特别多人在考虑种植牙时,都会好奇种植牙5年后真实感受是怎样的。其实,种植牙作为一种常见的牙齿修复方式,5年后的使用体验因人而异。有些人能获得和天然牙几乎无异的成效,而少数人可能会遇到一些问题。今天,我就结合多数患者的情况和少数患者的实例,分享一下种植牙5年后的真实感受以及相关建议,希望能给正在考虑种植牙或者已经种牙的朋友们提供一些参考。

多数患者:良好体验,接近天然牙
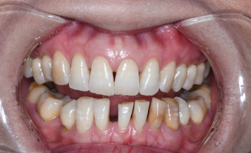
在种植牙5年后,多数患者都有不错的体验。从功能方面来看,种植牙与天然牙十分接近。它的咀嚼功能修复得良好,患者在使用过程中基本没有明显的异物感。而且种植体和骨组织结合得特别稳定,日常进食完全不受限制,想吃什么就吃什么,就像拥有了自己原来的牙齿一样。
美观上,种植牙也表现出色。牙龈边缘的颜色特别自然,如果平时能做好清洁维护,别人特别难察觉这是人工牙。定期复查时,还能看到骨整合的情况良好,邻牙也没有受到影响,保持着健康的状态。
为了维持种植牙的良好状态,预防措施也特别重要。正确使用牙线和软毛牙刷是关键,这样可以有效预防种植体周围炎,让种植牙能更长久地为我们服务。

少数患者:不适与并发症
虽然多数患者的体验不错,但也有少数患者在种植牙5年后遇到了一些问题。常见的不适包括种植体周围黏膜红肿、轻微疼痛或者咬合不适。这些问题大多是由于口腔卫生不良或者咬合力过大引起的。比如有些人没有认真刷牙,导致口腔细菌滋生,就容易引发黏膜问题;还有些人喜欢用种植牙啃咬硬物,给种植体带来了过大的压力。
重度的情况下,极个别实例会出现种植体松动或折断的情况。一旦发生这种情况,就需要进行手术修复,这不仅会带来身体上的痛苦,还会增加经济负担。
对于特定人群,风险会更高一些。长期吸烟的人或者糖尿病患者,更容易出现骨吸收等并发症。因为吸烟会影响口腔的血循环,不利于种植体与骨组织的结合;而糖尿病患者的血糖控制不好,也会影响伤口的愈合和骨组织的健康。另外,夜间磨牙的人也需要注意,磨牙会加速种植体周围骨流失,影响种植牙的使用寿命。

种牙后注意事项:呵护种植牙
为了让种植牙能有更好的使用成效,种牙后的注意事项一定要重视起来。首先,每年都要进行口腔检查。通过专精的检查,医生可以及时发现种植牙的问题,比如是否有早期的骨吸收、种植体周围炎等,然后采取相应的治疗措施。
其次,要避免用种植牙啃咬硬物。虽然种植牙特别坚固,但它毕竟不是天然牙,过度的咬合力可能会对种植体造成损伤。像坚果壳、螃蟹壳这种硬的东西,尽量不要用种植牙去咬。
末尾,保持良好的口腔清洁习惯至关重要。每天要坚持用巴氏刷牙法刷牙两次,确保牙齿的每个面都能得到清洁。刷牙是基础,但光刷牙还不够,还需要配合使用牙线,清理牙齿之间的缝隙,去除食物残渣和细菌。

不同人群的应对策略
对于长期吸烟的人,如果想种牙,更好在种牙前戒烟一段时间,种牙后也尽量减少吸烟量。这样可以降低骨吸收等并发症的风险。同时,要更加注重口腔卫生,增加刷牙和使用牙线的频率。
糖尿病患者在种牙前,一定要把血糖控制在稳定的范围内。种牙后,要严格按照医生的嘱咐,定期监测血糖,按时服药或注射胰岛素。同时,也要比普通人更频繁地进行口腔检查,及时发现和处理问题。
夜间磨牙的人,可以考虑佩戴磨牙垫。磨牙垫可以缓冲磨牙时产生的力量,减少对种植体的损伤。

总结与建议
种植牙5年后真实感受总体来说,多数人能获得不错的体验,功能和美观都能得到良好的满足。但也有少数人会遇到一些问题,这就需要我们在种牙前后都做好充分的准备和护理。
如果你正在考虑种植牙,要充分了解种植牙的优缺点,结合自己的身体状况和生活习惯,做出合适的决策。种牙后,一定要严格遵守医生的嘱咐,做好口腔护理,定期检查。这样才能让种植牙陪伴我们更久,拥有健康美丽的笑容。
希望大家都能重视口腔健康,在种植牙的选择和使用上更加明智。如果你对种植牙还有其他疑问,不妨询问专精的口腔医生,他们会给你更详细的建议。

发表评论 取消回复