牙齿缺失不仅影响美观,还会给饮食和生活带来诸多不便,而种植牙成为了特别多人的选择。但种植牙流程及时间是怎样的呢?这是众多患者关心的问题。了解这些关键信息,能让你在种植牙过程中更加从容。接下来,我们就为大家详细揭秘种植牙流程及时间,带你了解那5个关键步骤!

第一步:全方面口腔检查
在进行种植牙之前,全方面的口腔检查是必不可少的。医生会对你的牙齿、牙周组织以及颌骨状况进行详细评估。这就像是盖房子前要先考察地基一样,只有确定你的口腔有足够的骨量和良好的软组织条件,才能支持种植牙的植入。医生可能会通过X光片、CT扫描等手段,来更正确地了解你的口腔情况。比如,如果骨量不足,可能需要精良行骨增量手术,为种植牙创造更好的条件。这个检查过程一般不会花费太多时间,主要是为后续的种植方案制定提供正确的依据。
第二步:个性化种植方案制定
根据口腔检查的结果,医生会结合你的种植需求,运用精良的数据采集和三维模型重建等技术,为你量身定制种植方案。这一步非常关键,因为每个人的口腔状况都不同,合适的方案能确保种植牙的位置、方向和深度达到至佳状态。就好比给你量体裁衣,只有尺寸合适,穿起来才舒服。医生会考虑你的牙齿排列、咬合关系等因素,让种植牙不仅美观,还能正常发挥咀嚼功能。这个过程可能需要一些时间来进行严谨的设计和调整,以达到理想的成效。

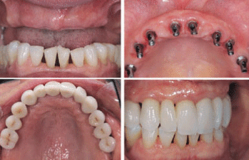
第三步:种植窝制备与种植体植入
当种植方案确定后,就进入到实际操作阶段了。医生会依据预先设计好的模板,在你的颌骨上制备种植窝。这个过程会根据牙槽骨的厚度、密度等因素,选择合适的种植体和系列钻。就像在土地上挖坑种树,要根据土地的情况选择合适的工具和树苗。制备好种植窝后,医生会将种植体小心地植入并旋紧,确保它的稳固性。这一步是种植牙的关键环节,医生的技术和经验会直接影响种植体的稳定性和后续的愈合情况。整个操作过程会在局部麻醉下进行,所以你不会感觉到明显的疼痛。

第四步:等待骨愈合与基台安装
种植体植入后,接下来就是等待骨组织与种植体结合的过程,这个阶段一般需要3 - 6个月的时间。在这段时间里,你要遵循医生的嘱咐,注意口腔卫生,避免过度咀嚼硬物,给种植体足够的时间与骨组织融合。就像种下的树苗需要时间扎根一样,种植体也需要时间与周围的骨组织紧密结合。当骨愈合完成后,就需要进行二期手术,安装连接种植体和牙冠的基台。基台的位置和稳定性会影响更终的修复成效,所以这一步也需要医生精细操作。

第五步:牙冠修复与后续护理
基台安装完毕后,医生会根据你的牙齿颜色、形态等制作合适的牙冠。牙冠的制作会尽量与你的自然牙齿相匹配,让种植牙看起来更加自然美观。安装好牙冠后,种植牙的基本流程就完成了。但这并不意味着就可以放松了,后续的护理和复查非常重要。你需要定期到医院进行复查,医生会检查种植牙的情况,确保它的健康。同时,你自己也要注意口腔卫生,正确刷牙、使用牙线等,避免感染和并发症的发生。
揭秘种植牙流程及时间,这5个关键步骤你都了解了吗?种植牙是一个较为复杂的过程,但只要你与医生密切配合,遵循医嘱,就能拥有一口健康美观的牙齿。在决定种植牙之前,一定要选择正规的口腔机构和经验多的医生,这样才能确保种植的成效和安心性。希望大家都能通过种植牙改善口腔状况,享受健康美好的生活!

发表评论 取消回复