在日常生活中,不少人都有过这样的经历:牙齿上长了龋齿,而且一碰就疼得厉害。这时候大家心里都会犯嘀咕:“龋齿一碰就疼是伤到神经了吗?”其实,牙齿疼痛背后的原因可没那么简单。这篇文章就为大家深入剖析,带你了解疼痛背后的真相,让你在面对牙齿问题时不再迷茫,能更好地保护自己的口腔健康。

什么是龋齿,它为何会引发疼痛?
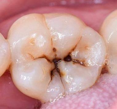
龋齿,也就是我们常说的蛀牙、虫牙。它主要是由于口腔中的细菌利用食物残渣产生酸性物质,这些酸性物质逐渐腐蚀牙齿,破坏牙齿的硬组织,形成龋洞。当龋洞较浅时,可能没有明显症状,但随着龋洞不断加深,就可能会触及到牙齿内部的敏感结构,从而引发疼痛。
牙齿的结构就像一个小房子,更外层是坚硬的牙釉质,它能保护牙齿内部的结构。牙釉质里面是牙本质,牙本质中有许多细小的神经纤维。当龋齿破坏了牙釉质,到达牙本质时,外界的刺激就更容易传导到神经纤维,引起疼痛。而如果龋齿继续发展,深入到牙髓腔,就可能会伤到牙神经,这时候疼痛往往会更加剧烈。

龋齿一碰就疼,是伤到神经了吗?
牙齿一碰就疼有可能是神经暴露导致的。当龋齿比较重度时,会使牙神经失去牙釉质和牙本质的保护,直接暴露在口腔环境中。这样一来,牙齿对外界的刺激就会变得特别敏感,哪怕是轻微的触碰,也可能引发剧烈的疼痛。
不过,牙齿一碰就疼并不一定意味着伤到了神经。除了龋齿导致神经暴露外,还有其他一些口腔疾病也可能引起类似的症状。比如牙龈炎和牙周炎,这两种炎症在口腔中特别常见。牙龈炎会导致牙龈红肿、出血,牙周炎则会使牙周组织受到破坏,出现牙周袋、牙齿松动等问题。这些炎症会使牙齿周围的组织变得敏感,从而导致牙齿对外界刺激产生疼痛。
另外,牙齿敏感也是导致牙齿一碰就疼的一个原因。当牙齿的牙釉质受损,比如长期刷牙方法不当、经常食用酸性食物等,会使牙釉质逐渐磨损,牙本质暴露。牙本质暴露后,牙齿就会对热、冷、酸、甜等刺激变得敏感,容易出现疼痛症状。

如何判断是否伤到神经?
要正确判断龋齿一碰就疼是否伤到了神经,还需要结合一些具体的症状来分析。如果牙齿只是对冷热刺激有短暂的疼痛,刺激去除后疼痛特别快就消失,这种情况可能是龋坏还没有累及到神经,只是牙本质敏感。但如果牙齿出现自发性疼痛,也就是在没有外界刺激的情况下也会疼痛,而且疼痛比较剧烈,呈阵发性发作,夜间疼痛加剧,这特别可能是伤到了神经,引发了牙髓炎。
此外,医生还会通过一些专精的检查来辅助判断。比如用冷热诊法,通过向牙齿表面施加冷或热的刺激,观察牙齿的反应。还会用牙髓活力测试等方法,来检测牙髓的状态。所以,如果自己无法判断,更好及时去看牙医,让专精的医生进行诊断。
出现这种情况该怎么办?
一旦发现牙齿一碰就疼,建议大家及时就诊,寻求专精牙科医师的帮助。医生会根据具体的病情,制定合适的治疗方案。
如果龋坏还没有累及到神经,一般可以进行补牙治疗。医生会先去除龋洞内的腐质,然后用补牙材料填充龋洞,修复牙齿的外形和功能。这样既能缓解疼痛,又能防止龋齿进一步发展。
如果已经伤到了神经,可能就需要进行牙神经治疗,也就是根管治疗。根管治疗是一种比较复杂的治疗方法,需要多次就诊。医生会先打开牙髓腔,去除感染的牙髓组织,然后对根管进行清理、消毒和充填,末尾再进行补牙或做牙冠修复。虽然根管治疗过程相对复杂,但它能有效地消除牙髓炎症,缓解疼痛,保留患牙。
如果是因为牙龈炎、牙周炎引起的牙齿疼痛,医生会进行牙周治疗,如洗牙、刮治等,去除牙龈和牙周组织周围的牙菌斑和牙结石,控制炎症,缓解疼痛。

日常生活中如何预防牙齿疼痛?
预防牙齿疼痛,关键在于保持良好的口腔卫生习惯。每天至少刷牙两次,每次刷牙时间不少于两分钟,选择软毛牙刷,采用正确的刷牙方法,如巴氏刷牙法。饭后要及时漱口,清除口腔内的食物残渣。
定期到口腔医院进行检查和洗牙也是特别有必要的。一般建议每半年到一年进行一次口腔检查和洗牙,这样可以及时发现口腔问题,并采取相应的治疗措施。同时,洗牙还能去除牙齿表面的牙菌斑和牙结石,预防牙龈炎和牙周炎的发生。
在饮食方面,要注意控制甜食的摄入,少吃酸性食物和饮料。因为甜食容易滋生细菌,酸性物质会腐蚀牙齿。可以多吃一些富含维生素和矿物质的食物,如蔬菜、水果、牛奶等,这些食物对牙齿健康有益。
总之,“龋齿一碰就疼是伤到神经了吗?”这个问题的答案并不是完全地的。牙齿疼痛可能是由多种原因引起的,我们不能仅凭这一个症状就判断是否伤到了神经。当出现牙齿一碰就疼的情况时,不要自行猜测和处理,应及时就诊,让专精医生进行诊断和治疗。同时,在日常生活中要注意口腔卫生,预防牙齿疾病的发生。希望大家都能拥有健康的牙齿,绽放灿烂的笑容!

发表评论 取消回复