你是否因为牙齿缺失而烦恼,想要通过种植牙重获健康美丽的笑容?别担心,今天就为大家揭秘种植牙的过程步骤及注意事项,让你轻松应对牙齿重生!了解这些内容,能让你在种植牙的过程中更加从容,少走弯路,确保种植牙的成效和口腔健康。接下来,就跟着我们一起深入了解吧。

前期准备:口腔检查与方案制定
在进行种植牙手术之前,口腔检查是必不可少的一步。医生会对你的口腔进行全方面检查,包括牙齿状况、牙周组织、颌骨状况等。这就像是盖房子前要先考察地基一样,只有确定你的口腔有足够的骨量和软组织来支持种植牙,手术才能顺利进行。比如,如果你的牙槽骨骨量不足,可能就需要精良行骨增量手术。
接着,医生会根据你的口腔状况和种植需求,为你制定个体化的种植方案。现在的技术特别精良,会涉及数据采集、三维模型重建等手段,这样能精细地确定种植牙的位置、方向和深度,达到至佳成效。就好比给你量身定制一套合适的衣服,让种植牙和你的口腔理想适配。

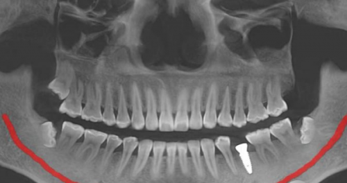
手术进行:种植体植入与创口处理
方案确定后,就进入到实际的手术操作阶段了。首先是制备种植窝,医生会根据预先设计的模板,在你的颌骨上进行操作。这个过程中,医生会根据你的牙槽骨厚度、密度等因素,选择合适的种植体和系列钻。就像在合适的土地上选择合适的种子一样,合适的种植体才能更好地在你的口腔中“扎根”。
种植窝制备好后,医生会将种植体植入其中,然后使用特制工具将其旋紧,确保种植体的稳固性。这一步就像是把种子种进土里并固定好。植入种植体后,医生会对创口进行缝合,这样做是为了减少出血和感染的风险,同时促进创口的愈合。

关键等待:骨愈合阶段
植入种植体后,你需要进入一个重要的等待阶段——骨愈合期。一般来说,这个时间需要3 - 6个月,在这段时间里,骨组织会与种植体慢慢结合。这是种植牙过程中非常关键的一步,就像种子在土里生根发芽一样,只有骨组织和种植体紧密结合了,种植牙才能稳定地发挥作用。
在这个阶段,你一定要有耐心。不要因为短期内看不到明显成效就着急,更不能因为觉得没什么不适就忽视医生的嘱咐。比如,要避免食用实力强的食物,以免影响种植体与骨组织的结合。

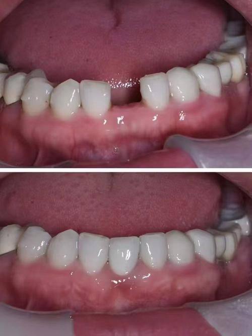
后期修复:基台安装与牙冠修复
当骨愈合完成后,就可以进行二期手术——安装基台了。基台是连接种植体和牙冠的重要部分,它的安装位置和稳定性对更终的修复成效起着至关重要的作用。医生会小心翼翼地进行操作,确保基台安装得恰到好处,为后续的牙冠修复打下良好的基础。
基台安装完毕后,就到了牙冠修复阶段。医生会根据你的牙齿颜色、形态等因素,为你制作合适的牙冠。这个牙冠不仅要美观,还要和你的口腔功能相匹配,让你在吃东西和说话时都能感觉自然舒适。
长期维护:后续护理与复查
完成牙冠修复并不意味着整个种植牙过程就结束了,后续的护理和复查同样重要。你需要注意口腔卫生,每天正确刷牙、使用牙线等,避免感染和其他并发症的发生。就像精心照料一朵花一样,保持口腔清洁能让种植牙更加健康持久。
同时,你还需要定期到医院进行复查和维护。医生会检查种植牙的使用情况、口腔健康状况等,及时发现问题并进行处理。一般来说,建议每隔一段时间就去复查一次,具体时间可以听从医生的安排。
综上所述,了解种植牙的过程步骤及注意事项,能让你在面对牙齿缺失问题时更加自信从容。通过全方面的口腔检查、个性化的种植方案制定、精细的手术操作、耐心的骨愈合等待、专精的后期修复以及长期的维护护理,你就能拥有一颗稳固、美观的种植牙。如果你正考虑种植牙,不妨将这些内容作为参考,选择正规的口腔医院和专精的医生进行治疗。希望大家都能轻松应对牙齿重生,重拾健康美丽的笑容!

发表评论 取消回复