你是否正被龋齿问题困扰,却又对龋齿治疗需要多少钱一头雾水?别担心,本文将为你带来2026年龋齿治疗的全新费用解析,并给出实用建议。了解不同程度龋齿的治疗费用,能让你在面对口腔问题时心中有数,合理规划治疗预算。接下来,让我们一起深入探究龋齿治疗的费用情况吧。

龋齿治疗费用与龋齿深度的关系
龋齿治疗需要多少钱,较大程度上取决于龋齿的深度。简单来说,龋齿越浅,治疗越简单,费用也就越低;反之,龋齿越深,治疗越复杂,费用也会相应增加。
浅龋,也就是牙釉质龋齿,是龋齿的早期阶段。这个时候,牙齿表面的牙釉质被破坏,但还没有波及到牙本质。治疗浅龋比较简单,通常只需要一次性去龋补牙就可以了。费用相对较低,大概在300 - 500元左右。这种治疗方式不仅省钱,而且省力,成效也比较好。
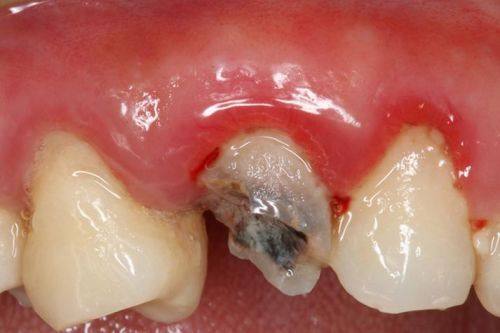
当龋齿发展到中龋或深龋时,情况就稍微复杂一些了。中龋和深龋会让牙齿对冷热、酸甜等刺激产生疼痛。这是因为龋齿已经深入到牙本质,刺激到了牙神经。治疗中龋或深龋,需要先去龋,然后进行垫底或间接盖髓,末尾再补牙。由于治疗步骤增多,费用也相对较高,大约在700元左右。
如果龋齿进一步恶化,感染到了牙髓,就会引发牙髓炎。牙髓炎是一种比较重度的口腔问题,会让人感到剧烈的疼痛。治疗牙髓炎,通常要精良行根管治疗。根管治疗是一种比较复杂的治疗方法,需要多次就诊。费用也比较高,大概在1800元左右。

影响龋齿治疗费用的其他因素
除了龋齿深度,还有其他一些因素也会影响龋齿治疗需要多少钱。
首先是治疗材料。不同的补牙材料价格差异较大。常见的补牙材料有树脂材料、玻璃离子材料等。树脂材料美观度高,耐磨性好,但价格相对较高;玻璃离子材料价格较低,但美观度和耐磨性相对较差。选择不同的材料,治疗费用也会有所不同。
其次是医院和医生的选择。不同等级的医院,收费标准会有所差异。一般来说,大型三等甲医院的收费会比普通诊所高一些。此外,经验多的医生收费也可能会比普通医生高。不过,选择正规的医院和有经验的医生,可以确保治疗的成效和安心性。
地区差异也是影响治疗费用的一个因素。在经济发达地区,物价水平较高,治疗费用也会相应增加;而在经济相对落后的地区,治疗费用可能会低一些。

不同治疗方式的费用对比
了解了影响龋齿治疗费用的因素后,我们来对比一下不同治疗方式的费用。
对于浅龋,如果选择一次性去龋补牙,费用在300 - 500元左右。这种治疗方式简单快捷,费用也比较低。但如果不及时治疗,浅龋可能会发展成中龋或深龋,治疗费用就会增加。
中龋或深龋的治疗,去龋后垫底或间接盖髓再补牙,费用约700元左右。虽然费用比浅龋治疗高一些,但可以避免龋齿进一步恶化。
牙髓炎的根管治疗费用大概在1800元左右。根管治疗虽然费用较高,但可以有效治疗牙髓炎,缓解疼痛,保留牙齿。
从费用对比可以看出,早期治疗龋齿可以节省费用。所以,一旦发现有龋齿,应及时就医。

如何降低龋齿治疗费用
既然知道了龋齿治疗需要多少钱以及影响费用的因素,那么如何降低治疗费用呢?
首先,要做好口腔保健,预防龋齿的发生。每天早晚正确刷牙,使用牙线清洁牙缝,定期洗牙等,可以有效预防龋齿。预防胜于治疗,做好口腔保健可以避免龋齿的发生,也就不需要花费治疗费用了。
其次,要及时发现龋齿并治疗。早期龋齿治疗简单,费用低。如果等到龋齿发展到重度程度,治疗费用会大大增加。所以,要定期进行口腔检查,及时发现龋齿并治疗。
在选择治疗材料和医院时,要根据自己的实际情况进行选择。如果对美观度要求不高,可以选择价格较低的补牙材料;如果经济条件允许,可以选择正规的大型医院和有经验的医生。

2026年龋齿治疗费用的全新趋势
随着医疗技术的不断发展和物价水平的变化,2026年龋齿治疗需要多少钱也可能会有所变化。
一方面,新的治疗技术和材料可能会不断出现。这些新技术和新材料可能会提高治疗成效,但价格也可能会相应增加。另一方面,随着市场竞争的加剧,一些医院可能会推出优惠活动,降低治疗费用。
总体来说,虽然治疗费用可能会有所波动,但只要我们做好口腔保健,及时治疗龋齿,就可以在一定程度上控制治疗费用。
综上所述,龋齿治疗需要多少钱受到多种因素的影响,包括龋齿深度、治疗材料、医院和医生的选择、地区差异等。2026年,了解这些因素和全新的费用趋势,可以帮助我们在面对龋齿问题时做出合理的决策。建议大家平时做好口腔保健,定期进行口腔检查,一旦发现龋齿,及时就医,选择适合自己的治疗方式和材料。这样既能确保治疗成效,又能合理控制治疗费用。如果你还有关于龋齿治疗费用的其他疑问,不妨询问专精的口腔医生。

发表评论 取消回复