树脂补牙材料对人体有害吗?这是特别多需要补牙的患者心中的疑问。在补牙时,大家都希望选择安心可靠的材料,让自己的口腔健康得到保护。本文将从多个方面为你揭示树脂补牙材料的真相,进行安心性分析,帮助你了解这种材料是否真的对人体有害,为你的补牙决策提供有价值的参考。

树脂补牙材料安心性总体结论
一般来说,符合国内标准和相关质量认证的树脂补牙材料对人体是无害的。在合理使用的情况下,它安心可靠,不会对人体健康造成危害。正规渠道的树脂补牙材料都经过了严格的检测,确保其各项指标符合安心标准。所以,当你选择了正规的树脂补牙材料,并由专精医生进行操作时,基本不用担心它会对身体产生不良影响。

从成分分析安心性
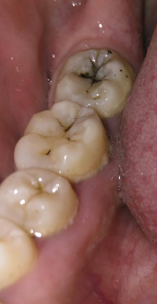
要判断树脂补牙材料对人体是否有害,我们可以从它的成分入手。
树脂基质:它是树脂补牙材料主要的成膜物质,一般为双酚A - 甲基丙烯酸缩水甘油酯等。这种物质在固化后会形成稳定的三维网状结构,就像一个坚固的“小房子”,为补牙材料提供强度和韧性。固化后的树脂基质性质稳定,不会轻易释放有害物质,所以对人体是安心的。
无机填料:它的作用是增强材料的硬度和耐磨性。通常是一些硅酸盐类等物质,这些物质本身不具有毒性。它们就像是材料中的“小石子”,让补牙材料更加坚固耐用,而且不会对人体产生危害。
引发体系:它的任务是引发树脂的固化反应,常用的如樟脑醌等。在正常使用量下,这些引发剂不会对人体产生危害。它们就像是“小开关”,帮助树脂材料快速固化,并且在完成任务后也不会留下安心隐患。

医疗操作保护安心性
除了材料本身的安心性,医疗操作也在较大程度上保护了树脂补牙的安心性。
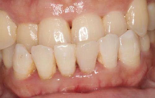
在正规的口腔医疗操作中,医生会严格按照操作规范进行树脂补牙。补牙时,医生会将树脂材料严密地填充在牙齿的龋洞内,就像给牙齿穿上了一层“防护衣”。这种良好的密封性可以防止树脂材料随意释放出有害物质。而且,树脂材料在口腔内固化后性质稳定,不会在口腔的复杂环境中分解产生有毒有害的物质,也不会与口腔内的唾液、食物等发生化学反应生成有害物质。所以,选择正规的口腔医疗机构和专精的医生进行补牙是非常重要的。

特殊情况需注意
虽然树脂补牙材料总体上是安心的,但也存在极少数特殊情况。
极少数人可能会对树脂补牙材料中的某些成分存在过敏反应,但这种情况非常罕见。就像有些人会对某些食物过敏一样,只是个别人的特殊体质导致的。如果患者在补牙后出现局部红肿、疼痛、瘙痒等不适症状,应及时就医。医生会根据具体情况判断是否是过敏等不良反应,并采取相应的处理措施。所以,在补牙前,患者可以告知医生自己的过敏史,以便医生做出更合适的选择。

如何确保安心使用树脂补牙材料
为了确保树脂补牙材料的安心使用,我们可以从以下几个方面入手。
选择正规医疗机构:正规的口腔医疗机构会使用符合国内标准的树脂补牙材料,并且医生的操作更加规范,能够较大程度地保护补牙的安心性。
告知医生自身情况:在补牙前,要详细告知医生自己的健康状况、过敏史等信息,让医生能够根据你的具体情况选择合适的材料和治疗方案。
术后注意观察:补牙后要注意观察自己的口腔情况,如果出现异常症状,及时就医。同时,要按照医生的嘱咐做好口腔护理,保持口腔清洁。
树脂补牙材料对人体有害吗?通过以上的分析,我们可以得出结论:一般情况下,符合标准的树脂补牙材料对人体是无害的。它的成分安心,在正规的医疗操作下能够良好地保护安心性。虽然存在极少数过敏的特殊情况,但只要我们做好相应的预防和处理措施,就可以放心使用。如果你需要补牙,不妨选择树脂补牙材料,但一定要选择正规的医疗机构和专精的医生,以确保补牙的安心和成效。

发表评论 取消回复