洗牙是维护口腔健康的重要方式,但洗牙多久洗一次好,却是许多人心中的疑问。其实,洗牙的间隔时间并非固定不变,它会受到多种因素的影响。了解洗牙的合适频率,能帮助我们更好地呵护牙齿,让牙齿保持健康状态。本文将为你详细介绍洗牙间隔时间的相关知识,帮助你找到适合自己的洗牙频率,让你的牙齿更加健康。

一般建议的洗牙频率
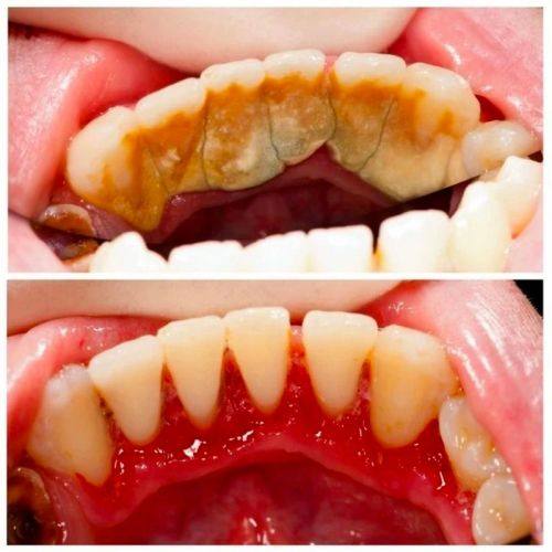
对于大部分人来说,洗牙(龈上洁治)间隔半年或一年洗一次比较好。这是因为在日常生活中,我们的牙齿表面会不断地积累牙菌斑和食物残渣。即使我们每天认真刷牙,也特别难完全清除这些物质。随着时间的推移,牙菌斑会逐渐钙化形成牙石,牙石不仅会影响牙齿的美观,还会刺激牙龈,引发牙龈炎、牙周炎等口腔疾病。
半年到一年的时间,牙齿表面积累的牙菌斑和牙石量通常会达到一个需要清理的程度。此时进行洗牙,可以有效地去除牙石和牙菌斑,预防口腔疾病的发生。而且这个频率也比较符合大多数人的生活节奏和口腔卫生状况,既不会因为洗牙过于频繁对牙齿造成不必要的损伤,也不会因为间隔时间过长而导致牙石积累过多。

个体差异对洗牙频率的影响
每个人的口腔环境和生活习惯不同,牙石形成的速度也会有较大差异。对于牙石形成较快的患者,可能三个月就需要洁治一次。这类患者可能本身唾液成分特殊,容易促进牙石的形成;或者平时喜欢吃一些黏性较大、富含糖分的食物,这些食物更容易附着在牙齿表面,加速牙石的堆积。
相反,牙石形成较慢的患者,可以一年洁治一次,但更好不要超过一年。他们可能唾液的自洁能力较强,或者平时饮食比较清淡,刷牙等口腔清洁措施做得比较到位,所以牙石积累的速度相对较慢。不过,即使牙石形成慢,也不能长时间不洗牙,因为随着时间的推移,牙石还是会逐渐积累,对口腔健康造成威胁。

特殊情况的洗牙频率调整
如果有患者常年坚持一年洁治一次,并且每次洁治时发现牙石都特别少,那么可以适当延长洗牙的间隔时间。这说明患者的口腔卫生维护得非常好,牙齿自身的抗牙石形成能力也较强。不过,在延长洗牙间隔时间的过程中,患者也不能掉以轻心,还是要保持良好的口腔卫生习惯,定期进行口腔检查,观察牙齿和牙龈的健康状况。
另外,一些患有特殊疾病的患者,洗牙频率也需要根据具体情况进行调整。例如,患有糖尿病的患者,由于血糖控制不佳时,口腔内的细菌更容易滋生,导致牙石形成加快,所以可能需要缩短洗牙的间隔时间。而正在接受正畸治疗的患者,牙齿上佩戴的矫治器会增加清洁的难度,牙菌斑和牙石更容易堆积,也可能需要增加洗牙的频率。
如何判断自己的洗牙频率
要确定自己合适的洗牙频率,首先可以观察自己牙齿表面的情况。如果发现牙齿表面经常有黄色或黑色的污垢,刷牙特别难清除,或者牙龈容易出血、红肿,那么可能牙石已经积累较多,需要缩短洗牙的间隔时间。
其次,可以询问专精的口腔医生。医生会根据你的口腔检查结果,包括牙齿的清洁程度、牙龈的健康状况、牙石的分布和量等,为你制定个性化的洗牙计划。此外,医生还能根据你的生活习惯、饮食习惯等因素,综合判断你牙石形成的速度,从而给出更正确的洗牙建议。

洗牙频率与口腔健康的关系
合适的洗牙频率对口腔健康至关重要。按照正确的频率洗牙,可以及时去除牙石和牙菌斑,减少细菌滋生的环境,预防牙龈炎、牙周炎等疾病的发生。保持牙龈的健康,牙齿才能更加稳固,避免出现牙齿松动、脱落等问题。
然而,如果洗牙过于频繁,可能会对牙齿表面的牙釉质造成一定的损伤,使牙齿变得敏感。相反,如果洗牙间隔时间过长,牙石和牙菌斑会大量积累,引发各种口腔疾病,影响口腔健康和生活质量。
洗牙多久洗一次好并没有一个固定的答案,它需要根据个人的口腔状况、生活习惯等多种因素来综合判断。一般情况下,大部分人半年到一年洗一次牙比较合适,但个体差异和特殊情况会导致洗牙频率有所不同。建议大家定期进行口腔检查,听从医生的建议,找到适合自己的洗牙频率。同时,在日常生活中要保持良好的口腔卫生习惯,这样才能让我们的牙齿更加健康。如果你还不确定自己的洗牙频率,不妨尽快询问专精的口腔医生,为你的口腔健康保驾护航。

发表评论 取消回复