种植牙需要几次完成是特别多牙齿缺失患者关心的问题。种植牙并非一次就能完成,它涉及多个步骤和多次复诊。一般来说大概要5次左右,但也因人而异。了解种植牙的就诊流程和时间安排,能让患者更好地规划治疗,减少不必要的担忧。接下来,我们就详细揭秘种植牙的整个过程,让你对种植牙有更清晰的认识。
种植牙就诊次数概况
一般情况下,做种植牙需要多次复诊,大约5次左右。不过,由于每个患者的口腔状况、身体条件等因素不同,有的患者可能需要更多次数的就诊。比如,患者本身存在一些基础疾病,像高血压、糖尿病等,在治疗过程中可能需要更多的观察和调整,就诊次数就会相应增加。所以,种植牙需要几次完成并没有一个固定的答案,要根据具体情况来确定。

详细就诊流程及对应次数
第1次就诊:术前准备
这一次就诊主要是进行术前的各项检查和准备工作。医生会为患者拍x线片,通过x线片可以清晰地了解患者牙槽骨的情况,看看牙槽骨的密度、高度、宽度等是否适合种植牙。同时,还会测量患者的血压、血糖,检查凝血功能等。这些检查是为了确保患者的身体状况能够承受种植牙手术,排除手术的风险。
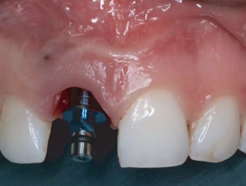
第2次就诊:种植手术
在各项检查都符合要求后,就可以进行种植手术了。医生会在局部麻醉的情况下,在牙槽骨上制备一个合适的种植窝,然后将种植体植入到牙槽骨内。这个过程相对来说比较关键,需要医生有丰富的经验和不错的技术。手术完成后,患者需要注意休息,遵循医生的术后护理建议。
第3次就诊:拆线
种植手术后一段时间,伤口会逐渐愈合,这时候就需要进行拆线。一般在术后一周左右进行,医生会小心地拆除手术时缝合的线,检查伤口的愈合情况。如果伤口愈合良好,就可以进入下一步的治疗。
第4次就诊:牙龈塑形
种植体植入后,需要对牙龈进行塑形,让牙龈更好地贴合种植体,为后续安装假牙做好准备。医生会根据患者的具体情况,采用合适的方法进行牙龈塑形,这个过程可能需要一定的时间和耐心。
第5次就诊:取模
牙龈塑形完成后,医生会为患者取牙齿的模型。通过取模,可以严谨地了解患者口腔的情况,制作出与患者口腔理想匹配的假牙。取模的过程可能会有一些不适,但一般都是可以忍受的。
第6次就诊:佩戴假牙
假牙制作完成后,患者就可以来医院佩戴假牙了。医生会对假牙进行调试,确保假牙佩戴舒适、咬合正常。佩戴假牙后,患者还需要进行一段时间的适应和调整,以达到至佳的使用成效。

治疗周期差异
种植牙的治疗周期因人而异。有的患者身体状况较好,牙槽骨条件也比较理想,整个种植过程可能只需要4个月左右。而有的患者可能由于牙槽骨条件较差,或者存在一些基础疾病,需要更长的时间来修复和治疗,可能要七八个月才能完成整个种植过程。所以,在进行种植牙治疗前,患者应该和医生充分沟通,了解自己的治疗周期,做好相应的安排。

种植牙的适用情况
如果你有牙齿缺失,并且需要做固定牙,但又不想将旁边的好牙磨小,那么种植牙是一个不错的选择。种植牙可以良好地修复牙齿的功能和美观,而且不需要磨损相邻的健康牙齿。不过,并不是所有的患者都适合种植牙,还需要医生根据患者的具体情况进行评估和判断。
总之,种植牙需要几次完成受到多种因素的影响,每个患者的情况都有所不同。在决定进行种植牙治疗前,患者应该充分了解种植牙的流程和时间安排,与医生进行充分的沟通,根据自己的实际情况做出合适的选择。同时,在治疗过程中要积极配合医生,做好术后护理,以确保种植牙的成效和使用寿命。希望大家都能拥有健康美丽的牙齿!

发表评论 取消回复