在日常生活中,特别多人都会有这样的疑问:从来没洗过牙的人有必要去洗一次牙吗?其实,洗牙是否必要不能一概而论,这和每个人的口腔状况息息相关。了解洗牙的必要性,能让我们更好地维护口腔健康。本文将详细探讨这个问题,为你揭示口腔健康的真相,帮助你做出适合自己的选择。

洗牙的原理和作用
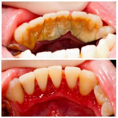
洗牙,专精术语叫“洁治”,主要是利用超声波等技术,去除牙齿表面的牙结石、牙菌斑和色素。牙结石是由食物残渣、细菌和唾液中的矿物质长期堆积而成,它紧紧附着在牙齿表面,刷牙特别难清除。牙菌斑则是细菌在牙齿表面形成的生物膜,如果不及时清除,会不断滋生繁殖,引发各种口腔问题。
洗牙可以有效预防和治疗多种口腔疾病。去除牙结石和牙菌斑后,能减少细菌对牙龈的刺激,预防牙龈炎和牙周炎。还能改善牙齿外观,去除牙齿表面的色素沉着,让牙齿看起来更加洁白。此外,洗牙对于保持口气清新也有较大帮助。
判断是否有必要洗牙的依据
从来没洗过牙的人有必要去洗一次牙吗?这需要根据自身情况来判断。关键在于口腔内牙结石和牙菌斑的多少。如果牙结石和牙菌斑比较多,那么洗牙是特别有必要的;如果比较少,可能暂时就没必要洗牙。
判断牙结石和牙菌斑的多少,可以从一些症状来初步判断。当出现牙龈红肿、出血、口臭等症状时,特别可能是口腔内牙结石和牙菌斑较多导致的。牙龈红肿是因为细菌刺激牙龈组织,引起炎症反应;牙龈出血则是牙龈炎症加重的表现;口臭则与口腔内细菌分解食物残渣产生的异味有关。出现这些症状时,洗牙就显得尤为重要。
相反,如果口腔内牙结石和牙菌斑较少,且没有出现牙龈红肿、出血、口臭等症状,那么就没必要急于洗牙。平时注意保持良好的口腔卫生习惯即可。

有必要洗牙的情况
当口腔内牙结石和牙菌斑较多,并且已经出现了明显的症状时,洗牙能带来诸多好处。首先,洗牙可以去除牙结石和牙菌斑,从根本上解决问题。去除这些刺激因素后,牙龈红肿、出血等症状会逐渐缓解。特别多人在洗牙后会发现,牙龈不再那么容易出血,刷牙时也不会再看到血丝。
对于口臭问题,洗牙也能起到良好的改善作用。去除口腔内的细菌和食物残渣后,口气会变得更加清新。此外,洗牙还能预防口腔疾病的进一步发展。如果不及时洗牙,牙龈炎可能会发展成牙周炎,导致牙齿松动甚至脱落。

没必要洗牙的情况
如果口腔内牙结石和牙菌斑较少,且没有出现任何不适症状,那么暂时没必要洗牙。过度洗牙可能会对牙齿表面造成一定的损伤,比如导致牙齿敏感等问题。在这种情况下,保持良好的口腔卫生是关键。
平时要养成早晚刷牙的好习惯,选择合适的牙刷和牙膏,采用正确的刷牙方法,确保牙齿的每个面都能得到清洁。饭后及时漱口,能有效防止食物残渣残留,减少细菌滋生的机会。只要坚持做好这些日常口腔护理工作,就能维持口腔健康。

日常口腔保健建议
无论是否需要洗牙,日常的口腔保健都非常重要。在饮食方面,要多吃新鲜的水果蔬菜,它们富含维生素和矿物质,有助于维持口腔组织的健康。少吃辛辣、刺激、油腻的食物,这些食物容易滋生细菌,对口腔健康不利。
确保充足的睡眠也特别关键。睡眠不足会导致身体免疫力下降,口腔内的细菌更容易滋生。因此,每天要确保足够的睡眠时间,让身体得到充分的休息。
适量进行体育运动,能加快身体新陈代谢,增强身体抵抗力。也有助于维持口腔的健康环境。可以选择适合自己的运动方式,如散步、跑步、游泳等,每周坚持一定的运动次数和时间。
总之,从来没洗过牙的人有必要去洗一次牙吗这个问题,需要根据个人的口腔状况来决定。如果口腔内有较多的牙结石和牙菌斑,并且出现了牙龈红肿、出血、口臭等症状,那么洗牙是特别有必要的;如果口腔状况良好,没有这些问题,那么平时注意口腔卫生就可以了。希望大家都能重视口腔健康,根据自己的情况做出正确的选择。如果对自己的口腔状况不确定,不妨询问专精的牙医,他们会给出更正确的建议。

发表评论 取消回复