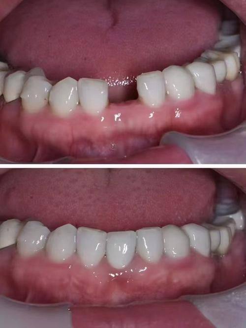
在北京,特别多人都关心北京种植牙费用大概多少。2026年,种植牙费用受多种因素影响,并没有一个固定的数值。不同的种植体类型、牙冠材料,患者自身的口腔状况,以及所在地区和选择的医院,都会让费用产生较大差异。了解这些影响因素,能帮助大家提前做好预算规划。接下来,我们就详细解析一下北京种植牙费用相关情况。

种植体类型对费用的影响
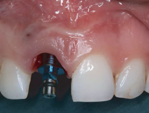
种植体是种植牙的关键部分,不同类型的种植体价格有所不同。常见的国内外有名品牌种植体,像瑞士士卓曼种植体,技术成熟,质量可靠,稳定性和成功几率都特别高。不过,它的价格也相对较高,每颗通常在8000 - 15000元左右。对于追求高品质、高成功几率的患者来说,这类种植体是不错的选择。
而国产种植体则以高性价比著称。例如创英种植体,每颗价格大致在3000 - 8000元。它能满足基本的种植需求,如果患者对种植体的要求不是特别高,更注重性价比,那么国产种植体是比较合适的。所以,在考虑北京种植牙费用大概多少时,种植体类型是一个重要的因素。

牙冠材料影响费用高低
除了种植体,牙冠材料也会影响北京种植牙的费用。烤瓷牙冠价格相对较低,一般在几百元到两千元左右。不过,它可能存在金属过敏等问题,对于一些过敏体质的患者不太友好。
全瓷牙冠则具有美观性好、生物相容性佳的优点。以二氧化锆全瓷牙冠为例,它色泽自然,与牙龈组织相容性好,能更好地修复牙齿的外观和功能。其价格通常在2000 - 5000元不等。患者可以根据自己的需求和经济状况,在烤瓷牙冠和全瓷牙冠之间做出选择,这也会影响到更终北京种植牙费用大概多少。

患者自身情况决定费用差异
患者自身的口腔状况对北京种植牙费用影响较大。如果患者口腔条件良好,牙槽骨的密度、高度和宽度都符合种植要求,种牙过程会比较简单,费用相对也较低。
但如果牙槽骨骨量不足,就需要进行骨增量手术,这会增加费用,骨增量手术费用大概在3000 - 8000元不等。另外,如果患者患有牙周炎等口腔疾病,需要先治疗控制炎症后再种牙,这也会增加额外的治疗费用。而且,患者需要种植的牙齿数量越多,总费用肯定就越高。所以,患者自身情况是影响北京种植牙费用大概多少的关键因素之一。

地区与医院差异带来费用波动
北京作为一线城市,经济发达,物价水平高,种牙的整体费用会比一些中小城市高出20% - 50%左右。这是地区差异对北京种植牙费用的影响。
在医院选择方面,像北大口腔这样有名的专精口腔医疗机构,医疗技术、设备和骨干医生团队水平较高,收费可能比普通口腔诊所高。不过,在优惠活动期间,或者不同分院根据自身运营情况,可能会有价格调整。所以,患者在选择医院时,也需要综合考虑费用和医疗质量,这都会影响到更终北京种植牙费用大概多少。
综上所述,北京种植牙费用大概多少受种植体类型、牙冠材料、患者自身情况以及地区与医院差异等多种因素综合影响。2026年,并没有一个确切的价格。建议患者前往医院进行详细检查和询问,医生会根据具体情况制定合适的方案,并给出正确的费用预算。在选择种植牙时,患者不要只看价格,还要综合考虑自身需求和医院的医疗水平,这样才能获得满意的种植牙成效。

发表评论 取消回复