你有没有过这样的经历,突然发现牙齿出现了黑色缝隙,心里瞬间“咯噔”一下,担心是不是得了蛀牙?其实,牙齿有黑色缝隙不一定就是蛀牙,也可能是其他原因导致的。本文就围绕“牙齿有黑色缝隙是蛀牙吗”这个问题,为大家揭示背后的真相,并分享一些实用的预防技巧,帮助大家更好地维护口腔健康。
牙齿黑色缝隙成因初判
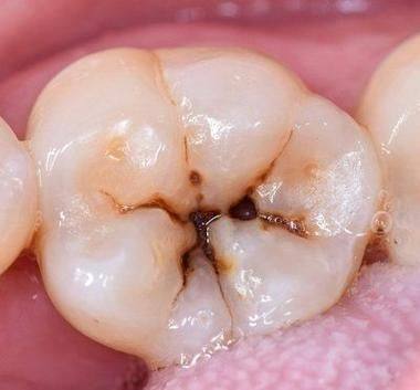
当发现牙齿有黑色缝隙时,不少人会直接联想到蛀牙,但实际上,牙缝出现黑线有可能是蛀牙,也有可能是色素沉着。如果平时没有每日用牙线清洁牙缝的习惯,相邻牙缝出现黑线,那么是蛀牙的可能性就比较大。不过,更终的判断还是需要尽快就医检查来明确。
色素沉着也是导致牙齿出现黑色缝隙的常见原因。比如,平时经常饮茶、喝咖啡的人,牙齿表面就容易堆积色素。这些色素附着在牙齿上,看起来就像是牙缝里有黑线。

蛀牙的形成原因及表现
蛀牙主要是由细菌产酸导致牙齿腐蚀引起的。我们的口腔里有特别多细菌,当我们进食后,食物残渣会留在牙齿表面,细菌就会利用这些食物残渣产生酸性物质,这些酸性物质会逐渐腐蚀牙齿,使牙齿表面存积细菌及食物残渣,呈现黑黄色。
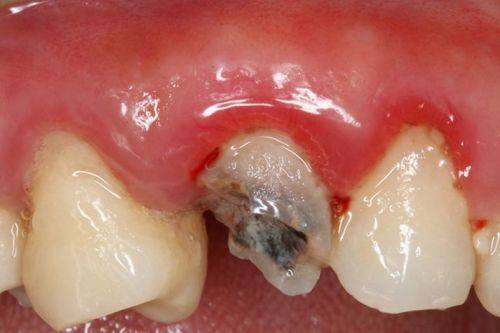
两牙之间的部位是比较容易发生龋坏的,但这里的龋坏往往更不易被察觉。如果患者明显感到牙齿发黑,并且在使用牙线时,有嵌塞、不光滑的感觉,那么就需要警惕可能是蛀牙了。这种情况下,建议拍摄X线片进一步明确诊断。

不同情况的治疗方法
如果经过检查确诊为龋齿,也就是我们常说的蛀牙,那么通常需要进行树脂充填治疗。医生会先将龋坏的部分去除,然后用树脂材料进行填充,修复牙齿的外形和功能。
要是牙齿黑色缝隙是由色素沉着引起的,一般可以通过洗牙来去除色素。洗牙是一种常见的口腔清洁方法,它可以去除牙齿表面的污垢、菌斑和色素,让牙齿修复洁白。
日常预防技巧
为了预防牙齿出现黑色缝隙,无论是蛀牙还是色素沉着,我们在日常生活中都要做好口腔护理。首先,要养成每日用牙线清洁牙缝的习惯。刷牙虽然可以清洁牙齿表面,但对于牙缝里的食物残渣和细菌,牙线能起到更好的清洁作用。
其次,要定期到口腔医院进行检查。定期检查可以及时发现牙齿的问题,做到早发现、早治疗。一般建议每半年到一年进行一次口腔检查。
另外,在饮食方面也要注意。尽量减少食用高糖、酸性的食物和饮料,这些食物容易导致牙齿龋坏。同时,要保持良好的口腔卫生习惯,饭后及时漱口。

总结与行动呼吁
牙齿有黑色缝隙不一定就是蛀牙,但也不能掉以轻心。通过了解牙齿黑色缝隙的成因、蛀牙的表现以及相应的治疗和预防方法,相信大家对“牙齿有黑色缝隙是蛀牙吗”这个问题有了更清晰的认识。
当发现牙齿有黑色缝隙时,不要自己盲目猜测,应尽快就医检查,明确原因,采取正确的治疗措施。同时,在日常生活中要坚持做好口腔护理,预防牙齿问题的发生。希望大家都能拥有健康洁白的牙齿!

发表评论 取消回复