全瓷牙寿命一般多少年?这是特别多想要做全瓷牙的患者都关心的问题。全瓷牙能让牙齿变得美观整齐,但它的使用寿命却受多种因素影响。了解全瓷牙寿命相关知识,不仅能帮助大家在做选择时更有依据,还能让大家知道如何维护全瓷牙,延长它的使用时间。接下来,我们就一起深入揭秘持久美齿的秘密。

全瓷牙寿命一般范围
一般来说,全瓷牙的使用寿命在10年以上。不过,这个时间并不是完全地的,具体使用时间因人而异,会受到多种因素的影响。有些患者的全瓷牙可能使用了10多年还完好无损,而有些患者的全瓷牙可能不到10年就出现了问题。所以,不能简单地给出一个确切的全瓷牙使用年限。

影响全瓷牙使用寿命的因素
牙齿本身情况
牙齿本身的健康状况对全瓷牙的使用寿命影响较大。如果牙齿健康状况良好,没有龋齿、牙髓炎等问题,那么全瓷牙的使用寿命可能会更长。因为健康的牙齿能为全瓷牙提供稳定的支撑,就像房子有了坚固的地基一样。相反,如果牙齿本身存在问题,比如有龋齿没有及时治疗,可能会影响全瓷牙与牙齿的贴合度,从而缩短全瓷牙的使用寿命。
全瓷牙材料和质量
不同材料的全瓷牙,其性能和质量也不同,这会导致它们的使用寿命存在差异。市场上全瓷牙材料有多种,质量也参差不齐。质量好的全瓷牙材料,其硬度、耐磨性等性能都比较好,能更好地抵抗日常咀嚼的磨损,使用寿命相对也会更长。而质量较差的全瓷牙,可能容易出现崩瓷、变色等问题,使用时间就会缩短。
医生技术水平
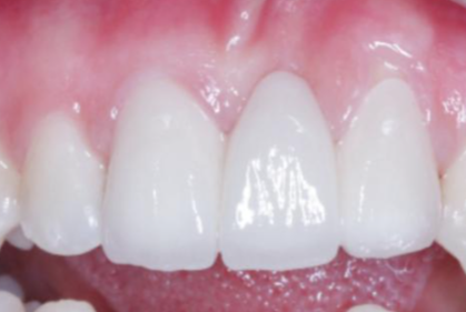
医生的技术水平和经验对全瓷牙的制作和安装质量影响较大。一个经验多、技术不错的医生,在制作全瓷牙时能更好地把握牙齿的形态、颜色和咬合关系,安装时也能确保全瓷牙与牙齿的贴合度。这样安装的全瓷牙使用起来会更加舒适,使用寿命也会更长。相反,如果医生技术不过关,全瓷牙可能会出现安装不牢固、咬合不良等问题,从而影响其使用寿命。
患者使用和维护
患者对全瓷牙的使用和维护情况也会影响其使用寿命。正确使用和维护全瓷牙,比如定期洗牙、避免咬硬物等,能延长全瓷牙的使用寿命。定期洗牙可以清除牙齿表面的污垢和细菌,保持口腔卫生,减少对全瓷牙的腐蚀。而咬硬物可能会导致全瓷牙崩瓷或损坏,所以要尽量避免。
口腔健康状况
口腔健康状况也会对全瓷牙的使用寿命产生影响。如果患者有牙龈炎、牙周炎等口腔疾病,可能会导致牙龈萎缩、牙槽骨吸收等问题,从而影响全瓷牙的稳定性,缩短其使用寿命。所以,保持口腔健康对于全瓷牙的长期使用非常重要。

延长全瓷牙使用寿命的方法
注意口腔卫生
保持良好的口腔卫生是延长全瓷牙使用寿命的关键。每天要按时刷牙,使用正确的刷牙方法,确保牙齿的每个面都能得到清洁。同时,还可以使用牙线、漱口水等辅助清洁口腔,减少细菌滋生。
定期复诊
全瓷牙使用寿命不固定,患者需要定期复诊,检查全瓷牙的使用情况。医生可以通过专精的检查,及时发现全瓷牙存在的问题,并进行处理。一般建议每隔半年到一年复诊一次。
避免不良习惯
要避免咬硬物、用牙齿开瓶盖等不良习惯,这些行为可能会对全瓷牙造成损伤。同时,也要注意避免吃过冷或过热的食物,以免引起全瓷牙的热胀冷缩,影响其使用寿命。

全瓷牙寿命实例分析
为了让大家更好地了解全瓷牙的使用寿命,下面给大家分享几个实际实例。实例一:张女士在10年前做了全瓷牙,她平时非常注意口腔卫生,定期洗牙,也从不咬硬物。到现在,她的全瓷牙依然完好无损,使用起来也特别正常。实例二:李先生做全瓷牙后,没有注意口腔卫生,还经常咬硬物,结果不到5年,全瓷牙就出现了崩瓷的情况。从这两个实例可以看出,正确的使用和维护对全瓷牙的使用寿命影响较大。
总结与建议
全瓷牙寿命一般多少年并没有一个固定的答案,它受牙齿本身情况、全瓷牙材料和质量、医生技术水平、患者使用和维护以及口腔健康状况等多种因素影响。为了延长全瓷牙的使用寿命,患者要选择质量好的全瓷牙材料,找经验多的医生进行安装,同时注意口腔卫生,定期复诊,避免不良习惯。如果你正在考虑做全瓷牙,希望通过本文的介绍,你能对全瓷牙的寿命有更清晰的认识,做出更合适的决策。记住,正确的使用和维护是让全瓷牙陪伴你更久的关键。

发表评论 取消回复