了复合树脂、玻璃离子水门汀等多种材料,各有优缺点,如复合树脂美观实用但有微渗漏风险,银汞合金耐磨价廉却不美观。还给出选择建议,前牙重美观,后牙重强度,特殊人群选生物相容性高的材料。强调补完牙要做好日常维护,综合多因素选适合自己的材料。
补牙
2026年02月06日
补牙后多久可以吃东西?告诉你最佳等待时间!
本文围绕补牙后多久可以吃东西展开。补牙时间受多种因素影响,不同补牙材料固化时间不同,进食时间有别;牙齿损伤程度不同,进食等待期也有差异;个人口腔恢复情况不同,能进食时间也不一。医生嘱咐至关重要,要严格遵守。此外,补牙后饮食应清淡易消化,注意口腔卫生。综合考量各因素,按实际情况安排饮食,有问题及时咨询医生。
补牙
2026年02月06日
补牙齿的填充物一般坚持多久?揭秘持久性与护理技巧!
本文围绕补牙齿的填充物维持时间展开。其维持时间因材料和口腔状况而异,一般数年至数十年不等。银汞合金可维持 5 - 10 年甚至更久,复合树脂和玻璃离子水门汀常用且持久。影响因素有填充物类型、材料质量、医生技术和口腔卫生等。出现特殊情况要及时处理,还可通过保持清洁、避免咬硬物、定期检查来延长其寿命。
补牙
2026年02月05日
补牙可以用医保报销吗?看完这篇你就明白了!
文章围绕“补牙可以用医保报销吗”展开解读。补牙属治疗项目,符合条件可报销基本材料和治疗费,但受多因素影响。如要选医保定点医院,材料需为基本材料,账户状态要正常。不同补牙类型报销有别,且存在常见误区。治疗前要确认医院、了解政策流程及账户状态,合理用医保减轻负担。
补牙
2026年02月03日
