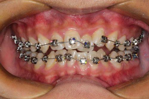
特别多人打算戴钢丝牙套矫正牙齿时,都会关心钢丝牙套一般要戴多久。其实,钢丝牙套的佩戴时长并非固定,会受多种因素影响。了解不同情况下的佩戴时长,能让大家对矫正过程有更清晰的认知,提前做好心理和时间上的准备。接下来,我们就详细揭秘影响钢丝牙套佩戴时长的各种因素以及对应的佩戴时间。

钢丝牙套佩戴时长的大致范围
钢丝牙套一般佩戴时间在1 - 3年。不过这只是一个宽泛的区间,具体的佩戴时长会因每个人的实际情况而有所不同。这就好比每个人走不同的路,路程长短、路况好坏都会影响到达目的地的时间。牙齿矫正也是如此,不同的牙齿状况、年龄以及个人配合程度,都会让钢丝牙套的佩戴时长产生差异。

牙齿错颌畸形程度对佩戴时长的影响
牙齿错颌畸形程度是影响钢丝牙套佩戴时长的重要因素之一。不同程度的错颌畸形,矫正的难度和所需时间都不一样。
轻度错颌畸形:这种情况通常表现为牙齿排列轻度不齐,或者只是需要进行一些微调,比如牙弓狭窄、个别牙齿扭转等。对于轻度错颌畸形,佩戴钢丝牙套的时间通常为1 - 1.5年。而且复诊间隔可以延长至6 - 8周,因为矫正主要以轻力调整为主。就好像修理一个小瑕疵,不需要花费太多时间和精力。
中度错颌畸形:当牙齿出现拥挤或者咬合异常,像深覆颌、反颌等情况时,就属于中度错颌畸形。这种情况下,佩戴钢丝牙套的时间需要1.5 - 2.5年。因为需要通过扩弓、推磨牙向后等比较复杂的操作来矫正牙齿,所以每个月都要复诊一次,以便更换弓丝力度,推动矫正进程。这就好比要对一个稍微复杂的机械进行调整,需要更精细的操作和更多的时间。
重度错颌畸形:骨性错颌或开颌等复杂畸形属于重度错颌畸形。这种矫正可能会持续2 - 3年甚至更久。在矫正过程中,还需要配合颌间牵引、种植钉等辅助装置。前期每3 - 4周就需要调整一次,因为矫正难度大,需要更频繁的调整来确保矫正成效。这就像是修复一个重度损坏的机器,需要花费大量的时间和精力。

年龄对佩戴时长的影响
年龄也是影响钢丝牙套佩戴时长的一个关键因素。青少年和成人在矫正牙齿时,由于身体发育状况不同,矫正效率也有所差异。
青少年的颌骨发育活跃,牙齿移动相对容易,矫正效率较高。所以,青少年佩戴钢丝牙套的时间可能比成人缩短3 - 6个月。这就好比在松软的土地上种树,树苗更容易扎根生长;而在坚硬的土地上种树,就需要更多的时间和努力。
成人的颌骨已经基本发育完成,牙齿移动相对困难,矫正过程可能会更漫长。但这并不意味着成人不能进行牙齿矫正,只是需要做好更长期的准备。

个体配合情况对佩戴时长的影响
个体配合情况在钢丝牙套矫正过程中也起着重要作用。矫正期间,严格遵循医嘱是非常关键的。
比如,按照医生的要求佩戴橡皮筋。橡皮筋在矫正过程中起着辅助牙齿移动的作用,如果不按时佩戴,就会影响矫正成效,导致疗程延长。另外,保持口腔卫生也特别重要。佩戴钢丝牙套后,口腔清洁难度增加,如果不注意口腔卫生,容易引发龋齿、牙龈炎等问题,这些问题也会影响矫正进程。所以,只要大家在矫正期间严格遵循医嘱,就能有效避免疗程延长,让矫正顺利进行。
如何缩短钢丝牙套佩戴时长
虽然钢丝牙套的佩戴时长受多种因素影响,但我们可以通过一些方法来尽量缩短佩戴时间。
首先,选择专精的正畸医生非常重要。专精的医生有丰富的经验和不错的技术,能够根据每个人的具体情况制定更合理的矫正方案,提高矫正效率。其次,积极配合医生的治疗。按时复诊,严格按照医嘱佩戴橡皮筋、保持口腔卫生等。末尾,保持良好的生活习惯。合理饮食,避免食用实力强、过黏的食物,以免损坏牙套,影响矫正成效。
总之,钢丝牙套一般要戴多久并没有一个确切的答案,它会受到牙齿错颌畸形程度、年龄以及个体配合情况等多种因素的影响。大家在决定佩戴钢丝牙套之前,一定要和医生充分沟通,了解自己的牙齿状况和矫正方案,做好心理和时间上的准备。同时,在矫正过程中积极配合医生,这样才能让矫正顺利进行,早日拥有整齐美观的牙齿。

发表评论 取消回复