特别多做了种植牙或者打算做种植牙的朋友,心里都会有一个疑问:种植牙成效能维持几年?毕竟种牙可不便宜,大家都希望种一次牙能管得久一点。其实,种植牙的成效维持时间受到多种因素影响,而且我们也可以通过一些护理技巧来延长它的使用寿命。今天这篇文章就来为大家揭秘种植牙的持久性以及相关护理技巧,让你对种植牙有更深入的了解,种得放心,用得安心。

种植牙成效维持时间的大致范围
种植牙成效能维持几年呢?一般来说,种植牙的成效能维持10 - 30年。不过这可不是完全地的哦,如果长期保持良好的维护,种植牙完全有可能超过30年的使用期限,甚至可以终身使用。这就好比一辆汽车,如果平时保养得好,它的使用寿命也会大大延长。所以,种植牙的使用时长和我们后续的维护有较大关系。

影响种植牙成效维持时间的因素
了解了种植牙成效维持的大致时间范围,我们再来看看有哪些因素会影响它。
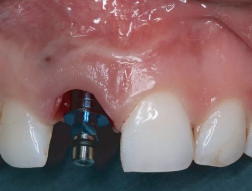
骨结合质量
:手术时牙槽骨的密度特别重要,如果牙槽骨密度充足,而且术后愈合良好,那么种植体和牙槽骨就能更好地结合在一起,这样种植体的使用寿命往往会更长。就好像盖房子,地基打得好,房子才能更坚固。
日常维护
:日常的口腔卫生习惯直接影响着种植体周围炎的发生概率。如果我们能规范使用牙线、冲牙器,并且定期去洁牙,就能显著延长种植牙的使用年限。相反,如果不注意口腔卫生,细菌就会在种植体周围滋生,引发炎症,从而影响种植牙的使用寿命。
全身健康状况
:全身性疾病对种植牙的影响也不容忽视。比如糖尿病,如果血糖没有得到良好的控制,可能会加速骨吸收,导致种植体松动。还有骨质疏松患者,他们的骨骼状况可能会影响种植牙成效的维持时间。所以,全身的健康状况和种植牙的使用寿命是息息相关的。
咬合情况
:咬合关系异常或者长期咀嚼硬物,可能会对种植牙造成机械性损伤,影响它的使用年限。就像我们的关节,如果长期承受不正常的压力,也会出现问题。所以,要注意自己的咬合情况,避免过度使用种植牙咀嚼硬物。

延长种植牙成效维持时间的建议
既然知道了影响种植牙成效维持时间的因素,那我们该怎么做才能延长它的使用寿命呢?
口腔清洁
:每天要用软毛牙刷清洁种植体周围,刷牙的时候要注意避免横向刷牙,因为这样可能会损伤种植牙的表面。另外,每半年更好去接受一次专精的洁治,去除菌斑结石,同时检查种植体的稳定性。就像给汽车定期做保养一样,让种植牙也能保持良好的状态。
疾病控制
:如果有全身性疾病,比如糖尿病,一定要控制好血糖水平。骨质疏松患者可以询问医生是否需要补充钙剂,改善骨骼状况,这样有助于维持种植牙的成效。
饮食习惯
:要避免用种植牙咬开坚果等硬物。虽然种植牙特别坚固,但也经不起这样的折腾。就像我们的真牙,过度用力咬硬物也会受损。所以,要好好爱护我们的种植牙,选择合适的食物。
及时就诊
:一旦发现牙龈红肿、出血或者种植体松动等情况,要立即就诊。特别多问题如果能早发现、早治疗,就能避免更重度的后果。就像身体不舒服要及时看医生一样,种植牙出现问题也要及时处理。
生活习惯
:吸烟的朋友们要注意了,吸烟会增加种植体周围炎的风险,所以更好戒烟。为了种植牙的健康,我们要养成良好的生活习惯。

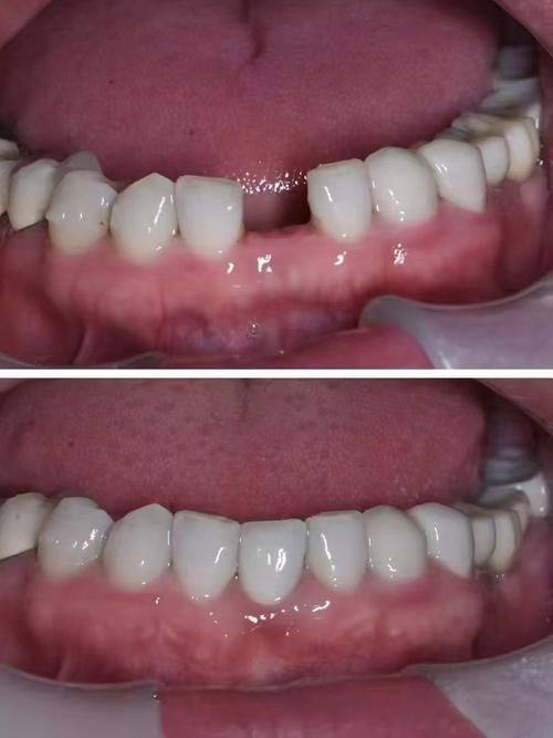
实例分享:种植牙的不同使用时长
为了让大家更直观地了解种植牙成效能维持几年,给大家分享几个实例。
实例一:张先生,45岁,种牙后一直严格按照医生的建议进行口腔护理,保持良好的生活习惯,他的种植牙已经使用了20多年,现在依然状况良好。这说明只要我们用心呵护,种植牙可以使用特别长时间。
实例二:李女士,55岁,患有糖尿病,但血糖控制得不太好,种牙后也没有太注意口腔卫生,结果种植牙在使用了10年后就出现了松动的情况。这个实例提醒我们,全身健康状况和日常维护对种植牙的使用寿命有较大影响。
总结与提醒
种植牙成效能维持几年是特别多口腔患者关心的问题。通过前面的介绍,我们知道种植牙一般能维持10 - 30年,如果维护得好,甚至可以终身使用。影响种植牙成效维持时间的因素有骨结合质量、日常维护、全身健康状况和咬合情况等。我们可以通过做好口腔清洁、控制疾病、调整饮食习惯、及时就诊和养成良好的生活习惯等方法来延长种植牙的使用寿命。
末尾要提醒大家,种植牙虽然能给我们带来特别多便利,但它也需要我们的悉心呵护。如果你有种植牙或者打算种牙,一定要重视后续的护理。希望大家都能拥有一口健康耐用的种植牙,享受美好的生活。

发表评论 取消回复