你是否担心过“龋齿不治疗会一直发展吗”这个问题呢?其实,龋齿若不治疗,危害可不小。它不仅可能持续恶化,还会引发一系列口腔问题。本文将为你详细剖析龋齿不治疗是否会一直发展,以及它可能带来的危害和相应的应对措施,让你对龋齿有更深入的了解,从而更好地保护自己的口腔健康。

龋齿不治疗真的会一直发展吗
答案是肯定的。如果龋齿没有得到治疗,它会一直烂下去。龋齿主要是由于吃了过多含糖分高的食物、牙齿排列不整齐或者细菌感染等原因,导致牙体硬组织被破坏。一旦确诊为龋齿,若不及时治疗,细菌就得不到清除,它们会持续繁殖、扩散,使得龋洞越来越深。就像一个小伤口,如果不及时处理,就会越来越重度。所以,“龋齿不治疗会一直发展吗”这个问题的答案是明确的,不治疗的龋齿会不断恶化。

龋齿不治疗持续发展的原因
要理解龋齿不治疗为何会持续发展,就得先了解它的形成原因。当我们吃了含糖量高的食物后,口腔里的细菌会利用这些糖分产生酸性物质,这些酸性物质会逐渐腐蚀牙齿,破坏牙体硬组织。而且,如果牙齿排列不整齐,食物残渣就更容易残留在牙齿表面和缝隙中,为细菌提供了良好的生存环境。一旦龋齿形成,若不及时治疗,细菌就会在龋洞内大量繁殖。它们不断分解食物残渣,产生更多的酸性物质,进一步腐蚀牙齿,使龋洞越来越大、越来越深。所以,细菌的持续存在和繁殖是龋齿不治疗持续发展的关键原因。

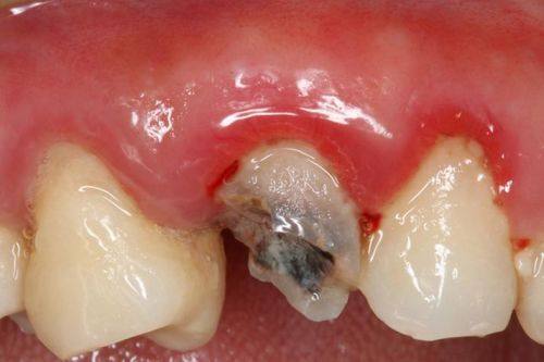
龋齿重度发展的后果
当龋坏程度重度,达到牙本质深层时,危害可就大了。首先,它会损害整颗牙齿,让牙齿变得脆弱,容易折断。而且,还会影响周围的牙龈及神经组织。你可能会经常感到牙齿疼痛,这种疼痛可能会影响你的日常生活,比如吃饭、睡觉等。此外,龋齿重度发展还会加大牙髓炎、根尖周炎或其他口腔疾病发生的概率。牙髓炎会让你感受到剧烈的疼痛,根尖周炎则可能导致牙齿松动、移位。所以,千万不要小看龋齿,它的危害不容小觑。

应对龋齿的措施
既然知道了龋齿不治疗会一直发展且危害重度,那我们该如何应对呢?具体情况建议到正规医院进行检查。医生会通过专精的设备和方法,明确诊断你的龋齿情况。然后,在医生的帮助下选择正确的治疗方法。如果龋齿比较浅,可能只需要进行简单的补牙就可以了。但如果龋坏程度比较重度,可能需要进行根管治疗等更复杂的治疗。所以,一旦发现自己有龋齿,不要拖延,及时去医院治疗是关键。
预防龋齿的重要性
除了及时治疗龋齿,预防也非常重要。我们可以从日常生活中的小事做起,比如保持良好的口腔卫生习惯。每天早晚刷牙,使用正确的刷牙方法,确保牙齿的每个面都能得到清洁。饭后使用漱口水漱口,及时清除口腔内的食物残渣。此外,要控制糖分的摄入,少吃糖果、蛋糕等高糖食物。定期到口腔医院进行检查,及时发现和处理潜在的口腔问题。通过这些预防措施,可以降低龋齿的发生概率,保护我们的口腔健康。
综上所述,“龋齿不治疗会一直发展吗”的答案是肯定的。龋齿不治疗会持续恶化,带来重度的危害。所以,当发现自己有龋齿时,一定要及时到正规医院进行检查和治疗。同时,要重视预防龋齿,保持良好的口腔卫生习惯。希望大家都能拥有健康的牙齿,享受美好的生活。

发表评论 取消回复