在口腔修复领域,全瓷牙冠是不少患者的选择,但全瓷牙冠价格却让特别多人摸不着头脑。2026年全瓷牙冠的价格到底如何?又该怎么选呢?本文将为你详细揭秘全瓷牙冠价格,提供全新费用一览和实用的选择指南,让你在选择全瓷牙冠时心里有数,不再被价格和质量问题困扰。
全瓷牙冠价格现状
目前全瓷牙冠市场价格差异较大。小诊所的全瓷牙冠价格通常较低,一颗大概600元。而优质全瓷牙冠一般采用进口材料,价格相对较高。这种价格差异背后,其实隐藏着特别多影响因素。
低价的全瓷牙冠可能在材料、工艺、医生技术等方面存在不足。而高价的全瓷牙冠,往往在各方面都有更好的保护。所以,不能单纯以价格来判断全瓷牙冠的好坏,需要综合多方面因素来考量。

低价全瓷牙冠的潜在风险
材料质量堪忧
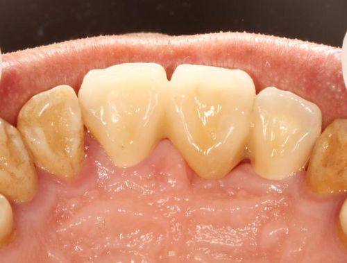
价格远低于市场均价的全瓷牙冠,特别可能使用的是国产或低档材料。这些材料的牙冠强度不够,容易出现破损;色泽也不够自然,可能会影响美观;而且生物相容性不足,容易引起牙龈不适等问题。
加工工艺欠佳
小诊所由于技术力量和设备有限,制作牙冠的贴合度和美观度可能不如大型口腔机构。牙冠贴合度不好,容易导致食物残渣堆积,引发龋齿等问题;美观度不足,也会影响个人形象。
医生技术有限
医生技术水平不高,会影响牙冠的牢固度和舒适度。如果牙冠安装不牢固,容易脱落;佩戴不舒适,还会影响日常生活。而且,技术不好还可能影响后续牙龈健康,增加牙龈发炎等问题的风险。
售后保护不足
小诊所的售后服务有限。一旦牙冠出现脱落、破损等问题,维护和更换会特别不方便,还可能需要额外支付费用,增加后续治疗成本。
感染控制问题
小诊所的消毒和无菌操作不如大型医院规范,这就增加了交叉感染的风险。在口腔治疗中,感染问题不容忽视,可能会引发更重度的口腔疾病。

影响全瓷牙冠价格的因素
材料因素
材料是影响全瓷牙冠价格的重要因素。进口材料通常质量更好,价格也更高。不同品牌和种类的材料,价格差异也较大。比如,一些高端的进口全瓷材料,其强度、色泽和生物相容性都非常好,价格自然就会贵一些。
医生技术
经验多、技术不错的医生,收费会相对较高。因为他们能够更好地确保牙冠的安装质量和成效,减少后续问题的发生。所以,选择医生时,不能只看价格,还要考虑医生的资质和经验。
地区差异
不同地区的全瓷牙冠价格也有所不同。一般来说,一线城市的价格会比二三线城市高一些,这主要是因为一线城市的物价水平、房租成本等较高。
医院级别
大型口腔医院和专精口腔机构的价格通常会比小诊所高。这是因为大型医院在设备、技术、服务等方面都更有优势,能够提供更优质的治疗体验。

全瓷牙冠价格选择建议
在选择全瓷牙冠时,不能只盯着价格。首先要考察材料来源,了解材料的品牌、质量和性能。尽量选择质量可靠、有保护的材料。
其次,要关注医生资质。选择经验多、口碑好的医生,他们能够更好地为你安装牙冠,确保治疗成效。
还要考察加工工艺。可以了解医院或诊所的设备和技术水平,看看他们制作的牙冠贴合度和美观度如何。
另外,卫生条件和售后服务也特别重要。选择消毒规范、售后服务完善的机构,这样在治疗后遇到问题能够及时得到解决。

2026年全瓷牙冠价格参考
虽然全瓷牙冠价格受多种因素影响,但我们还是可以给出一个大致的参考范围。小诊所的低价全瓷牙冠可能在600 - 1500元/颗;普通口腔机构的全瓷牙冠价格大概在1500 - 3000元/颗;而大型口腔医院或采用进口优质材料的全瓷牙冠,价格可能在3000 - 8000元/颗甚至更高。
需要注意的是,这只是一个大致的参考,具体价格还需要根据实际情况来确定。在选择时,一定要综合考虑各方面因素,不要盲目追求低价或高价。
总之,全瓷牙冠价格揭秘:2026年全新费用一览与选择指南为大家提供了全方面的信息。在选择全瓷牙冠时,要综合考虑材料、医生、工艺、售后等多方面因素,不要只看价格。希望大家都能选择到适合自己的全瓷牙冠,拥有健康美丽的牙齿。如果你还有其他关于全瓷牙冠价格或选择的问题,欢迎随时询问专精的口腔医生。

发表评论 取消回复