特别多人都关心修复龋齿大概多少钱啊。其实修复龋齿的费用不能一概而论,要根据具体情况判断。不同程度的龋坏,治疗方式有别,费用也相差较大。从单纯小龋齿到龋坏重度涉及牙髓问题,花费可能从几十元到数千元不等。接下来就为大家详细分析不同情况的修复费用,让你清楚了解修复龋齿的开销。
单纯小龋齿的修复费用
如果你的龋齿只是单纯的小龋坏,那情况相对简单,通常只需要一次治疗就能解决。不过其修复费用会因选择的充填材料不同而有所差别。常见的充填材料有玻璃离子和光化树脂。玻璃离子是一种较为传统的充填材料,它的价格相对亲民,一般费用在几十元到一百多元。这种材料的优点是对牙齿有一定的防龋作用,但它的强度和美观度相对较弱。
光化树脂则是目前应用较为广泛的一种充填材料,它的材料种类丰富。光化树脂的价格跨度较大,从几十元到几百元都有。一些普通的光化树脂材料价格大概在几十元到一百多元,而一些进口的、性能更好的光化树脂材料价格可能会达到几百元。光化树脂的优点是颜色与牙齿较为接近,美观度高,而且强度也比较好,但价格相对玻璃离子会高一些。所以,对于单纯小龋齿,大家可以根据自己的预算和需求来选择合适的充填材料。

龋坏较深时的费用情况
当龋坏较深时,治疗就不像单纯小龋齿那么简单了。这种情况下,牙齿内部的龋坏组织可能比较多,医生需要更仔细地清理龋坏部分,而且可能还需要对牙齿进行一些特殊的处理,比如垫底等。由于治疗过程相对复杂,可能需要多次复诊和治疗。通常一次可能无法完成整个治疗,需要分多次进行,每次复诊都会产生一定的费用。
另外,龋坏较深时选择的充填材料可能也会有所不同,一般会选择质量更好、更耐用的材料,这也会导致费用增加。相比单纯小龋齿,龋坏较深时的修复费用会相对较高,可能从几百元到上千元不等,具体的费用要根据龋坏的程度以及治疗的复杂程度来确定。所以,如果发现龋齿要尽早治疗,避免龋坏加深,增加治疗费用和痛苦。

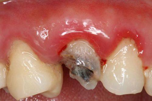
龋坏深且涉及牙髓问题的费用
要是龋坏深且已经涉及到牙髓问题,那就比较重度了。此时一般需要进行根管治疗。根管治疗是一种较为复杂的治疗方法,它需要多次就诊,一般要就诊3 - 4次左右,每次就诊的费用包括检查费、治疗费、药费等。整个根管治疗的费用会因牙齿的部位不同而有所差别,前牙的根管治疗费用相对较低,大概在几百元到一千多元;后牙的根管治疗费用相对较高,可能在一千多元到三千多元不等。
根管治疗完成后,由于牙齿失去了牙髓的营养供应,会变得比较脆弱,后期可能还需要进行冠修复。冠修复就是给牙齿戴上一个“牙套”来保护牙齿,冠修复的材料也有多种选择,如烤瓷冠、全瓷冠等。烤瓷冠的价格一般在几百元到一千多元不等,全瓷冠的价格相对较高,可能在一千多元到三千多元不等。所以,龋坏深且涉及牙髓问题时,总的修复费用会比较多,可能要几千元。

影响修复龋齿费用的其他因素
除了龋坏的程度和治疗方式会影响修复龋齿的费用外,还有其他一些因素也会对费用产生影响。首先是地域因素,不同地区的经济发展水平不同,物价也有差异。在一些一线城市,由于生活成本高、医疗资源相对紧张,修复龋齿的费用可能会比二三线城市要高一些。比如在上海、北京等大城市,单纯小龋齿用光化树脂充填的费用可能会比一些小城市高出几十元甚至上百元。
其次是医院的等级和性质,一般来说,大型的三等甲医院收费会相对高一些,因为这些医院的医疗设备更精良、医生的技术水平也相对较高。而一些小型的口腔诊所收费可能会低一些,但在选择口腔诊所时,一定要注意其卫生条件和医生的资质。另外,医生的经验和有名度也会影响费用,经验多、有名度高的医生收费可能会比普通医生高一些。

如何合理控制修复龋齿的费用
为了合理控制修复龋齿的费用,大家可以从以下几个方面入手。首先,要养成良好的口腔卫生习惯,每天早晚正确刷牙,使用牙线等清洁工具,定期进行口腔检查。这样可以及时发现龋齿,在龋坏还比较小的时候就进行治疗,避免龋坏加深,从而降低治疗费用。其次,在选择治疗医院和医生时,要综合考虑。可以多了解几家医院的收费情况和医生的口碑,选择性价比高的医院和医生。但也不要只看价格,忽略了治疗的质量。
另外,在选择充填材料和修复方式时,要根据自己的实际情况和医生的建议来选择。不要盲目追求高端材料和起初进的修复方式,适合自己的才是更好的。如果经济条件有限,可以选择一些性价比高的材料和修复方式。总之,通过这些方法可以在确保治疗成效的前提下,合理控制修复龋齿的费用。
看完以上内容,相信大家对修复龋齿大概多少钱啊这个问题已经有了比较清晰的认识。修复龋齿的费用受多种因素影响,从单纯小龋齿到龋坏重度涉及牙髓问题,费用差别较大。大家可以根据自己的龋坏情况、经济实力等因素,综合考虑选择合适的治疗方案和材料。同时,一定要重视口腔健康,定期检查,早发现早治疗,这样既能减少痛苦,又能降低治疗费用。希望大家都能拥有健康美丽的牙齿!

发表评论 取消回复