在追求口腔健康与美观的道路上,牙冠修复是特别多人的选择。而400元一颗的全瓷牙冠,凭借其独特的优势,成为了口腔健康的新选择。本文将深入探讨选择400元一颗的全瓷牙冠的原因,为您的口腔修复提供有价值的参考,让您在众多牙冠产品中做出更合适的决策。

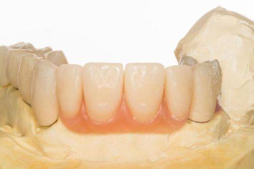
400元一颗的全瓷牙冠的材质与特性
全瓷牙冠,从材质上来说,主要由陶瓷材料制成。这种材料有着诸多优点,对于400元一颗的全瓷牙冠而言,它虽然价格亲民,但在材质特性上并不逊色。
首先,全瓷牙冠具有良好的生物相容性。这意味着它与口腔组织能够良好地融合,特别少会引起过敏反应,大大降低了患者佩戴过程中的不适感。对于那些口腔较为敏感的患者来说,400元一颗的全瓷牙冠是一个不错的选择。
其次,它的美观度极高。全瓷牙冠的颜色和透明度与天然牙齿非常接近,几乎可以达到以假乱真的成效。在社交场合中,佩戴400元一颗的全瓷牙冠,别人特别难察觉您的牙齿做过修复,让您自信绽放笑容。
再者,全瓷牙冠不含有金属成分,不会对核磁共振等检查产生干扰。这对于需要经常进行此类检查的患者来说,避免了特别多麻烦。

400元一颗的全瓷牙冠的价格优势
价格是特别多患者在选择牙冠时非常关注的因素。与市场上其他牙冠相比,400元一颗的全瓷牙冠具有明显的价格优势。
一些高端的全瓷牙冠,由于品牌、材质等因素,价格可能会高达数千元一颗。而400元一颗的全瓷牙冠,在确保基本性能的前提下,为患者节省了大量的费用。对于普通家庭来说,这种性价比较高的牙冠更容易接受。
同时,对于那些需要多颗牙冠修复的患者来说,400元一颗的全瓷牙冠能够大大降低整体的治疗成本。这使得更多的患者能够负担得起牙冠修复治疗,从而改善口腔健康状况。

400元一颗的全瓷牙冠的适用人群
400元一颗的全瓷牙冠适合多种人群。
对于年轻患者来说,他们通常更加注重牙齿的美观度。400元一颗的全瓷牙冠美观自然,能够满足他们在社交和工作中的形象需求。而且,年轻患者的口腔状况相对较好,全瓷牙冠的生物相容性也能更好地适应他们的口腔环境。
中老年人也是适用人群之一。随着年龄的增长,牙齿容易出现磨损、缺失等问题。400元一颗的全瓷牙冠价格实惠,能够帮助中老年人修复牙齿的咀嚼功能,提高生活质量。
此外,对于那些对价格较为敏感,但又希望获得较好口腔修复成效的患者来说,400元一颗的全瓷牙冠无疑是一个理想的选择。

400元一颗的全瓷牙冠的安装与维护
400元一颗的全瓷牙冠的安装过程相对简单。一般来说,医生会先对患者的牙齿进行打磨和预备,然后取牙齿模型,定制合适的全瓷牙冠。在牙冠制作完成后,医生会将其安装到患者的牙齿上,并进行适当的调整,确保牙冠的舒适度和咬合功能。
在维护方面,患者需要注意口腔卫生。每天早晚要认真刷牙,使用牙线清洁牙缝,定期到口腔医院进行检查和清洁。只要做好日常的维护工作,400元一颗的全瓷牙冠可以使用较长的时间。

400元一颗的全瓷牙冠的市场反馈与口碑
从市场反馈来看,400元一颗的全瓷牙冠受到了特别多患者的好评。特别多患者表示,这种牙冠在美观度和舒适度上都能满足他们的需求,而且价格实惠,性价比特别高。
一些口腔医生也对400元一颗的全瓷牙冠给予了肯定。他们认为,虽然价格相对较低,但在质量和性能上并不差,能够为患者提供有效的口腔修复解决方案。
当然,也有部分患者可能会担心价格较低的全瓷牙冠质量问题。在这里需要提醒大家,在选择口腔医院和医生时,一定要选择正规、专精的机构,确保所使用的400元一颗的全瓷牙冠质量可靠。
综上所述,400元一颗的全瓷牙冠凭借其良好的材质特性、显著的价格优势、广泛的适用人群、相对简单的安装维护以及不错的市场口碑,成为了口腔健康的新选择。如果您正在为牙冠修复而烦恼,不妨考虑一下400元一颗的全瓷牙冠。不过,在做出决策之前,建议您询问专精的口腔医生,根据自己的口腔状况和经济实力做出合适的选择。相信在专精医生的指导下,400元一颗的全瓷牙冠能够为您带来满意的口腔修复成效。

发表评论 取消回复