在日常生活中,我们经常会听到龋齿和蛀牙这两个词,特别多人会好奇“龋齿和蛀牙哪个重度”。其实这不仅关系到我们对牙齿疾病的认识,更影响着我们采取何种治疗和预防措施。本文将深入剖析龋齿和蛀牙,为你揭秘牙齿健康的真相,让你清楚了解它们的区别和重度程度,从而更好地呵护自己的牙齿。
龋齿和蛀牙:是同一回事吗?
特别多人以为龋齿和蛀牙是两种不同的牙齿问题,其实它们指的是同一种疾病,只是叫法不同。龋齿,是医学上的专精术语,而蛀牙则是更为通俗的说法。它主要是由于口腔内细菌利用食物中的糖分产生酸性物质,这些酸性物质逐渐腐蚀牙齿,导致牙齿硬组织被破坏,形成龋洞。所以,从本质上来说,不存在“龋齿和蛀牙哪个重度”的比较,因为它们是同一种疾病的不同表述。

龋齿(蛀牙)的发展阶段
虽然龋齿和蛀牙是一回事,但它的重度程度会随着病情的发展而变化。一般来说,龋齿可以分为浅龋、中龋和深龋三个阶段。
浅龋:这是龋齿的初期阶段,病变只局限于牙齿的表层,通常没有明显的症状。患者可能只是在牙齿表面发现一些白色或黄褐色的斑点,这个时候如果及时发现并采取措施,比如加强口腔清洁、使用含氟牙膏等,是可以阻止龋齿进一步发展的。
中龋:当龋齿发展到中龋阶段,病变已经深入到牙本质。患者可能会对冷热酸甜等刺激产生敏感症状,吃甜食或喝冷饮时会感到牙齿酸痛。此时需要及时就医,医生会去除龋坏组织,然后进行补牙治疗。
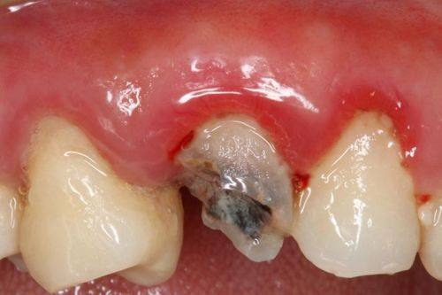
深龋:深龋是龋齿比较重度的阶段,病变已经接近牙髓腔。患者会出现明显的疼痛症状,尤其是在进食冷热食物或食物嵌入龋洞时,疼痛会加剧。如果不及时治疗,细菌可能会感染牙髓,引起牙髓炎,导致更重度的疼痛和牙齿问题。
影响龋齿(蛀牙)重度程度的因素
虽然龋齿和蛀牙本质相同,但不同人的龋齿重度程度可能会有所差异,这与以下因素有关。
口腔卫生习惯:良好的口腔卫生习惯可以有效预防龋齿的发生和发展。如果平时不注意刷牙、漱口,口腔内细菌滋生,就容易导致龋齿加重。相反,每天按时刷牙、使用牙线等,能够减少口腔内细菌的数量,降低龋齿的重度程度。
饮食习惯:经常吃甜食、喝碳酸饮料的人,患龋齿的风险会更高,而且龋齿发展的速度也可能更快。因为这些食物中的糖分容易被细菌利用,产生酸性物质腐蚀牙齿。而多吃富含纤维的食物,如蔬菜、水果等,有助于清洁牙齿,减少龋齿的发生。
牙齿结构和唾液分泌:每个人的牙齿结构和唾液分泌情况都不同,这些因素也会影响龋齿的重度程度。例如,牙齿排列不整齐、窝沟较深的人,更容易残留食物残渣,增加龋齿的发生几率。而唾液具有一定的缓冲和清洁作用,如果唾液分泌不足,牙齿就更容易受到酸性物质的侵蚀。

如何判断龋齿(蛀牙)的重度程度
如果你怀疑自己有龋齿(蛀牙),可以通过以下方法初步判断其重度程度。
观察牙齿外观:仔细观察牙齿表面是否有变色、龋洞等情况。如果牙齿表面只是出现白色或黄褐色斑点,可能处于浅龋阶段;如果已经出现明显的龋洞,可能已经发展到中龋或深龋。
感受牙齿症状:注意牙齿对冷热酸甜等刺激的反应。如果只是轻微敏感,可能是中龋;如果出现剧烈疼痛,尤其是自发性疼痛,可能已经发展到深龋或牙髓炎。
及时就医检查:更正确的方法还是到正规的口腔医院进行检查。医生会使用专精的工具,如探针、X光片等,来确定龋齿的位置、深度和重度程度,并制定相应的治疗方案。
预防和治疗龋齿(蛀牙)
预防龋齿(蛀牙)非常重要,以下是一些有效的预防措施。
保持良好的口腔卫生:每天至少刷牙两次,每次刷牙时间不少于两分钟,使用含氟牙膏。同时,定期使用牙线清洁牙缝,去除食物残渣和细菌。
合理饮食:减少甜食和碳酸饮料的摄入,多吃富含钙、磷等矿物质的食物,如牛奶、鸡蛋、蔬菜等,有助于增强牙齿的抗龋能力。
定期口腔检查:建议每年至少进行一次口腔检查,及时发现和处理龋齿等问题。对于儿童来说,还可以进行窝沟封闭等预防措施,降低龋齿的发生几率。
如果已经患有龋齿(蛀牙),应及时就医疗疗。根据龋齿的重度程度,医生可能会采取补牙、根管治疗等方法。补牙是治疗浅龋和中龋的常用方法,医生会去除龋坏组织,然后用补牙材料填充龋洞。如果龋齿已经发展到深龋,可能需要进行根管治疗,去除感染的牙髓组织,然后进行填充和修复。
综上所述,龋齿和蛀牙实际上是同一种疾病,不存在哪个更重度的说法,关键在于疾病的发展阶段和个人的具体情况。了解龋齿(蛀牙)的发展阶段、影响因素以及预防和治疗方法,有助于我们更好地保护牙齿健康。如果你对自己的牙齿健康有任何疑问,建议及时询问专精的口腔医生。希望大家都能拥有一口健康的牙齿,享受美好的生活!

发表评论 取消回复