在日常的口腔护理中,特别多人会有这样的疑问:牙齿美白和洗牙有什么区别?其实,洗牙和牙齿美白在目的、方式、成效等方面存在明显差异。了解这些区别,能帮助我们更有针对性地选择适合自己的口腔护理方式。接下来,我们就详细揭秘这其中的3大关键点,让你对牙齿美白和洗牙有更清晰的认识。

目的大不同
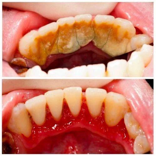
洗牙主要是为了维护口腔健康。在我们的牙齿表面和牙龈缘附近,会逐渐堆积牙结石、牙菌斑以及食物残渣。这些东西如果长期不清理,就容易引发牙龈炎、牙周炎等各种口腔疾病。洗牙就像是给牙齿做一次深度清洁大扫除,把这些“垃圾”统统清除掉,让口腔环境更加健康。
而牙齿美白则更侧重于提升牙齿的美观度。如果你发现自己的牙齿发黄、变色,影响了笑容的美观,那么牙齿美白就是你的好选择。它能针对牙齿颜色异常的问题,让你的牙齿变得更加洁白亮丽,笑容也更加自信。所以说,如果你的主要诉求是解决口腔健康问题,那洗牙更适合你;要是想让牙齿变白变好看,牙齿美白会是更好的选项。

方式各有千秋
洗牙通常采用的是超声波洗牙的方式。医生会使用高频振动的超声波探头,就像一个小锤子一样,把牙结石震碎然后去除。之后,还会进行喷砂处理,这就好比是给牙齿做一次精细打磨,能把牙齿上的色素和细小污垢都清理干净。整个洗牙过程相对简单,而且对牙齿结构基本不会造成损伤,就像给牙齿做了一次温和的SPA。
牙齿美白的方法就比较多样了。比较常见的有冷光美白,医生会先在牙齿上涂抹美白剂,然后用冷光照射,加速美白反应,就像给牙齿来了一场“美白魔法”。还有家庭美白套装,你可以自己在家佩戴定制的牙套,然后往牙套里注入美白凝胶,让凝胶长时间接触牙齿,达到美白的成效。如果牙齿变色比较重度,还可以采用牙齿贴面等修复手段。不同的方式适合不同的牙齿情况,在选择时要根据自身实际情况来决定。

成效差异明显
洗牙后,你会明显感觉到牙齿变得干净了,口腔异味也减轻了,牙龈炎症也会得到缓解。这是因为洗牙把牙齿表面的脏东西都清除了,口腔环境得到了改善。不过一般来说,洗牙后牙齿颜色不会有特别明显的改变,除非你的牙齿上有特别多外源性色素附着,当这些色素被去除后,牙齿可能会稍微显得白一点,但这并不是洗牙的主要目的。
牙齿美白的主要成效就是改变牙齿颜色,能让牙齿在一定程度上变白。但不同的美白方法,美白程度也不一样,而且成效维持的时间也有所不同,从数月到数年不等。需要注意的是,如果后期不注意口腔卫生,经常吃一些容易染色的食物,比如咖啡、浓茶等,牙齿还是有可能再次变色的。所以,牙齿美白后需要我们更加细心地呵护牙齿。

频率与注意事项有别
洗牙是口腔日常保健和疾病防治的重要手段,建议每年定期进行1 - 2次。这样可以及时清除牙齿上不断堆积的牙结石和牙菌斑,保持口腔健康。洗牙后,要注意保持良好的口腔卫生习惯,比如每天早晚正确刷牙、使用牙线等。如果洗牙过程中出现牙齿敏感、疼痛等不适症状,也不用过于担心,这是比较正常的现象,但要及时告知医生,必要时就医。
牙齿美白则要根据个人牙齿状况和需求,在专精医生的指导下选择合适的方法。不建议过于频繁地进行牙齿美白,因为频繁美白可能会对牙齿造成一定的损伤。牙齿美白后同样要保持良好的口腔卫生习惯,避免吃一些容易染色的食物和饮料,同时要按照医生的建议进行护理。如果在美白过程中出现牙齿敏感、疼痛等问题,也要及时就医。
该如何选择
了解了牙齿美白和洗牙有什么区别后,该怎么选择就一目了然了。如果你平时刷牙比较认真,但还是有口臭,牙龈偶尔还会出血,那么洗牙就是你首先要考虑的。它能帮你解决口腔健康问题,让你的口腔修复健康状态。
要是你对自己牙齿的颜色不满意,觉得牙齿不够白,影响了美观,那么可以选择牙齿美白。但在选择美白方法时,一定要先询问专精的医生,让医生根据你的牙齿状况制定合适的方案。无论选择洗牙还是牙齿美白,都要选择正规的口腔机构,确保操作的安心性和有效性。
综上所述,牙齿美白和洗牙有着明显的区别,在目的、方式、成效、频率以及注意事项等方面都各有特点。通过揭秘这3大关键点,相信你已经对牙齿美白和洗牙有了更深入的了解。在选择口腔护理方式时,一定要根据自己的实际需求和牙齿状况来决定。同时,无论是洗牙还是牙齿美白后,都要保持良好的口腔卫生习惯,这样才能让你的牙齿长久保持健康和美丽。如果你还有其他关于牙齿的疑问,不妨询问专精的口腔医生,他们会为你提供更详细的建议。

发表评论 取消回复