你是否因为牙齿缺失而不敢开怀大笑,或者在享受美食时感到诸多不便?全口种植牙或许能帮你解决这些困扰。全口种植牙的流程主要包含术前准备、手术操作、组织愈合和安装牙冠四个关键步骤。了解这些步骤,能让你在种植牙过程中更加从容,轻松重获自信笑容。接下来,我们就详细揭秘这四个关键步骤。

术前准备 - 精细规划的开始
在进行全口种植牙手术之前,医生会进行一系列细致的准备工作。首先,医生会通过研究模型等方式来全方面了解你的口腔情况。这就好比建筑师在盖房子之前要详细了解土地的状况一样,医生要清楚你口腔内牙齿的缺失情况、牙槽骨的形态和密度等。
然后,医生会根据这些信息设计出一套满足美观和咀嚼功能的手术方案。这个方案就像是一份施工蓝图,会考虑到你牙齿的排列、咬合关系以及面部的整体美观度。比如,医生会根据你的脸型和肤色,选择合适颜色和形状的种植体和牙冠,让种植牙看起来更加自然。在这个阶段,你可以和医生充分沟通自己的需求和期望,医生也会根据你的情况给出专精的建议。

手术操作 - 种植体的精细植入
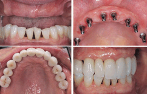
手术操作是全口种植牙流程中的重要环节,主要是将种植体植入牙槽骨内。手术开始时,医生会将缺失牙部位的软组织切开,这就像是打开一扇通往牙槽骨的“门”。然后,医生会在牙槽骨上进行精细的定位和打孔,这个过程就像在土地上打桩一样,要确保位置正确无误。
接下来,医生会在打好的孔洞中植入种植体。种植体就像是牙齿的“根”,它会与牙槽骨形成骨性结合,为后续的牙冠提供稳定的支撑。植入种植体后,医生会放置愈合帽,它的作用是保护种植体和促进周围组织的愈合。手术过程中,医生会使用精良的设备和技术,确保手术的精细性和安心性。同时,会采用局部麻醉,让你在手术过程中不会感到明显的疼痛。
等待组织愈合 - 耐心等待的过程
植入种植体后,需要一段耐心等待的时间,让组织完全愈合。这个过程通常需要3 - 6个月,具体时间会因个人的身体状况和牙槽骨的愈合能力而有所不同。在这段时间里,种植体和牙槽骨会逐渐融合在一起,形成一个稳定的结构。
在等待愈合的过程中,你需要遵循医生的建议,注意口腔卫生,避免食用实力强的食物,以免影响种植体的愈合。同时,要按照医生的要求定期进行复查,医生会通过X光等检查手段,观察种植体的愈合情况,确保一切正常。虽然等待的过程可能会有些漫长,但这是全口种植牙成功的关键一步,只有耐心等待,才能为后续的牙冠安装打下坚实的基础。

安装人工牙冠 - 理想笑容的呈现
当组织完全愈合后,就到了安装人工牙冠的阶段。医生会用基台代替愈合帽,基台就像是一个桥梁,将种植体和牙冠连接起来。然后,医生会在基台上安装人工牙冠,完成整个治疗过程。
人工牙冠的颜色和形状会根据你的口腔情况和个人需求进行定制,安装后看起来就像你自己的真牙一样自然美观。安装牙冠后,你就可以像正常牙齿一样咀嚼食物,重拾自信的笑容。不过,安装牙冠后也需要注意口腔护理,定期刷牙、使用牙线,保持口腔清洁,这样才能让种植牙使用得更长久。
全口种植牙的流程包含术前准备、手术操作、组织愈合和安装牙冠这四个关键步骤。每个步骤都至关重要,环环相扣。了解全口种植牙的流程,能让你在面对种植牙手术时更加安心。如果你正在为牙齿缺失而烦恼,不妨考虑全口种植牙。但在决定之前,一定要选择正规的口腔医院和经验多的医生,这样才能确保手术的成功和成效。希望每一位牙齿缺失的朋友都能通过全口种植牙,轻松重获自信笑容!

发表评论 取消回复