在考虑牙齿修复方案时,特别多人会将烤瓷牙纳入选择范围。然而,为什么不建议做烤瓷牙呢?这背后其实隐藏着一些潜在风险。本文将为你详细揭示这5大潜在风险与真相,帮助你在做牙齿修复决策时,能更全方面地了解烤瓷牙,避免因信息不足而做出不适合自己的选择,让你在追求牙齿美观与健康的道路上少走弯路。

使用时长受限
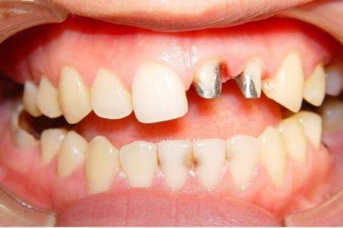
为什么不建议做烤瓷牙,使用时长是一个重要因素。烤瓷牙的使用时间相对较短,和全瓷牙相比,它没那么坚固。全瓷牙的材料特性使得它在面对日常咀嚼等压力时,更能保持稳定的结构和性能。而烤瓷牙由于其自身材质和制作工艺的特点,在长期使用过程中,更容易出现磨损、崩瓷等问题。
比如,在正常的咀嚼过程中,烤瓷牙可能因为承受不住较大的咬合力,导致表面的瓷层出现裂纹甚至崩落。一旦出现这种情况,不仅影响牙齿的美观,还可能影响牙齿的正常使用,需要及时进行修复或更换。这就意味着,选择烤瓷牙可能在未来需要花费更多的时间和金钱去维护和更换。

影响医疗检查
做了烤瓷牙会对以后的医疗检查产生影响,这也是为什么不建议做烤瓷牙的原因之一。核磁共振是一种常见的医学检查手段,它利用强大的磁场和无线电波来生成身体内部的详细图像。而烤瓷牙中的金属成分会干扰核磁共振的磁场,导致图像出现伪影。
这就好比在一幅清晰的画面上蒙上了一层纱,医生无法正确地观察到牙齿周围组织以及相关部位的真实情况,从而可能影响疾病的诊断和治疗。如果在做了烤瓷牙之后需要进行核磁共振检查,可能需要先拆除烤瓷牙,这无疑会给患者带来额外的麻烦和痛苦。

健康危害隐患
部分劣质烤瓷牙会对人体健康造成不良影响,这是为什么不建议做烤瓷牙的关键原因。劣质烤瓷牙的金属底冠中含有一些有害物质,像重金属元素铍、镍或锘等。在我们潮湿的口腔环境中,这些金属的性质特别不稳定。
它们容易发生氧化分解,形成一些对人体有害的物质。这些有害物质可能会导致牙龈变黑,让牙齿看起来不再美观。还可能引发全身过敏反应,患者可能会出现皮肤瘙痒、呼吸急促等症状。更重度的是,长期积累的有害物质可能会对人体的肝、肾等重要器官造成影响,威胁身体健康。

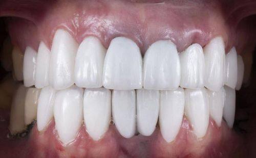
美观度有局限
从美观角度来看,为什么不建议做烤瓷牙也有一定道理。虽然烤瓷牙在一定程度上可以改善牙齿的外观,但和一些新型的牙齿修复方式相比,它的美观度还是存在局限。烤瓷牙的颜色和透明度特别难完全达到和天然牙齿一样的成效。
尤其是在灯光下,烤瓷牙可能会显得比较假,不够自然。而且,随着时间的推移,烤瓷牙的颜色可能会发生变化,与周围的牙齿颜色不再协调,影响整体的美观成效。对于那些对牙齿美观度要求较高的人来说,这可能是一个难以接受的问题。

价格与性价比问题
在价格方面,烤瓷牙的性价比并不高,这也是为什么不建议做烤瓷牙的一个因素。虽然烤瓷牙的价格相对一些高端的牙齿修复方式来说可能较低,但考虑到它的使用寿命和可能出现的问题,从长远来看,它并不划算。
如前面所说,烤瓷牙容易出现磨损、崩瓷等问题,需要频繁地进行修复或更换,这就增加了总体的费用。而一些价格稍高的全瓷牙,虽然前期投入较大,但由于其使用寿命长、性能稳定,从长期来看,性价比更高。
为什么不建议做烤瓷牙?通过以上对5大潜在风险与真相的揭示,我们可以看出,烤瓷牙在使用时长、医疗检查、健康危害、美观度和性价比等方面都存在一些问题。在选择牙齿修复方案时,大家一定要充分了解各种方案的优缺点,结合自己的实际情况,如牙齿状况、经济能力、对美观的要求等,做出更适合自己的选择。如果你对烤瓷牙还有其他疑问,建议询问专精的口腔医生,他们会为你提供更详细、更个性化的建议。

发表评论 取消回复