在考虑种植牙齿时,特别多人都会关心种植牙齿可以医疗保险报销吗这个问题。毕竟种牙费用不低,能报销的话能减轻不少经济负担。本文将围绕这个核心问题,为大家详细解读,通过5个要点让你清楚了解种植牙齿的医疗保险报销情况,帮你在种牙决策上有更清晰的方向。

种植牙齿的医疗保险报销定论
特别明确地告诉大家,种植牙齿目前不属于医疗保险报销范围。也就是说,当你去进行种植牙齿手术时,所产生的费用是无法通过医疗保险来报销的。这是基于当前医疗保险政策的规定,所以大家在计划种牙时,要提前做好费用方面的准备。

农村合作医疗保险的不报销范畴
农村合作医疗保险也有其不报销的范围,这其中就涉及到种植牙齿相关情况。
- 自行就医情况:如果你没有在指定医院就医,或者不办理转诊单就去看病,产生的费用是不能报销的。还有自购药品、公费医疗规定不能报销的药品费用,以及不符合计划生育的医疗费用,都不在报销范围内。
- 各类杂项费用:像门诊疗疗费、出诊费、住院费、伙食费、陪客费、营养费等。输血费的话,有家庭储血者除外,按有关规定报销,冷暖气费、救护费、特别护理费等其他费用也都不报销。
- 特定事故医疗费用:因车祸、打架、自杀、酗酒、工伤事故和医疗事故产生的医疗费用,农村合作医疗保险也不会报销。
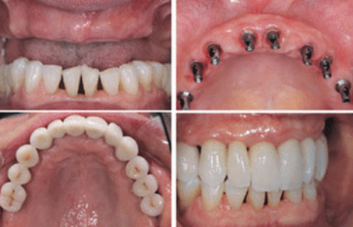
- 特殊项目费用:矫形、整容、镶牙、假肢、脏器移植、点名手术费、会诊费等都不在报销范畴,种植牙齿其实就属于镶牙这一类,所以自然不能报销。

医疗保险报销的法律依据解读
《中华人民共和国社会保险法》为医疗保险报销提供了法律依据。
第二十八条规定,符合基本医疗保险药品目录、诊疗项目、医疗服务设施标准以及急诊、抢救的医疗费用,按照国内规定从基本医疗保险基金中支付。种植牙齿并不在这些符合报销的范围内,所以不能从基本医疗保险基金中获得支付。
第二十九条提到,参保人员医疗费用中应当由基本医疗保险基金支付的部分,由社会保险经办机构与医疗机构、药品经营单位直接结算。社会保险行政部门和卫生行政部门应当建立异地就医医疗费用结算制度,方便参保人员享受基本医疗保险待遇。但种植牙齿不在报销范围内,也就不涉及这方面的结算了。

为什么种植牙齿不能医疗保险报销
医疗保险的目的是保护人们的基本医疗需求。种植牙齿虽然也是口腔治疗的一种,但它相对来说属于改善生活质量的医疗项目,并非治疗疾病的必需手段。医疗保险资金有限,需要优先保护更广泛人群的基本医疗需求,所以目前没有将种植牙齿纳入报销范围。
另外,种植牙齿的费用构成比较复杂,包括种植体、牙冠、手术费等,不同品牌和材质的价格差异较大,这也增加了医疗保险报销管理的难度。

种牙费用的其他解决途径
虽然种植牙齿不能医疗保险报销,但也有一些其他途径可以缓解种牙费用压力。
有些口腔医院会不定期推出优惠活动,比如种牙打折、赠送牙冠等。大家可以关注医院的法定网站、微信公众号等渠道,及时了解这些优惠信息。
部分金融机构提供医疗多次服务,你可以申请多次支付种牙费用,减轻一次性支付的压力。不过要注意选择正规的金融机构,了解多次的利息和还款方式。
关于种植牙齿可以医疗保险报销吗?看完这5个要点你应该有了清晰的答案。目前种植牙齿不能医疗保险报销,但大家也不用过于担心费用问题,可以通过了解医院优惠活动、申请医疗多次等方式来解决。在种牙前,一定要多了解相关信息,选择正规的口腔医院和合适的种植方案。希望大家都能拥有健康美丽的牙齿!

发表评论 取消回复