你是否因为牙齿缺失而不敢开怀大笑?种植牙或许能帮你重拾自信笑容。今天,我们就来全方面揭秘种植牙的步骤和过程,让你对这一修复牙齿缺失的有效方法有更深入的了解。通过了解这些步骤,你能在面对种植牙手术时更加从容,做好充分的准备。接下来,就跟着我们的介绍,一起走进种植牙的奇妙海内外吧。

术前准备:为成功种植筑牢根基
在进行种植牙手术之前,一系列的术前准备工作是必不可少的,这是确保手术安心和成效的关键。首先是口腔检查,医生会仔细查看你的口腔状况,包括牙齿的剩余情况、牙龈的健康程度等。通过口腔检查,医生可以了解你口腔的基本情况,判断是否适合进行种植牙手术。
X线检查也是重要的一环。它能帮助医生清晰地看到牙槽骨的形态、密度等信息,从而正确地确定种植体的植入位置和深度。就像盖房子需要严谨的地基图纸一样,X线检查为种植牙手术提供了重要的参考依据。
血检查同样不可忽视。通过检查血,医生可以了解你的身体状况,如是否有感染、凝血功能是否正常等。这些信息对于评估手术风险至关重要,只有身体状况符合手术要求,才能进行种植牙手术。

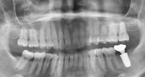
植入种植体:开启牙齿重生之旅
当术前准备工作完成后,就进入到了植入种植体的阶段。在手术开始前,医生会为你进行局部麻醉,这样在手术过程中你就不会感觉到明显的疼痛。就像打了一针“魔法针”,让你在轻松的状态下度过手术过程。
接下来,医生会在牙槽骨上钻一个小孔。这个小孔的大小和深度都是经过严谨计算的,以确保种植体能够正确地植入。然后,医生会将由钛或其他金属材料制成的种植体放入这个小孔内。钛这种材料具有良好的生物相容性,能够与牙槽骨良好地结合在一起。就像给牙齿找到了一个坚固的“家”,种植体会为未来的牙齿提供稳定的支撑。

愈合期:耐心等待新牙“扎根”
种植体植入后,就进入了漫长的愈合期。在这个阶段,牙槽骨会逐渐和种植体结合在一起,这就像小树苗在土壤里扎根一样。一般来说,这个过程需要几个月的时间,具体时间会因个人的身体状况和牙槽骨的条件而有所不同。
在愈合期间,定期到医院进行复查是非常重要的。医生会通过各种检查手段,如X线检查等,来确保种植体正常愈合。如果在复查过程中发现任何问题,医生可以及时采取措施进行处理。同时,在这个阶段,你也要注意口腔卫生,避免食用实力强的食物,给种植体一个良好的愈合环境。

安装牙冠:打造专属美丽笑容
当种植体完全愈合后,就可以安装牙冠了。牙冠是种植牙的“门面”,它的外观和功能直接影响到你的使用体验和美观成效。牙冠的材质有特别多种,常见的有陶瓷和金属等。
陶瓷牙冠具有美观、自然的特点,与真牙的颜色和外观非常接近,几乎可以达到以假乱真的成效。如果你对美观要求较高,那么陶瓷牙冠是一个不错的选择。而金属牙冠则具有较强的耐磨性和强度,适合用于咀嚼功能要求较高的情况。你可以根据个人的喜好和实际需要,与医生沟通后选择更适合自己的牙冠材质。

术后维护:让种植牙长久陪伴
种植牙手术完成后,并不意味着就可以高枕无忧了。术后的维护工作对于种植牙的长期使用至关重要。首先,你需要定期到医院进行复查。医生会检查种植体的使用情况,如是否有松动、移位等,同时也会检查口腔的整体健康状况。
保持良好的口腔卫生也是术后维护的关键。要每天早晚正确刷牙,使用牙线、漱口水等辅助清洁工具,及时清除口腔内的食物残渣和细菌。避免口腔感染和种植体周围炎等问题的发生,否则可能会影响种植牙的使用寿命。
总之,了解种植牙的步骤和过程能让你在修复牙齿缺失的道路上更加自信从容。从术前准备到术后维护,每一个环节都有其重要性。如果你正在为牙齿缺失而烦恼,不妨考虑一下种植牙。但在做决定之前,一定要选择正规的口腔医院和专精的医生进行询问和手术。希望每一位牙齿缺失的朋友都能通过种植牙轻松修复自信笑容,享受美食,拥抱美好的生活!

发表评论 取消回复