龋齿是特别多人都会遇到的口腔问题,那龋齿怎么治疗呢?其实有5个有效方法能让你重获健康牙齿。本文将详细介绍这些治疗方法,从日常护理到专精治疗,为你提供全方面的解决方案。无论你是轻度龋齿患者,还是龋齿情况较为重度,都能在文中找到适合自己的治疗方式,帮助你摆脱龋齿困扰,重拾健康牙齿。

了解龋齿成因,开启治疗第一步
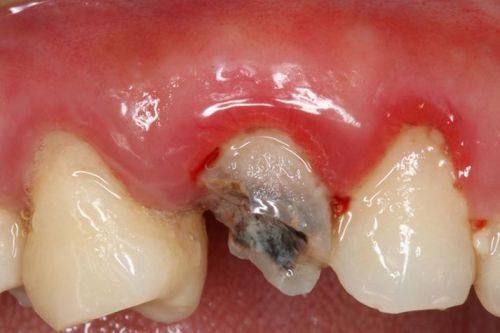
想要知道龋齿怎么治疗,首先得了解它是怎么形成的。龋齿主要是因为平时不注意口腔卫生,口腔里的细菌大量滋生,这些细菌会慢慢破坏牙体硬组织,时间长了就形成了龋齿。所以,保持良好的口腔卫生是预防和治疗龋齿的基础。当你发现自己有龋齿时,不要慌张,接下来我们就看看具体的治疗方法。

一般治疗:日常护理不可少
一般治疗是治疗龋齿的基础,也是更简单有效的方法。吃完饭要立即漱口,这样可以防止食物残渣滞留在口腔里,给细菌提供滋生的温床。而且要坚持每天早晚刷牙,刷牙能有效清除口腔内的细菌和食物残渣,保持口腔清洁,从而控制龋齿的发展。这就像是给牙齿做日常的“清洁小卫士”,只要坚持做好这些,就能在一定程度上缓解龋齿的症状。

药物治疗:消炎抑菌有妙招
对于龋齿患者来说,药物治疗也是一种有效的手段。患者可以在医生的指导下使用复方氯己定含漱液、聚维酮碘含漱液、复方硼砂含漱液等药物。这些药物就像是牙齿的“消炎小助手”,能消除炎症,抑制细菌的繁殖。不过要注意,药物治疗一定要在医生的指导下进行,不能自己随意用药,以免对牙齿造成不良影响。
根管治疗:应对牙髓炎的关键
如果龋齿比较重度,引发了牙髓炎,那就需要进行根管治疗了。根管治疗是一种比较专精的治疗方法,医生会遵医嘱清理根管部位的坏死组织,控制感染。这就像是给牙齿做一次深度的“大扫除”,把牙齿内部的“垃圾”清理干净,让牙齿重新修复健康。虽然根管治疗听起来有点可怕,但只要选择正规的医院和专精的医生,治疗过程是安心有效的。

充填治疗:修复牙齿形态和功能
做完根管治疗后,还需要进行充填治疗。医生会使用银汞合金等材料对牙齿进行充填,修复牙齿的形态和功能。这就像是给牙齿穿上一件“修复外套”,让牙齿重新变得完整。充填治疗后,牙齿就能像正常牙齿一样咀嚼食物,修复正常的生活。
拔牙:无奈之举但必要时需果断
如果牙根完全损伤且牙齿松动重度,拔牙可能是不得不采取的措施。虽然拔牙听起来有点让人害怕,但如果不及时拔除龋齿,可能会影响日常生活,甚至引发其他口腔问题。所以,当牙齿已经无法保留时,要果断拔牙,以免造成更重度的后果。

日常饮食注意事项
除了上述治疗方法,在日常生活中,饮食也非常重要。要少吃实力强的食物,比如牛肉干、蚕豆等,这些食物可能会对牙齿造成损伤,加重龋齿的症状。多吃一些富含维生素和矿物质的食物,如水果、蔬菜等,有助于牙齿的健康。
总之,龋齿怎么治疗有多种方法,从一般治疗到专精的根管治疗、拔牙等,每个方法都有其适用的情况。如果你发现自己有龋齿,不要拖延,及时到正规的医院就诊,根据自己的情况选择合适的治疗方法。希望通过这5个有效方法,能让你重获健康牙齿,拥有灿烂的笑容!

发表评论 取消回复