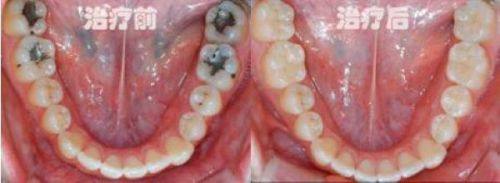
在考虑牙齿修复时,特别多人都会好奇“烤瓷牙多少钱一颗牙齿”。毕竟,牙齿健康特别重要,而价格也是大家关注的焦点。2026年烤瓷牙的价格有了新的动态,本文将为大家详细揭秘。了解烤瓷牙的价格,能帮助大家在修复牙齿时做好预算规划,选择适合自己的烤瓷牙方案,接下来就一起看看吧。
烤瓷牙单颗价格范围
“烤瓷牙多少钱一颗牙齿”是特别多患者关心的问题。2026年,一颗烤瓷牙的价格大约在1000元至8000元左右。不过,这个价格并不是固定不变的,会根据地区定价标准不同而略有出入。在一些经济发达的大城市,由于物价水平和医疗成本较高,烤瓷牙的价格可能会偏高;而在一些中小城市或者经济相对落后的地区,价格可能会相对低一些。所以,大家在了解价格时,要结合自己所在地区的实际情况。

材料选择对价格的影响
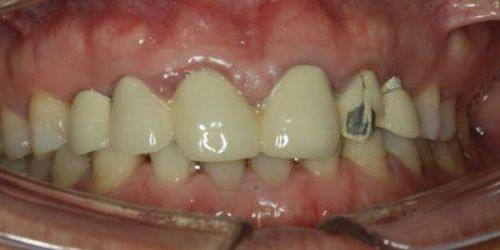
材料的选择是影响“烤瓷牙多少钱一颗牙齿”的重要因素。由于材料生物相容性的原因,不同材料的烤瓷牙价格差异较大。金属烤瓷牙主要以钴铬合金为主,这种材料的烤瓷牙费用相对较低。因为金属材料的成本相对不高,而且在临床上应用也比较广泛。
而非金属烤瓷冠主要有铸瓷和二氧化锆。铸瓷烤瓷牙具有较好的美观性和生物相容性,价格比金属烤瓷牙要高一些。二氧化锆烤瓷牙的费用更高,它的生物相容性非常好,对牙龈的刺激小,而且强度高、美观度也出色,所以在价格上会更贵。如果对美观和生物相容性要求较高,可能就需要多花一些钱选择二氧化锆烤瓷牙;如果预算有限,金属烤瓷牙也是一个不错的选择。

纤维桩系统使用的费用
在制备一颗烤瓷牙的过程中,如果使用纤维桩系统,是需要额外收费的。纤维桩系统可以增强牙齿的稳定性和强度,对于一些牙齿缺损比较重度的情况,使用纤维桩系统能更好地修复牙齿。但这也意味着会增加一定的费用。所以,在决定是否使用纤维桩系统时,要和医生充分沟通,了解自己牙齿的具体情况,权衡利弊后再做决定。毕竟这也会影响到“烤瓷牙多少钱一颗牙齿”的更终价格。

其他项目的费用
除了烤瓷牙本身的材料费用和可能使用的纤维桩系统费用外,还有一些其他项目也有一定的费用。比如临时牙的制作,在烤瓷牙制作过程中,为了不影响美观和正常的咀嚼功能,需要制作临时牙,这就会产生相应的费用。模型制备也是必不可少的环节,医生需要通过模型来正确地制作适合患者口腔的烤瓷牙,这同样需要一定的成本。这些看似不起眼的项目,加起来也会对“烤瓷牙多少钱一颗牙齿”的整体价格产生影响。

如何选择适合自己的烤瓷牙
了解了“烤瓷牙多少钱一颗牙齿”以及影响价格的因素后,如何选择适合自己的烤瓷牙就成了关键。首先要考虑自己的经济实力,如果预算有限,可以优先考虑金属烤瓷牙;如果对美观和生物相容性有较高要求,且经济条件允许,二氧化锆烤瓷牙是更好的选择。
其次,要听从医生的建议。医生会根据患者牙齿的具体情况,如牙齿缺损程度、口腔健康状况等,给出专精的建议。比如牙齿缺损重度可能就需要使用纤维桩系统,而有些情况可能不需要。末尾,要选择正规的口腔医疗机构。正规的医疗机构在材料质量、医生技术和收费标准上都更有保护,能让大家更放心地进行牙齿修复。
总之,“烤瓷牙多少钱一颗牙齿”受到多种因素的影响,包括材料选择、纤维桩系统使用、其他项目费用以及地区差异等。在2026年,大家在选择烤瓷牙时,要综合考虑自己的经济情况、牙齿状况和医生的建议,选择适合自己的烤瓷牙方案。希望大家都能拥有健康美丽的牙齿,如果有牙齿修复的需求,不妨尽快到正规口腔机构询问了解。

发表评论 取消回复