许多人想种牙,却又担心种牙过程会特别疼,“种牙的方法牙疼吗”成了大家心中的疑问。其实,种牙是否疼痛是有特别多真相可以揭秘的。了解这些真相,能让你在种牙时不再有顾虑,安心种牙。接下来,我们就一起揭开种牙疼痛的神秘面纱,为你提供实用的种牙指南。

种牙手术过程疼不疼?
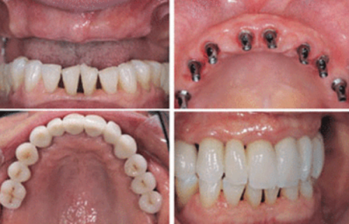
特别多人关心种牙的方法牙疼吗,尤其是在手术过程中。其实,种植牙手术过程中通常不会感到明显疼痛。在手术前,医生会进行完善的麻醉处理。现在牙科常用阿替卡因肾上腺素注射液等局部麻醉药物,这些药物能有效阻断神经传导。
手术操作时,虽然要切开牙龈、预备骨床和植入种植体,但整个过程都是在微痛状态下进行的。不过,部分患者可能会对器械的震动或压力比较敏感,但不会产生尖锐的痛感。所以,大家不用过于担心手术过程会特别疼。

种牙术后疼痛情况如何?
种牙术后,麻醉消退后创口可能会出现类似拔牙后的钝痛。疼痛程度因人而异,多数人描述为 2 - 4 分的轻微不适。医生通常会开具布洛芬缓释胶囊或洛索洛芬钠片等镇痛药物,配合冰敷能显著缓解症状。
如果手术 24 小时后还出现持续剧痛,就要警惕感染或神经损伤了,不过这种情况发生的概率极低。术后修复期,可能会出现牙龈肿胀和种植体周围酸胀感,这和骨组织愈合过程中的炎症反应有关。使用氯己定含漱液保持口腔清洁,避免咀嚼硬物,通常 3 - 5 天症状就会逐渐消退。
在骨结合阶段,可能会出现间歇性隐痛,尤其是骨质疏松或糖尿病患者会更明显,这时需要复查种植体的稳定性。另外,采用微创即刻种植技术时,术后疼痛感比传统种植方式减轻约 40%。而吸烟、饮酒或过度刷牙可能会加重术后不适,所以一定要严格遵循医嘱。

如何减轻种牙疼痛?
想要减轻种牙过程中的疼痛,选择经验多的种植医生特别重要。经验多的医生操作更熟练,能减少不必要的创伤,从而降低疼痛的可能性。术前完善 CBCT 检查评估骨量也特别关键,这样医生能更精细地制定种牙方案。
术后的护理也不容忽视。术后 24 小时内要避免漱口和剧烈运动,进食温凉软食,按时服用抗生素如阿莫西林克拉维酸钾片预防感染。如果出现异常疼痛、发热或种植体松动,应立即复诊检查。

种牙疼痛与不同技术的关系
不同的种牙技术在疼痛程度上也有差异。就像前面提到的,微创即刻种植技术术后疼痛感比传统种植方式减轻约 40%。这是因为微创即刻种植技术对口腔组织的损伤更小,修复也更快。
所以,在选择种牙技术时,可以和医生沟通,根据自己的口腔情况和对疼痛的耐受程度来选择合适的技术,这样能在一定程度上减少种牙带来的疼痛。
种牙后的长期注意事项
种牙后,保持良好的口腔卫生和定期专精维护非常重要。这不仅能有效延长种植牙的使用寿命,还能减少并发症的发生。每天要认真刷牙,使用牙线等清洁工具,定期到口腔医院进行检查和清洁。
另外,要避免食用实力强的食物,以免损伤种植牙。如果能做到这些,种牙后的疼痛和不适也会减少,让你的种植牙能更好地为你服务。
种牙的方法牙疼吗?通过揭秘种牙手术过程、术后疼痛情况、减轻疼痛的方法、不同技术与疼痛的关系以及种牙后的长期注意事项这 3 大真相,相信你已经有了答案。种牙虽然可能会有一些疼痛,但只要选择合适的医生和技术,做好术后护理,就能将疼痛降到较低。如果你有种牙的需求,不妨勇敢迈出这一步,拥有健康美丽的牙齿。

发表评论 取消回复