在口腔修复领域,烤瓷牙是特别多人修复牙齿的选择之一。然而,面对众多的烤瓷牙种类及各不相同的价格,大家往往不知道如何挑选。别担心!本文为你带来一份详尽的2026年烤瓷牙种类及价格表,让你清晰了解不同种类烤瓷牙的特点和费用,从而根据自身需求与经济状况,选出更适合自己的那颗“假牙”,重拾自信笑容。

常见烤瓷牙种类大揭秘
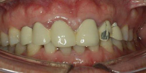
市面上的烤瓷牙种类多样,但比较常见的主要有普通烤瓷牙和全瓷牙。普通烤瓷牙中,钴铬烤瓷牙和纯钛烤瓷牙是热门之选。钴铬烤瓷牙是一种合金烤瓷牙,它以钴铬合金为基底,再在表面熔附瓷粉烧制而成。而纯钛烤瓷牙则是以纯钛为基底制作的烤瓷牙,纯钛具有良好的生物相容性,对人体比较友好。全瓷牙,从名字就能看出它的特别之处,其内外都是由瓷材料构成,没有金属基底,在美观度和性能上都有独特的优势。

烤瓷牙价格大盘点
不同种类的烤瓷牙,价格差异较大。先来说说普通烤瓷牙,钴铬烤瓷牙和纯钛烤瓷牙的均价大概在1000元。具体细分的话,钴铬烤瓷牙每颗约1100元,纯钛烤瓷牙每颗约1700元。不过这里要提醒大家,这只是大致的价格范围,具体收费可能会因为个人病例不同而有所变化。如果牙齿情况比较复杂,在安装烤瓷牙之前需要做一些额外的处理,比如根管治疗、牙周治疗等,那么费用就会相应增加。
再看看全瓷牙,全瓷牙的价格大约在2000元,如果是使用进口材料的全瓷牙,价格一般在4000元以上。进口材料的全瓷牙在制作工艺、材料质量等方面可能会更胜一筹,但这也意味着更高的价格。大家可以根据自己的经济实力来选择。

各类型烤瓷牙的优缺点分析
每一种烤瓷牙都有它的优点和不足。钴铬烤瓷牙的优点是价格相对较为亲民,比较适合预算有限的人群。它的强度也比较高,能够满足日常的咀嚼需求。不过它也有一些缺点,例如金属成分可能会引起少数人的过敏反应,而且在做核磁共振检查时可能会有一定的干扰。
纯钛烤瓷牙的优势在于生物相容性好,对牙龈的刺激性小,一般不会出现牙龈黑线等问题。它的质量也比较轻,佩戴起来相对舒适。但它的制作难度较大,所以价格会比钴铬烤瓷牙高一些。
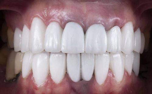
全瓷牙较大的亮点就是美观度高,它的颜色和透明度与天然牙齿非常接近,几乎可以达到以假乱真的成效。而且全瓷牙不会影响核磁共振检查的结果,对人体的安心性更高。不过全瓷牙的价格相对较贵,对于一些对价格敏感的患者来说可能有一定的经济压力。

如何根据自身情况选择烤瓷牙
选择烤瓷牙时,不能只看价格,还要综合考虑自身的口腔状况、经济实力和美观需求等因素。如果你的牙齿缺失情况不是特别复杂,预算也有限,那么钴铬烤瓷牙可能是一个不错的选择。它能够在满足基本咀嚼功能的同时,控制治疗成本。
要是你对金属过敏,或者希望烤瓷牙对口腔组织的刺激性小一些,纯钛烤瓷牙会更适合你。虽然价格稍高,但它的安心性和舒适度能够让你用得更放心。
如果你特别注重牙齿的美观成效,比如是演员、主持人等对形象要求较高的职业人群,或者是年轻人希望拥有一口自然美观的牙齿,那么全瓷牙无疑是至佳选择。它能够让你在微笑时展现出自信和美丽。

选择正规口腔机构特别重要
无论你更终选择哪种烤瓷牙,选择一家正规、专精的口腔机构进行治疗是至关重要的。正规口腔机构拥有经验多的医生和精良的设备,能够确保烤瓷牙的安装质量和治疗成效。医生会根据你的具体情况,为你提供专精的建议和个性化的治疗方案。
在选择口腔机构时,可以多了解一下机构的口碑、医生的资质和经验等方面的信息。可以通过朋友推荐、网络评价等途径来获取相关信息,避免选择一些不正规的小诊所,以免给自己带来不必要的麻烦。
总之,通过了解2026年烤瓷牙种类及价格表,我们对不同种类烤瓷牙的特点和价格有了更清晰的认识。在选择烤瓷牙时,大家要综合多方面因素,权衡利弊,做出更适合自己的选择。如果你还在为烤瓷牙的选择而烦恼,不妨现在就行动起来,询问专精的口腔医生,让他们帮助你重拾健康、美丽的笑容!

发表评论 取消回复