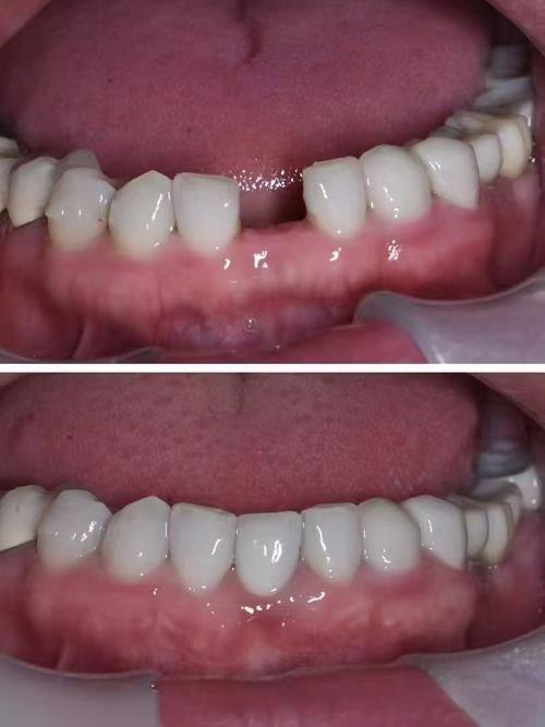
种植牙打桩后,患者们往往特别关心到底会疼几天,以及什么时候拆线。毕竟,了解这些信息能让大家心里更有底,更好地应对修复期。本文就围绕“种植牙打桩后要疼几天几天拆线”展开,为大家揭秘拆线后的修复期,让大家对整个过程有更清晰的认识,帮助大家顺利度过这段特殊时期。

种植牙打桩后疼痛情况分析
虽然资料里没明确提到种植牙打桩后要疼几天,但我们可以从一般的口腔手术情况来推测。每个人对疼痛的感知和耐受程度不同,打桩后的疼痛情况也会有差异。一般来说,打桩后的当天和第二天,疼痛可能会相对明显一些。这是因为手术对口腔组织造成了一定的创伤,身体需要时间来适应和修复。
有些患者体质较好,修复能力强,可能疼痛持续2 - 3天就会明显减轻;而有些患者可能本身对疼痛比较敏感,或者手术过程中创伤相对较大,疼痛可能会持续5 - 7天。不过,这种疼痛通常是可以忍受的,而且医生会根据患者的情况开一些止痛药物来缓解疼痛。

种植牙打桩后的拆线时间
种植牙打桩后通常在7 - 10天拆线。但这个时间不是完全地的,具体拆线时间需根据患者的修复情况和医生的建议来决定。如果患者修复得比较快,伤口愈合良好,可能7天左右就可以拆线;要是修复较慢,或者伤口出现了一些小状况,医生可能会建议延长拆线时间,等到伤口完全修复后再进行拆线。
比如,有些患者在打桩后护理得当,口腔卫生保持得良好,没有出现感染等问题,那么就有可能提前拆线;而有些患者可能因为自身身体状况或者护理不当,导致伤口愈合延迟,拆线时间就会相应推迟。

拆线过程及感受
拆线时,医生会先使用消毒液对局部进行消毒,这是为了防止感染。然后,医生会用镊子或剪刀等工具拆除缝线。一般情况下,拆线是不需要麻醉的,过程中可能会有轻微的不适感,但通常不会有明显的疼痛。
就像被轻轻扯了一下皮肤的感觉,大多数患者都能轻松接受。不过,每个人的感受还是会有所不同,有些患者可能会觉得稍微有点疼,但这种疼痛也是特别短暂的,特别快就会过去。

拆线后的注意事项
拆线后,保持口腔卫生非常重要。患者要按照医生的建议正确刷牙、使用漱口水,避免食物残渣残留在口腔内,滋生细菌,影响种植牙的愈合。同时,要避免咀嚼硬物,因为刚拆线的伤口还比较脆弱,咀嚼硬物可能会导致伤口裂开,影响愈合成效。
如果在拆线后出现疼痛、出血等异常情况,千万不要慌张,但一定要及时就医诊疗。医生会根据具体情况进行处理,确保种植牙能顺利修复。

修复期的整体情况
从种植牙打桩到拆线后的修复期,是一个循序渐进的过程。在这个过程中,患者要积极配合医生的治疗和建议,注意自身的护理。一般来说,拆线后还需要一段时间来让种植牙与周围组织更好地融合,这个时间可能会持续几个月。
在这段时间里,患者要定期到医院进行复查,让医生了解种植牙的修复情况。如果一切顺利,种植牙就能逐渐发挥正常的功能,为患者带来良好的口腔体验。
总之,种植牙打桩后疼痛的时间因人而异,一般在2 - 7天左右,而拆线时间通常在7 - 10天,但要根据个人修复情况和医生建议来确定。在整个修复期,患者要注意保持口腔卫生,避免咀嚼硬物,出现异常情况及时就医。希望大家都能顺利度过种植牙的修复期,拥有健康美丽的牙齿。

发表评论 取消回复