在日常生活中,龋齿是一种常见的口腔问题,特别多人深受其扰。而识别龋齿早期症状至关重要,它能帮助我们及时采取措施,避免病情加重。本文为大家准备了丰富的龋齿早期症状图片,涵盖浅龋齿、成人龋齿早期等不同类型。通过这些图片,你可以直观地了解龋齿早期的样子,识别其中的警示信号,从而更好地呵护口腔健康。接下来,让我们一起深入了解吧。

浅龋齿的症状及图片特征
浅龋齿是龋齿发展的更初阶段。在这个时期,病变通常只局限于牙齿的表层,也就是牙釉质。从外观上看,牙齿表面可能会出现一些细微的变化。在浅龋齿的图片中,我们可以看到牙齿表面可能会有白色或黄褐色的斑点。这些斑点可能不太明显,特别容易被忽视。但仔细观察,会发现这些区域的牙齿光泽度与正常牙齿有所不同。
浅龋齿一般不会引起疼痛,患者通常没有明显的自觉症状。但如果不及时发现和处理,细菌会继续侵蚀牙齿,病情就会逐渐加重。所以,定期查看浅龋齿的症状图片,有助于我们在早期发现问题。

早期龋齿的普遍表现与图片展示
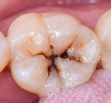
早期龋齿除了浅龋齿的表现外,还可能有其他一些特征。随着病情的发展,牙齿表面的斑点可能会逐渐扩大,颜色也会变得更深。在早期龋齿的图片中,我们能看到牙齿表面可能会出现一些小的龋洞,虽然这些龋洞还比较浅,但已经是龋齿进一步发展的信号。
此时,患者可能会在吃冷热酸甜食物时,感觉到牙齿有轻微的敏感。这种敏感可能只是短暂的,但也提示我们牙齿已经出现了问题。通过早期龋齿的图片,我们可以更清晰地认识到这些症状,及时关注口腔健康。

成人龋齿早期症状及对应图片
成人由于生活习惯、饮食习惯等因素,也容易出现龋齿。成人龋齿早期症状与其他阶段有所不同。成人的牙齿矿化程度相对较高,但由于长期的口腔使用和磨损,牙齿表面可能会有一些细微的裂纹或磨损。在成人龋齿早期的图片中,我们可以看到这些部位更容易被细菌侵袭,出现龋齿。
成人可能会因为工作繁忙等原因,忽视口腔卫生,导致龋齿的发生。成人龋齿早期可能会出现牙齿表面颜色改变,如出现黑色或褐色的小点。同时,在吃食物时,可能会感觉到牙齿有轻微的不适。通过成人龋齿早期症状图片,我们可以针对性地关注自己的口腔状况。

成年初期龋齿的特点与图片呈现
成年初期,人们的生活方式和饮食习惯可能会发生较大变化,这也会影响口腔健康。成年初期龋齿通常与生活压力、饮食不规律等因素有关。在成年初期龋齿的图片中,我们可以看到牙齿邻面更容易出现龋齿。这是因为邻面清洁相对困难,细菌容易在此滋生。
成年初期的人可能会因为社交活动增多,摄入更多的甜食和饮料,从而增加了龋齿的风险。此时,牙齿可能会出现一些早期的脱矿现象,在图片上表现为牙齿表面的颜色不均匀。及时查看成年初期龋齿的图片,有助于我们在这个阶段预防和治疗龋齿。

如何通过图片识别龋齿早期警示信号
有了丰富的龋齿早期症状图片,我们该如何识别其中的警示信号呢?首先,要注意观察牙齿表面的颜色变化。如果发现牙齿表面有白色、黄褐色、黑色或褐色的斑点,就要警惕可能是龋齿的早期表现。其次,看牙齿表面是否有龋洞或小坑。即使这些龋洞特别小,也不能忽视。
还要注意牙齿的光泽度。正常牙齿有一定的光泽,而龋齿早期的牙齿光泽度会降低。同时,结合自己的口腔感受,如果在吃冷热酸甜食物时有敏感或不适的感觉,再对照图片,就更能正确地判断是否有龋齿。
回到更初的问题,龋齿早期症状图片:你能识别出这些警示信号吗?通过本文提供的各种类型的龋齿早期症状图片,相信大家对龋齿早期的警示信号有了更清晰的认识。及时识别这些信号,对于预防和治疗龋齿非常重要。建议大家定期查看自己的牙齿,对照这些图片,关注口腔健康。如果发现有疑似龋齿的症状,应及时就医。希望大家都能拥有健康的口腔。

发表评论 取消回复