特别多人想做种植牙,但又担心治疗时间过长影响日常生活,所以“种植牙需要多长时间完成”成了大家关注的焦点。今天专精医生就来为大家详细解答,让您对种植牙的时间安排有清晰的了解。本文将从手术时长、整体修复周期以及相关注意事项等方面展开,为您提供全方面且实用的信息,助您在种植牙的决策上更加从容。

种植牙手术的具体时长
种植牙手术的时长是大家关心的重点之一。一般来说,种植牙手术大概需要30分钟左右。不过这只是一个大致的时间,实际手术时间会受到多种因素的影响。
比如种植的牙齿数量,如果只种植一颗牙齿,手术时间相对较短,可能30分钟左右就能完成。但要是需要种植多颗牙齿,手术时间就会相应延长。因为每种植一颗牙齿都需要进行精细的操作,包括在牙槽骨上制备种植窝、植入种植体等步骤,所以种植的牙齿越多,手术时间就越长。
患者的口腔状况也会对手术时长产生影响。如果患者的牙槽骨条件较好,骨量充足,手术操作会相对顺利,时间也会较短。相反,如果牙槽骨存在骨量不足的情况,可能需要精良行骨增量手术,这就会增加手术的复杂性和时间。此外,患者的口腔是否存在炎症等问题,也会影响手术的进程。

从牙齿植入到修复的总时长
种植牙不仅仅是手术这一个环节,从牙齿植入到更终修复完成,一般需要5个月左右的时间。这个过程可以分为几个阶段。
首先是种植体植入阶段,也就是前面提到的手术过程,完成后种植体需要在牙槽骨内与骨组织形成骨结合。这个过程通常需要3 - 6个月的时间,具体时间因人而异。在骨结合期间,患者需要等待种植体稳定地固定在牙槽骨中,就像大树扎根一样。
骨结合完成后,就进入了安装基台和牙冠的阶段。这一步相对较快,一般在几周内就可以完成。医生会先安装连接种植体和牙冠的基台,然后取牙齿模型,制作适合患者口腔的牙冠,末尾将牙冠安装在基台上,整个种植牙的修复过程就完成了。

影响种植牙总时长的因素
除了前面提到的种植牙齿数量和口腔状况外,还有其他因素会影响种植牙从植入到修复的总时长。
患者的身体状况是一个重要因素。如果患者的身体免疫力较强,修复能力好,种植体与骨组织的结合速度可能会更快,整个种植牙的过程也会相对缩短。相反,如果患者患有一些全身性疾病,如糖尿病等,可能会影响伤口的愈合和骨结合的速度,导致整个治疗时间延长。
选择的种植系统也会对时间产生影响。不同的种植系统在设计和性能上有所差异,有些种植系统可能更有利于骨结合,能够缩短骨结合的时间,从而加快整个种植牙的进程。

种植牙过程中的注意事项
在种植牙的整个过程中,有一些注意事项需要患者了解和遵守,这不仅关系到治疗的成效,也可能会影响治疗的时间。
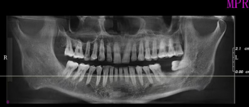
手术前,患者需要进行口腔全方面检查。这包括口腔X光片、CT等检查,医生可以通过这些检查了解患者的牙槽骨情况、牙齿状况以及口腔内是否存在炎症等问题。只有在确定患者的口腔条件适合种植牙手术的情况下,才能进行手术。如果检查发现有问题,可能需要精良行相应的治疗,这就会增加整个治疗的时间。
治疗期间,患者要注意口腔卫生。勤刷牙、勤漱口,保持口腔清洁,可以有效预防感染。建议使用软毛牙刷,按照正确的刷牙方法进行刷牙,饭后使用漱口水漱口。如果口腔卫生不良,导致种植区域感染,可能会影响种植体与骨组织的结合,甚至导致种植失败,需要重新进行治疗,这样就会大大延长治疗时间。
饮食方面也需要特别注意。在种植牙治疗期间,饮食应以清淡、软烂流食为主,避免吃生冷、坚硬和辛辣刺激的食物。生冷食物可能会刺激口腔组织,影响伤口愈合;坚硬的食物可能会对种植体造成损伤,影响其稳定性;辛辣刺激的食物可能会引起口腔炎症,不利于治疗。遵守饮食注意事项,有助于患者更快地修复,缩短治疗时间。

如何缩短种植牙的时间
虽然种植牙有其一般的时间规律,但患者可以通过一些方法来尽量缩短治疗时间。
患者要积极配合医生的治疗。按照医生的要求进行术前检查、按时服药、定期复诊等。如果患者不按时复诊,医生无法及时了解种植体的愈合情况,可能会错过至佳的治疗时机,导致治疗时间延长。
保持良好的生活习惯也特别重要。戒烟限酒,确保充足的睡眠,适当进行体育锻炼,提高身体免疫力,有助于种植体与骨组织的结合,加快修复速度。
总之,“种植牙需要多长时间完成”受到多种因素的影响,一般手术时长约30分钟,从植入到修复完成大概需要5个月左右。但具体时间因人而异,患者的口腔状况、身体状况等都会对治疗时间产生影响。在种植牙过程中,患者要注意遵守医生的建议,做好口腔卫生和饮食管理,积极配合治疗,这样才能在确保治疗成效的前提下,尽量缩短治疗时间。如果您还有关于种植牙时间的疑问,建议询问专精的口腔医生,他们会根据您的具体情况为您提供更正确的信息。

发表评论 取消回复