特别多人在考虑种植牙时,都会关心“种植牙可以用医疗保险吗”这个问题。毕竟,医疗保险能在一定程度上减轻经济负担。了解种植牙医疗保险覆盖范围及费用情况,对于患者来说至关重要。本文将深入探讨这一话题,为大家揭秘种植牙在医疗保险方面的相关信息,帮助大家明确自己的费用支出,在面对种植牙选择时能做出更合适的决策。

种植牙医疗保险现状:能否报销?
“种植牙可以用医疗保险吗”是众多患者心中的疑问。目前来看,种植牙齿一般不在医疗保险的报销范围之内。这是因为在医疗保险政策的划分里,种植牙齿属于牙齿的修复,而牙齿修复被归为美容范畴。医疗保险的主要目的是保护人们的基本医疗需求,像一些疾病的治疗等。而种植牙更多的是为了让牙齿更加美观,修复牙齿的外观和部分功能,并非针对疾病的治疗,所以通常无法通过医疗保险报销。类似的,牙齿矫正也不可以使用医疗保险报销,因为它同样侧重于改善牙齿的排列和美观。

医疗保险覆盖范围解析
医疗保险的报销是有明确规定的,它主要针对的是一些必要的、治疗性的口腔项目。比如,因龋齿、牙髓炎等疾病导致的牙齿治疗,像补牙、根管治疗等,这些通常是在医疗保险报销范围内的。因为这些治疗是为了消除疾病,保护口腔的健康功能。而对于一些预防性的项目,如洗牙等,部分地区可能会有一定的限制或者不纳入报销。但种植牙由于其性质偏向于美观修复,所以被排除在医疗保险报销的大门之外。这就意味着患者如果选择种植牙,需要自行承担全部的费用。

种植牙费用构成及影响因素
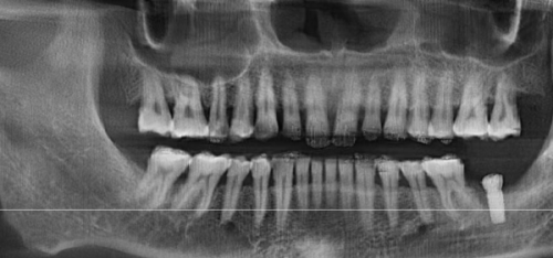
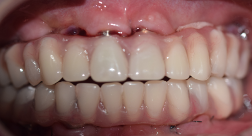
虽然种植牙不能用医疗保险报销,但了解其费用构成和影响因素,能让患者更好地规划自己的支出。种植牙的费用主要包括种植体的费用、基台的费用、牙冠的费用以及手术费用和检查费用等。种植体的品牌和材质是影响费用的重要因素,不同的品牌和材质价格差异较大。例如,进口的高端种植体价格可能会比国产的种植体高出特别多。牙冠的材料也有多种选择,如烤瓷牙冠、全瓷牙冠等,全瓷牙冠相对来说价格会更贵一些。此外,患者的口腔状况也会影响费用,如果患者口腔存在炎症、骨量不足等问题,可能需要精良行相应的治疗,这也会增加整体的费用。

应对种植牙费用的策略
面对不能用医疗保险报销的种植牙费用,患者可以采取一些策略来减轻经济压力。首先,可以多对比不同医院的价格。不同医院由于其设备、医生技术水平等因素,种植牙的收费标准会有所不同。患者可以通过询问多家医院,了解市场价格行情,选择性价比高的医院。其次,关注一些口腔机构的优惠活动。有些口腔医院会在特定的节日或者时间段推出种植牙的优惠套餐,患者可以抓住这些机会节省费用。另外,一些医院还提供多次付款的方式,患者可以根据自己的经济状况选择合适的付款方式,缓解一次性支付高额费用的压力。

未来种植牙医疗保险政策展望
随着社会的发展和人们对口腔健康重视程度的提高,未来种植牙的医疗保险政策是否会有所改变呢?目前虽然种植牙不在医疗保险报销范围,但也有一些地区开始进行相关的探索和尝试。比如,有的地方会将种植牙纳入医疗保险的试点范围,或者对一些符合特定条件的患者给予一定的补贴。从长远来看,随着医疗保险制度的不断完善和优化,也有可能会逐渐扩大医疗保险对种植牙的覆盖范围。不过,这还需要一个过程,患者可以持续关注当地的医疗保险政策动态,说不定未来在种植牙费用上能得到医疗保险的支持。
总结来说,就目前的情况而言,“种植牙可以用医疗保险吗”这个问题的答案大多是否定的。种植牙一般不在医疗保险报销范围内,主要因为其属于牙齿修复的美容范畴。但患者也不用过于担心费用问题,可以通过对比医院价格、关注优惠活动、选择合适的付款方式等策略来减轻经济压力。同时,也可以期待未来医疗保险政策的变化,说不定会给种植牙患者带来更多的实惠。如果您有种植牙的需求,不妨多了解相关信息,再根据自己的实际情况做出决策。

发表评论 取消回复