在口腔修复领域,全瓷牙是一种常见的修复方式,但特别多人会疑惑全瓷牙为什么不建议做。其实,全瓷牙虽然有美观、生物相容性好等优点,但也存在一些隐患和风险。本文将从术后不适、美观成效、经济压力等多个维度为大家详细分析,让大家全方面了解全瓷牙的利弊,从而在面对牙齿修复选择时能做出更合适的决策。

术后不适:敏感与咬合问题并存
全瓷牙安装后,术后不适是较为常见的问题。首先是术后敏感,在进行牙体预备时,医生需要切削牙釉质,这就会导致牙本质暴露。一旦牙本质暴露,牙齿就会变得敏感,当受到冷热刺激时,可能会引发短暂的酸痛感。尽管这种酸痛感通常在1 - 2周内会逐渐适应,但在这期间,患者还是会感觉不太舒服。
其次是咬合问题。如果医生在调试修复体形态时不够精细,就容易造成咬合问题。这种咬合问题如果长期存在,可能会诱发颞下颌关节紊乱。想象一下,每天吃饭、说话都因为牙齿咬合不正常而受到影响,时间长了,颞下颌关节也会不堪重负,出现疼痛、弹响等症状,给患者带来更多的困扰。所以,全瓷牙为什么不建议做,术后不适就是一个重要原因。

美观成效:难以达到理想预期
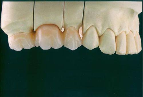
特别多患者选择全瓷牙,较大一部分原因是看中了它的美观性。他们希望全瓷牙的透光性和色泽能与天然牙理想匹配,达到以假乱真的成效。然而,现实往往不尽如人意。全瓷牙的实际美观成效会受到基牙底色的影响,特别可能出现色差。
比如,有些患者的基牙颜色较深,即使安装了全瓷牙,也特别难完全掩盖基牙的底色,从而导致全瓷牙与天然牙之间存在明显的颜色差异。这样一来,就难以达到患者理想中的美观成效。对于那些对牙齿美观度要求较高的患者来说,这种色差可能会让他们感到失望,这也是全瓷牙不被建议的一个因素。
经济压力:价格偏高带来负担
全瓷牙的价格显著高于金属烤瓷牙。对于一些患者来说,如果在选择全瓷牙之前,没有充分了解材料的特性和性价比,就可能会因为经济压力而产生后悔心理。
在口腔修复市场中,全瓷牙的制作工艺相对复杂,材料成本也较高,所以价格自然也就更贵。有些患者可能只是单纯地认为全瓷牙更好,而没有考虑到自己的经济实力,盲目选择了全瓷牙。当支付费用时,才发现超出了自己的预算,给自己带来了经济上的负担。所以,从经济角度考虑,全瓷牙为什么不建议做就有了合理的解释。
医生技术:操作不当引发问题
医生的技术水平对于全瓷牙的修复成效至关重要。如果医生操作不规范,就会导致一系列问题。比如,边缘密合度差,全瓷牙与牙齿之间的缝隙过大,食物残渣就容易嵌塞在里面,久而久之就可能引发继发龋。

另外,粘接剂残留也是一个常见的问题。如果粘接剂没有清理干净,残留在牙龈周围,就可能刺激牙龈,引发牙龈炎症。牙龈炎症不仅会导致牙龈红肿、出血,还会影响全瓷牙的使用寿命。因此,医生技术不过关也是全瓷牙不被建议的一个重要因素。
适应症问题:特定情况不适合
并非所有患者都适合做全瓷牙。极少数患者由于牙周状况不佳,比如患有牙周炎,牙齿的支持组织已经受到了破坏,此时做全瓷牙可能会加速修复体的折裂风险。
还有一些有磨牙症的患者,他们在夜间睡觉时会不自觉地磨牙,这种过大的咬合力会对全瓷牙造成较大的压力,增加全瓷牙折裂的可能性。如果在做全瓷牙之前,没有严格筛查适应症,就可能会出现这些问题,影响修复成效。所以,对于这部分患者来说,全瓷牙并不是一个好的选择,这也是全瓷牙为什么不建议做的原因之一。

其他缺点:牙体损伤与折裂风险
做全瓷牙需要磨除一定量的牙体组织,这对牙齿是有一定损伤的。牙齿的牙釉质是保护牙齿的重要屏障,磨除牙釉质后,牙齿的抵抗力会下降,更容易受到外界因素的影响。
而且,在使用过程中,全瓷牙存在折裂的风险。特别是在咬合力较大,比如啃咬硬物,或者受到外力撞击时,全瓷牙更容易出现折裂的情况。一旦全瓷牙折裂,就需要重新进行修复,这不仅会增加患者的痛苦,还会增加经济成本。
综上所述,全瓷牙虽然有其优点,但也存在术后不适、美观成效不理想、经济压力大、医生技术要求高、适应症受限以及牙体损伤和折裂风险等隐患和风险。这就是全瓷牙为什么不建议做的原因。在考虑是否选择全瓷牙时,患者应该充分了解这些情况,结合自己的口腔状况、经济实力等因素,与医生进行充分沟通,做出更适合自己的决策。如果对全瓷牙还有其他疑问,建议及时询问专精的口腔医生。

发表评论 取消回复