你是否好奇“龋齿是什么意思”?其实,龋齿就是我们常说的“虫牙”“蛀牙”,它是牙齿健康的一大隐患。这种牙齿硬组织的慢性破坏性疾病,会在不知不觉中影响我们的口腔健康。本文将为你详细揭秘龋齿的成因、症状、预防和治疗等方面的技巧,让你对龋齿有更深入的了解,从而更好地保护自己和家人的牙齿健康。

龋齿是什么意思:基本定义
龋齿,简单来说,是指牙齿硬组织在细菌作用下发生的一种慢性破坏性疾病。特别多人小时候可能听长辈说牙齿里长了虫子,所以才叫“虫牙”,但实际上并没有虫子,只是一种形象的说法,它的学名是龋齿。从专精角度讲,它是牙齿硬组织脱矿与再矿化动态平衡被打破的结果。正常情况下,牙齿硬组织处于脱矿和再矿化的动态平衡中,但当某些因素打破这种平衡,脱矿大于再矿化时,就会逐渐形成龋齿。

龋齿是怎么形成的
龋齿的形成主要由细菌、食物、宿主和时间等因素共同作用而成。口腔中存在着大量细菌,尤其是链球菌,它们可是导致龋齿的“罪魁祸首”。当我们进食后,食物残渣会留在口腔里,特别是那些含糖的食物,就成了细菌的“美餐”。细菌利用食物残渣中的糖分进行代谢,产生酸性物质。这些酸性物质就像“小恶魔”一样,不断腐蚀牙齿的硬组织。如果这种情况持续特别长时间,牙齿表面的硬组织就会逐渐被破坏,更终形成龋洞。比如,有些人喜欢吃糖果、喝甜饮料,又不注意口腔卫生,就更容易患上龋齿。

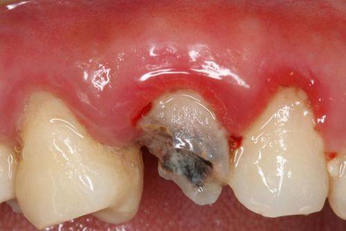
龋齿有哪些症状
龋齿的症状表现多样,不同阶段有不同的表现。在早期,可能没有明显感觉,特别多人都不知道自己已经有龋齿了。但随着病情的发展,牙齿可能会出现一些变化。比如,牙齿表面可能会变得粗糙,颜色也会发生改变,可能会出现白色或棕色的斑点。当龋齿进一步发展,接近牙神经时,就会出现牙齿疼痛、敏感的症状。吃冷热酸甜的食物时,牙齿会有酸痛感,这时候特别多人就会意识到牙齿出问题了。如果还不及时治疗,病情会更加重度,可能会出现自发痛,就是牙齿在没有外界刺激的情况下也会疼痛,让人坐立不安。

如何预防龋齿
预防龋齿其实并不难,关键是要养成良好的口腔卫生习惯。首先,每天至少要刷牙两次,早上起床后和晚上睡觉前各刷一次。刷牙时要注意方法,要把牙齿的各个面都刷到,每次刷牙时间不少于三分钟。除了刷牙,使用牙线清洁牙缝也特别重要。因为牙刷只能清洁牙齿表面,牙缝里的食物残渣和细菌特别难清理干净,而牙线可以深入牙缝,把这些“隐藏的敌人”清除掉。另外,定期进行口腔检查也必不可少。建议每半年到一年去看一次牙医,让专精的医生检查牙齿,及时发现潜在的问题并进行处理。
在饮食方面,要注意合理饮食,减少含糖食物的摄入。糖果、巧克力、甜饮料等含糖量高的食物要尽量少吃。可以多吃一些富含纤维的食物,如蔬菜、水果等,这些食物在咀嚼过程中可以起到清洁牙齿的作用。同时,要注意控制进食的频率,不要一会儿吃一点东西,这样会让牙齿长时间处于酸性环境中,增加患龋齿的风险。

龋齿的治疗方法
如果不幸患上了龋齿,也不用过于担心,现在有特别多治疗方法。治疗方法的选择主要根据龋坏的程度来决定。如果龋坏程度比较轻,只是牙齿表面有一些小龋洞,还没有波及牙神经,一般可以采用补牙的方法。医生会先把龋洞内的腐质去除干净,然后用补牙材料把龋洞填充起来,修复牙齿的外形和功能。
如果龋坏比较重度,已经波及牙神经,引起了牙髓炎,就需要进行根管治疗。根管治疗是一种比较复杂的治疗方法,需要多次就诊。医生会先打开牙髓腔,去除感染的牙髓组织,然后对根管进行清理、消毒,末尾再用填充材料把根管填充起来。根管治疗后,一般还需要做一个牙冠来保护牙齿,防止牙齿劈裂。
如果龋坏非常重度,牙齿已经无法保留,可能就需要拔除牙齿了。拔牙后,为了修复牙齿的咀嚼功能,可能需要进行牙齿修复,如种植牙、镶牙等。
现在你应该对“龋齿是什么意思”有了更清楚的了解了吧。龋齿虽然是一种常见的口腔疾病,但如果不重视,会给我们的牙齿健康带来较大的危害。通过养成良好的口腔卫生习惯、合理饮食和定期口腔检查,我们可以有效预防龋齿的发生。如果不幸患上了龋齿,也不要害怕,及时就医,选择合适的治疗方法,就能让我们的牙齿重新修复健康。希望大家都能拥有一口洁白健康的牙齿,享受美好的生活!

发表评论 取消回复