当遭遇烤瓷牙掉了的情况,特别多人都会焦急地问:“烤瓷牙掉了怎么办可以粘回去吗?”其实这需要根据具体情况来判断。烤瓷牙掉了后,处理方式的正确与否特别关键,它不仅关系到牙齿的健康,还影响后续的使用体验。本文就像你的专属口腔小助手,会为你详细讲解能否粘回去的情况,还会告诉你骨干医生给出的3个解决方法,让你在面对烤瓷牙掉落问题时不再迷茫。

烤瓷牙掉落原因大揭秘
想要搞清楚“烤瓷牙掉了怎么办可以粘回去吗”,得先了解烤瓷牙掉落的原因。原因主要有两方面。
一方面,粘结剂出现问题。粘结剂使用时间久了,会产生应力疲劳,就像橡皮筋用久了会失去弹性一样。这种情况下,它对烤瓷牙的固定作用会减弱,从而导致牙冠脱落。
另一方面,患者自身牙齿状况有变化。如果天然牙齿受到外力撞击而切断,或者牙齿出现重度的龋坏,都可能导致烤瓷牙无法稳固地附着在牙齿上,更终掉落。

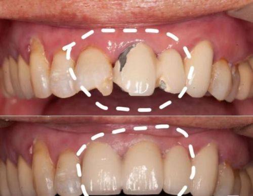
哪些情况烤瓷牙可以粘回去
当粘结剂应力疲劳是导致牙冠脱落的原因,并且患者的天然牙齿完整无损害时,烤瓷牙是可以粘回去的。具体操作是这样的:医生先把牙冠内部残留的粘结剂清理干净,这就好比打扫房间,把里面的杂物都清除掉。然后对牙冠进行消毒喷砂处理,就像给房子重新粉刷前要先打磨墙面一样,让牙冠和牙齿更好地贴合。末尾,再重新使用粘结剂,就能把烤瓷牙完整地粘结到患者的牙齿上了。

哪些情况烤瓷牙无法粘回去
要是患者自己的天然牙齿切断了,那烤瓷牙就没办法重新粘结到牙体上了。因为牙齿切断后,它的结构和稳定性都被破坏了,就像房子的地基都坏了,再怎么修补表面也无济于事。这种情况下,强行粘结烤瓷牙不仅无法确保其稳固性,还可能对牙齿造成进一步的伤害。

骨干医生教你3个解决方法
方法一:重新粘结。如前面所说,在天然牙齿完整且只是粘结剂问题导致烤瓷牙掉落时,重新粘结是优选。这种方法简单快捷,能较大程度保留原有的烤瓷牙,费用相对也较低。
方法二:更换烤瓷牙。如果烤瓷牙本身已经出现损坏,比如有裂纹、崩瓷等情况,即使天然牙齿状况良好,也不适合再重新粘结了,这时就需要更换新的烤瓷牙。新的烤瓷牙能更好地修复牙齿的功能和美观。
方法三:考虑其他修复方式。当天然牙齿损坏重度无法保留时,就需要考虑其他修复方式,比如种植牙。种植牙就像在牙槽骨里种上一颗新的“牙根”,然后再安装牙冠,它的稳定性和功能性都比较好,但费用相对较高,治疗周期也较长。

遇到烤瓷牙掉落该怎么做
一旦发现烤瓷牙掉了,先不要慌张。把掉落的烤瓷牙小心保存好,避免丢失或损坏。然后尽快联系专精的口腔医生,预约就诊时间。在等待就诊的过程中,要注意保持口腔清洁,避免食用实力强、过黏的食物,以免对牙齿造成进一步的损伤。
回到“烤瓷牙掉了怎么办可以粘回去吗”这个问题,其实答案并不复杂,关键在于判断牙齿的具体情况。如果是粘结剂问题且天然牙齿完好,就可以尝试重新粘结;如果牙齿有损坏,可能需要更换烤瓷牙或选择其他修复方式。希望今天介绍的骨干医生教的3个解决方法能帮助你在遇到烤瓷牙掉落问题时做出正确的决策。如果你还有其他疑问或者正面临烤瓷牙掉落的困扰,不妨尽快询问专精的口腔医生,他们会为你提供更详细的建议和治疗方案。

发表评论 取消回复