你是否好奇龋齿是怎么造成的呢?其实,龋齿通常是由细菌感染、饮食因素、口腔清洁不足、牙齿结构缺陷及时间累积共同作用导致的。了解这些影响因素,能让我们更好地保护牙齿。本文将详细揭示这5大影响因素,为你提供实用的护牙建议,帮助你远离龋齿困扰,守护口腔健康。

细菌感染:龋病的“元凶”
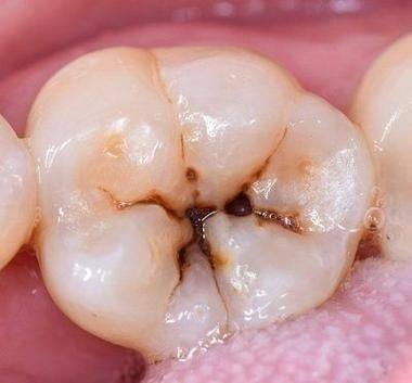
在我们的口腔里,存在着许多细菌,其中变形链球菌和乳酸杆菌等致龋菌可是导致龋齿的“罪魁祸首”。这些细菌会在牙齿表面形成一层生物膜,就像给牙齿穿上了一件“脏衣服”。当我们进食后,食物残渣留在牙齿上,致龋菌就会分解这些残渣中的糖类,产生酸性物质。
酸性环境对牙齿可没有好处,它会使牙釉质里的羟基磷灰石晶体慢慢溶解。刚开始的时候,牙齿表面会出现白垩色的斑块,这其实就是龋齿的早期表现。如果不及时处理,酸性物质会继续侵蚀牙齿,龋洞就会逐渐形成。所以,细菌感染是造成龋齿的重要因素之一。
饮食因素:甜蜜的“陷阱”
饮食在龋齿的形成过程中也起着关键作用。现在特别多人喜欢吃高糖食物,像黏性糖果、碳酸饮料等。频繁摄入这些高糖饮食,会让口腔长时间处于酸性环境中。
比如蔗糖,当它被细菌代谢后,会产生一种叫做葡聚糖的物质。这种物质就像胶水一样,能促进菌斑更好地黏附在牙齿上,加速牙齿脱矿的进程。简单来说,就是让牙齿更容易被腐蚀。所以,如果你经常吃高糖食物,那么患龋齿的风险就会大大增加。

清洁不足:卫生的“死角”
保持口腔清洁是预防龋齿的重要措施,但特别多人在刷牙这件事上做得并不到位。刷牙时间不足或者方法错误,都会导致菌斑在牙齿上堆积。
特别是牙齿的邻面和牙间隙,这些地方特别容易残留食物嵌塞。如果不及时清理,食物残渣就会为细菌提供养分,细菌大量繁殖,龋齿也就更容易发生。所以,正确刷牙、确保足够的刷牙时间非常重要。
牙齿结构缺陷:先天的“隐患”
有些人的牙齿天生就存在一些结构缺陷,这也会增加患龋齿的风险。比如发育不全的釉质,就像房子的墙壁不坚固,更容易被外界因素破坏。还有深窝沟,食物特别容易滞留在里面,难以清洁干净。
研究发现,后牙咬合面的龋坏率是光滑面的数倍,这就是因为后牙的窝沟比较深。另外,遗传性牙本质发育不良的患者,他们的牙齿本身就比较脆弱,更容易受到细菌的侵蚀,患龋的可能性也更大。
时间累积:潜移默化的“杀手”
龋病的发展是一个漫长的过程,通常需要数月到数年的时间。在这个过程中,时间就像一个潜移默化的“杀手”,不断地影响着牙齿的健康。
我们的唾液有一定的缓冲作用,能够中和口腔中的酸性物质。但是在夜间,唾液的分泌会减少,缓冲作用也会减弱。如果在睡前吃东西,尤其是吃高糖食物,口腔中的酸性环境就会持续更久,对牙齿的伤害也就更大。所以,睡前尽量不要吃东西,保持口腔清洁。
综上所述,龋齿是怎么造成的呢?其实就是细菌感染、饮食因素、口腔清洁不足、牙齿结构缺陷及时间累积这5大因素共同作用的结果。了解了这些影响因素,我们就能有针对性地采取措施来保护牙齿。比如注意口腔卫生,正确刷牙;控制高糖食物的摄入;定期检查牙齿,及时发现和处理牙齿问题。希望大家都能重视口腔健康,远离龋齿的困扰。

发表评论 取消回复