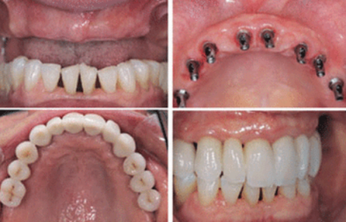
在考虑种植牙时,特别多人都会关心种植牙的使用寿命更短多长时间。毕竟,种植牙是一项不小的投入,大家都希望它能陪伴自己更久。其实,种植牙的使用寿命受多种因素影响,接下来我们就一起深入了解一下,为你揭秘这个大家都关心的问题,让你对种植牙有更清晰的认识。

种植牙使用寿命的基本情况
特别多人都想知道种植牙的使用寿命更短多长时间。一般来说,种植牙使用寿命更短可以达到10年。不过这只是一个基本的参考时长,实际情况会因人而异。因为种植牙的使用时长和个人的口腔卫生情况密切相关。如果口腔卫生维护得好,种植牙的使用寿命可能会远远超过10年;反之,如果不注意口腔卫生,种植牙的使用寿命可能就会大打折扣。

口腔卫生对种植牙寿命的影响
口腔卫生状况是影响种植牙使用寿命的关键因素之一。在日常生活中,刷牙是保持口腔卫生的基本操作。刷牙时,一定要注意清洁种植牙的位置,并且要使用正确的刷牙方法。不正确的刷牙方式可能无法有效清洁种植牙周围,导致食物残渣和细菌积聚,进而影响种植牙的健康。
除了日常刷牙,每年定期到口腔牙周科让医生检查种植体周围是否有牙菌斑或牙结石也非常重要。牙菌斑和牙结石是口腔健康的“隐形杀手”,它们会逐渐侵蚀种植牙周围的组织,影响种植牙的稳定性。如果发现种植体周围有牙菌斑或牙结石,就需要进行洗牙清理。在清理时,要使用专用洁牙器,一般为纯钛或塑料的洁治器,这样可以避免对种植牙造成损伤。

其他影响种植牙寿命的因素
除了口腔卫生,还有其他因素也会影响种植牙的使用寿命。比如个人的饮食习惯,如果经常吃过于坚硬的食物,可能会对种植牙造成过度的磨损,从而缩短其使用寿命。另外,个人的身体状况也会有一定的影响,例如患有某些全身性疾病,可能会影响口腔组织的愈合和修复能力,进而影响种植牙的稳定性。
医生的技术水平和种植牙的品牌、质量也是重要因素。经验多的医生在种植过程中能够更精细地操作,提高种植牙的成功几率和使用寿命。而优质的种植牙材料通常具有更好的生物相容性和稳定性,也能为种植牙的长期使用提供保护。

如何延长种植牙的使用寿命
想要延长种植牙的使用寿命,首先要保持良好的口腔卫生习惯。除了正确刷牙和定期洗牙外,还可以使用牙线、漱口水等辅助清洁工具,进一步清洁口腔。其次,要注意饮食习惯,避免食用过于坚硬、粘性大的食物,减少对种植牙的损伤。
定期到医院进行复查也必不可少。通过定期复查,医生可以及时发现种植牙存在的问题,并采取相应的措施进行处理,确保种植牙的健康。此外,保持积极健康的生活方式,如戒烟限酒、合理饮食、适当运动等,也有助于提高身体的整体健康水平,从而间接影响种植牙的使用寿命。

总结与建议
回到更初的问题,种植牙的使用寿命更短多长时间?一般情况下更短可达10年,但这并不是完全地的,它受到多种因素的综合影响。为了让种植牙陪伴你更久,一定要重视口腔卫生,养成良好的刷牙习惯,定期到医院检查和洗牙。同时,选择经验多的医生和优质的种植牙材料也非常重要。
如果你正在考虑种植牙,不妨多了解一些相关知识,和医生充分沟通,根据自己的实际情况做出合适的选择。希望每一位种植牙患者都能拥有健康、长久的种植牙,享受美好的口腔生活。

发表评论 取消回复