特别多牙齿缺失的患者都想了解种植牙需要几次完成。一般来说,做种植牙大概需要5次左右的复诊,但不同患者情况不同,就诊次数也会有差异。种植牙的整个过程包括术前准备、种植手术、拆线、牙龈塑形、取模、佩戴假牙等步骤,治疗周期也因人而异,有的4个月左右能完成,有的则需要七八个月。本文将为大家详细揭秘种植牙的全过程及时间安排,帮助大家更好地了解这一治疗方式。

种植牙的适用情况
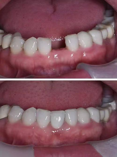
如果你有牙齿缺失的问题,并且希望做固定牙,同时又不想把旁边的好牙磨小,那么种植牙是一个不错的选择。种植牙可以良好地修复牙齿的功能和美观,让你重新拥有健康的口腔。比如,一些因为外伤、龋齿等原因导致牙齿缺失的患者,都可以考虑种植牙。

就诊次数及流程
一般情况下,做种植牙大概需要5次复诊,但部分患者可能需要更多次。下面为大家详细介绍就诊流程:
第1次就诊:术前准备
这一次就诊主要是进行术前的各项检查,包括拍x线片、测血压、测血糖、测凝血等。拍x线片可以帮助医生了解患者牙槽骨的情况,确定种植体的植入位置;测血压、血糖和凝血功能是为了确保患者身体状况适合进行手术。只有各项指标都符合要求,才能进行下一步的种植手术。
第2次就诊:种植手术
在完成术前准备后,就可以进行种植手术了。医生会在局部麻醉的情况下,将种植体植入牙槽骨内。这个过程可能会让患者有些紧张,但实际上并不会特别疼。手术完成后,患者需要遵循医生的嘱咐,注意休息和口腔卫生。
第3次就诊:拆线
种植手术后一段时间,需要到医院进行拆线。一般在术后7 - 10天左右进行,具体时间医生会根据患者的修复情况来确定。拆线过程比较简单,患者不用过于担心。
第4次就诊:牙龈塑形
种植体植入后,需要进行牙龈塑形。这一步是为了让牙龈更好地贴合种植体,为后续佩戴假牙做好准备。牙龈塑形的过程可能需要多次就诊,具体次数因人而异。
第5次就诊:取模
牙龈塑形完成后,医生会为患者取模。取模是为了制作与患者口腔情况相匹配的假牙。医生会使用特殊的材料获取患者口腔的模型,然后将模型送到加工厂进行假牙制作。
第6次就诊:佩戴假牙
当假牙制作完成后,患者就可以到医院佩戴假牙了。医生会对假牙进行调整,确保佩戴舒适、咬合正常。佩戴假牙后,患者需要逐渐适应,同时要注意假牙的清洁和维护。
治疗周期差异
种植牙的治疗周期并不是固定的,不同患者的情况会有所不同。有的患者身体状况较好,牙槽骨条件也比较理想,可能4个月左右就能完成整个种植过程;而有的患者可能因为身体原因或者牙槽骨条件较差,需要七八个月甚至更长时间才能完成。比如,一些患有糖尿病的患者,修复时间可能会相对较长。
影响就诊次数和周期的因素
有特别多因素会影响种植牙的就诊次数和治疗周期。
患者身体状况
如果患者患有一些全身性疾病,如高血压、糖尿病等,可能需要在治疗前先控制好病情,这会增加就诊次数和治疗时间。
牙槽骨条件
牙槽骨的密度、高度和宽度等都会影响种植手术的难度和修复时间。如果牙槽骨条件不好,可能需要进行骨增量手术,这会延长治疗周期。
种植体类型
不同类型的种植体在植入后的愈合时间可能会有所不同,这也会影响整个治疗周期。

总结与建议
种植牙需要几次完成并没有一个固定的答案,一般大概需要5次左右的复诊,但具体次数会因患者的身体状况、牙槽骨条件等因素而有所不同。治疗周期也因人而异,有的4个月左右,有的则需要七八个月。如果你有牙齿缺失的问题,并且符合种植牙的适用情况,不妨考虑一下种植牙。在进行种植牙治疗前,一定要选择正规的口腔医院和有经验的医生,这样可以确保治疗的成效和安心性。同时,要积极配合医生的治疗,遵循医生的嘱咐,注意口腔卫生,这样才能让种植牙更好地发挥作用。希望大家都能拥有健康美丽的牙齿!

发表评论 取消回复