在口腔修复领域,数字化种植牙成为了特别多缺牙患者的优选。然而,大家更关心的问题之一就是数字化种植牙的使用寿命。它到底能坚持多久呢?今天,我们就来听听解答。了解数字化种植牙的使用寿命,不仅能让你对这一治疗方式有更清晰的认识,还能帮助你在术后更好地维护,让种植牙陪伴你更久。

数字化种植牙使用寿命的大致范围
一般来说,数字化种植牙可以使用10 - 30年。这个时间跨度比较大,因为它受到多种因素的影响。有些患者的种植牙可能使用10年左右就出现了问题,而有些患者的种植牙则能使用30年甚至更久。所以,不能一概而论地说数字化种植牙能使用多长时间,需要综合考虑各种因素。

影响数字化种植牙使用寿命的有利因素
首先,钛合金种植体与颌骨形成生物性结合后,如果患者在日常生活中能避免咬硬物,定期洁牙,控制好牙周炎症,那么多数情况下种植牙可以维持15年以上的功能。这就好比一辆汽车,定期保养、正确驾驶,它就能开得更久。
其次,规范的手术操作和选择表面处理技术成熟的种植系统也非常重要。专精的医生进行规范手术,能提升种植体的初期稳定性,而成熟的表面处理技术可以让种植体与周围组织更好地融合,从而延长使用寿命。就像盖房子,打好地基、用优质的材料,房子才能更坚固。
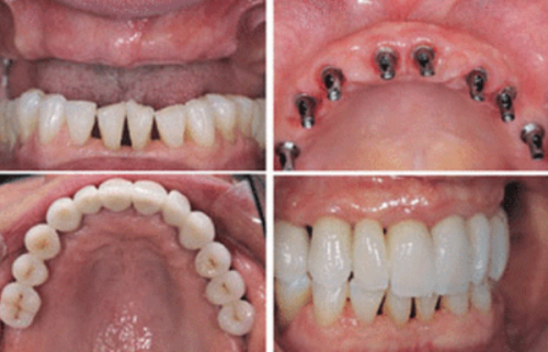
另外,数字化导板辅助植入是数字化种植牙的一大优势。它可以优化种植体的三维位置,减少边缘骨流失的风险。这就像是给种植体找到了一个更合适的“家”,让它能更稳定地发挥作用,有助于延长使用寿命。

影响数字化种植牙使用寿命的不利因素
吸烟是影响数字化种植牙使用寿命的一个重要不利因素。烟草中的有害物质会影响种植体周围的血循环,加速种植体周围骨吸收,从而缩短种植牙的使用年限,可能导致使用年限缩短至10年内。
磨牙症也是一个问题。睡觉时不自觉地磨牙,会给种植体带来额外的压力,容易导致种植体松动、损坏,影响使用寿命。
糖尿病等全身性疾病也会对数字化种植牙的使用寿命产生影响。糖尿病患者的血糖控制不好,会影响伤口愈合和骨组织的修复,加速种植体周围骨吸收,同样可能使使用年限缩短至10年内。

数字化种植牙的维护建议
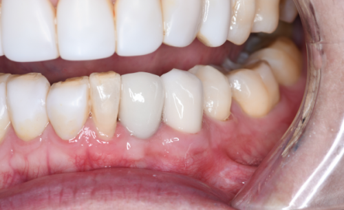
日常清洁是维护数字化种植牙的基础。种植牙后,每日要使用冲牙器清洁种植体周围,选择软毛牙刷和低研磨性牙膏。同时,要避免用种植牙啃咬坚果或开瓶盖等行为,以免损坏种植体。就像爱护自己的真牙一样,细心呵护种植牙,它才能陪伴你更久。
专精检查也必不可少。每半年要接受专精洁治和种植体周围探诊检查,每年进行专精检查并通过影像学评估骨量变化。这样可以早期发现异常并及时干预,避免问题进一步恶化。
对于特殊情况,糖尿病患者要加强血糖控制,确保身体状况有利于种植牙的稳定。如果出现牙龈肿胀、种植体松动等情况,须立即就诊,早期干预可以较大限度保留种植体。
长期保持良好的口腔卫生习惯是延长数字化种植牙寿命的关键。只有从日常的点滴做起,才能让种植牙发挥较大的作用,陪伴你度过更长的时光。

总结与建议
数字化种植牙的使用寿命受多种因素影响,大致范围在10 - 30年。有利因素能延长使用寿命,不利因素则会缩短使用年限。为了让数字化种植牙陪伴你更久,大家要注意日常清洁,定期进行专精检查,及时处理特殊情况。
如果你正在考虑数字化种植牙,或者已经进行了种植牙手术,希望这篇文章能帮助你更好地了解数字化种植牙的使用寿命,让你在维护种植牙的过程中更加得心应手。记住,良好的口腔卫生习惯和定期的专精检查是延长数字化种植牙使用寿命的关键。

发表评论 取消回复