特别多人都关心种植牙齿可以用多少年,毕竟种牙也不是一件小事。种植牙的寿命可不是一个固定的数字,它受到多种因素的影响。了解这些影响因素,对于想要种牙或者已经种了牙的人来说非常重要。接下来,我们就一起深入探讨这个问题,揭秘种植牙长期使用的真相,让大家对种植牙的使用寿命有更清晰的认识。

种植牙的一般使用寿命
种植牙齿可以用多少年是特别多患者关注的焦点。一般来说,种植牙的寿命通常能够持续15年以上。不过这只是一个大概的范围,具体到每个人身上,种植牙的使用时长会有所不同。就像海内外上没有两片完全相同的树叶一样,每位患者的口腔状况、生活习惯等都存在差异,这些都会影响种植牙更终的使用寿命。所以,种植牙的实际使用年限需要根据个人具体情况来判断。

影响种植牙寿命的口腔卫生因素
口腔卫生习惯在较大程度上决定了种植牙的使用寿命。良好的口腔卫生就像是给种植牙上了一层“保护罩”。每天定期刷牙是更基本的口腔清洁方式,大家要选择软毛牙刷,采用正确的刷牙方法,确保牙齿的每个面都能得到清洁。除了刷牙,使用牙线也特别关键,它可以清理牙齿缝隙间的食物残渣和细菌,这些地方是牙刷难以触及的。另外,定期到口腔医院进行专精的口腔清洁也必不可少,医生可以帮助清除牙齿表面的牙结石和菌斑。如果能坚持做好这些口腔卫生措施,就能有效延长种植牙的使用寿命。相反,如果口腔卫生不佳,细菌滋生,就容易引发种植体周围的炎症,导致种植牙松动,大大缩短其使用年限。

专精定期检查的重要性
定期去牙科医院进行检查对于种植牙的长期使用至关重要。在种植牙的使用过程中,可能会出现一些潜在的问题,比如种植体周围的炎症。这些问题在早期可能没有明显的症状,但通过专精的检查设备和医生的经验,就能及时发现。一旦发现问题,医生可以采取相应的治疗措施,将问题解决在萌芽状态,从而保护种植牙的稳定性和持久性。一般建议患者每隔半年到一年就去牙科医院进行一次全方面的口腔检查。这样可以及时了解种植牙的状况,确保它能长期为患者服务。

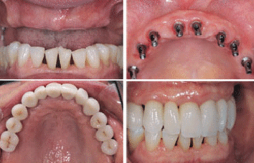
种植牙质量和安装技术的影响
种植牙的质量和安装技术也是影响其使用寿命的重要因素。高质量的种植体就像是一座坚固的“基石”,它的材质、设计等方面都经过了严格的测试和验证,能够更好地与人体口腔组织相融合,承受咀嚼压力。而专精的安装技术则是确保种植牙成功植入的关键。经验多的牙科医生能够正确地将种植体植入到合适的位置,确保其稳定性和功能性。所以,在选择种植牙时,一定要选择优质的种植牙品牌,并且找经验多的牙科医生进行操作。这样可以提高种植成功几率,延长种植牙的使用寿命。如果选择了质量不佳的种植体或者技术不成熟的医生,可能会导致种植失败或者种植牙过早出现问题。

其他可能影响种植牙寿命的因素
除了上述因素外,还有一些其他因素也可能影响种植牙的寿命。患者的生活习惯就是其中之一。比如,爱吃实力强的食物,经常用种植牙去咬坚果、骨头等,会增加种植牙的负担,容易导致种植体磨损或者松动。长期吸烟也会对种植牙的周围组织产生不良影响,降低其使用寿命。另外,患者的身体健康状况也特别重要,如果患者患有糖尿病、骨质疏松等疾病,可能会影响种植牙周围组织的愈合和稳定性。此外,意外伤害也可能导致种植牙出现问题,比如摔倒、碰撞等。所以,患者在日常生活中要注意保护种植牙,避免不必要的伤害。
延长种植牙寿命的建议
想要延长种植牙的使用寿命,维持良好的生活习惯和定期接受专精检查是非常重要的。在生活习惯方面,要保持健康的饮食,避免吃实力强、过黏的食物,减少对种植牙的损伤。同时,要戒烟限酒,保持规律的作息,提高身体的免疫力。在口腔卫生方面,要坚持每天正确刷牙、使用牙线,定期进行口腔清洁。另外,一定要按照医生的建议定期去牙科医院进行检查。只有这样,才能让种植牙陪伴患者更久的时间。
种植牙齿可以用多少年并没有一个确切的答案,它受到多种因素的综合影响。通过保持良好的口腔卫生习惯、定期进行专精检查、选择高质量的种植体和专精的安装技术,以及注意日常生活中的各种细节,患者可以较大程度地延长种植牙的使用寿命。希望大家都能重视种植牙的维护,让自己的种植牙长期稳定地发挥作用。如果您还有关于种植牙的其他问题,不妨询问专精的牙科医生,他们会为您提供更详细的建议。

发表评论 取消回复