你是否好奇龋齿是什么样子的?其实,通过查看龋齿是什么样子的图片,能让我们更直观地了解这种常见的口腔问题。不同年龄段、不同程度、不同部位的龋齿,样子都有所不同。接下来,就让我们一起通过各类图片,揭开龋齿的神秘面纱,探寻牙齿健康的真相。

不同年龄段的龋齿模样
不同年龄段的人群,牙齿状况和龋齿表现都存在差异。查看不同年龄段的龋齿是什么样子的图片,能让我们更有针对性地关注自身或家人的牙齿健康。
儿童时期,牙齿正处于生长发育阶段,容易受到龋齿的侵袭。从儿童龋齿是什么样子的图片中可以看到,早期可能只是牙齿表面出现小黑点,随着时间推移,黑点会逐渐扩大,形成龋洞。儿童大牙龋齿、恒牙龋齿等情况也较为常见,重度时甚至会影响到牙齿的正常功能。幼儿龋齿的图片则更能体现出低龄儿童牙齿的特点,比如宝宝门牙缝龋齿、奶瓶龋齿等。奶瓶龋齿早期,门牙可能会出现白色斑点,随后逐渐变黑、缺损,重度的两岁宝宝门牙龋齿甚至会烂到牙根。
到了成年阶段,成人龋齿同样不容忽视。成人门牙的龋齿图片显示,门牙上的龋洞会影响美观,给患者带来心理压力。成人龋齿早期,可能只是牙齿表面的轻微脱矿,不易察觉,但随着病情发展,龋洞会越来越深,疼痛也会加剧。
不同程度的龋齿表现
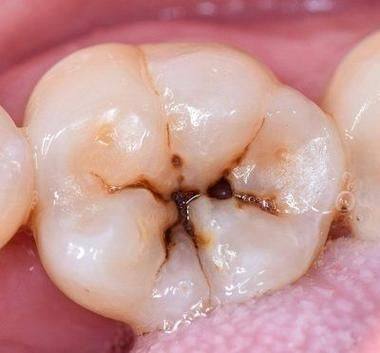
龋齿根据重度程度可分为轻度、中度、重度等不同阶段。了解不同程度龋齿是什么样子的图片,有助于我们及时发现龋齿,并采取相应的治疗措施。
轻度龋齿的图片中,牙齿表面可能只是出现一些轻微的变色,如白色或黄褐色斑点。这个阶段的龋齿通常没有明显的症状,特别容易被忽视。但如果不及时治疗,就会发展为中度龋齿。从大人中龋齿图片、大牙中龋齿图片可以看出,中度龋齿的龋洞已经比较明显,牙齿可能会对冷热酸甜等刺激产生敏感反应。
重度龋齿的情况就比较重度了。重度龋齿牙特别尖图片、重度龋齿疼痛图片展示了牙齿重度受损的状态,龋洞深大,甚至可能露出牙髓,患者会感到剧烈疼痛。深度龋齿的图片则更能体现出龋齿对牙齿内部结构的破坏,大牙深度龋齿可能会导致牙髓感染,引发牙髓炎等疾病。浅度龋齿和深度龋齿图片对比,可以让我们更清晰地看到不同程度龋齿的差异。

不同部位的龋齿特征
牙齿的不同部位都可能发生龋齿,每个部位的龋齿样子也各有特点。查看不同部位龋齿是什么样子的图片,能帮助我们更正确地判断自己的牙齿问题。
门牙龋齿图片显示,门牙上的龋洞会直接影响美观。门牙龋齿初期,可能只是表面的小龋洞,随着病情发展,龋洞会逐渐扩大,重度的门牙重度龋齿会导致门牙缺损,影响发音和咀嚼功能。门牙龋齿龋洞修补图片、门牙龋齿怎么补图片等,则能让我们了解门牙龋齿的治疗过程。
大牙龋齿也是常见的情况。左下大牙龋齿图片、大牙龋齿图片可以看到,大牙上的龋洞通常比较隐蔽,不易发现。牙根部龋齿图片和牙齿侧面龋齿图片则展示了这些特殊部位龋齿的特点,牙根部龋齿可能会导致牙齿松动,牙齿侧面龋齿则容易被忽视。
龋齿的形成与治疗相关图片
除了了解龋齿本身的样子,龋齿形成相关图片和龋齿治疗相关图片也能让我们对龋齿有更全方面的认识。
从龋齿的形成图片、龋齿形成过程图片中,我们可以看到,龋齿的形成是一个逐渐发展的过程。主要是由于口腔中的细菌利用食物残渣产生酸性物质,腐蚀牙齿表面的珐琅质,进而形成龋洞。儿童龋齿形成的图片更能体现出儿童牙齿的特殊性,提醒家长要关注孩子的口腔卫生。
龋齿治疗相关图片则展示了龋齿的治疗方法。龋齿补牙图片、龋齿修复前后图片大全等,可以让我们看到治疗前后牙齿的变化。龋齿充填图片、儿童龋齿的治疗图片等,详细介绍了治疗的过程。了解这些图片,能让我们在面对龋齿时,更加从容地选择合适的治疗方法。

龋齿其他相关图片
还有一些龋齿其他相关图片,也能帮助我们更好地了解龋齿。
龋齿整体相关图片,如龋齿的图片、口腔龋齿图片等,能让我们对龋齿有一个整体的认识。龋齿对比图片,如龋齿和蛀牙图片对比,可以让我们更清晰地了解两者的区别。特殊类型龋齿图片,如猖獗性龋齿图片、奶嘴性龋齿图片等,展示了一些特殊类型龋齿的特点。
通过查看各种龋齿是什么样子的图片,我们对龋齿有了更直观、更全方面的认识。这不仅能帮助我们及时发现自己或家人的牙齿问题,还能让我们更加重视口腔健康。如果你发现自己或家人有类似龋齿的症状,建议及时就医,采取相应的治疗措施。同时,要养成良好的口腔卫生习惯,定期进行口腔检查,预防龋齿的发生。希望大家都能拥有健康美丽的牙齿!

发表评论 取消回复