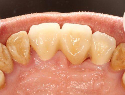
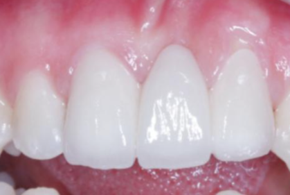
特别多人都关心全瓷牙套的寿命是几年,毕竟这关乎到美牙成效的持久性和后续的花费。全瓷牙一般能使用 8 - 15 年,但实际情况会受多种因素影响。了解这些因素,就能更好地维护全瓷牙套,延长它的使用寿命,实现持久美牙。接下来,我们就一起深入揭秘全瓷牙套寿命的相关秘密。

全瓷牙套的一般使用寿命
全瓷牙套在口腔修复中特别受欢迎,它美观、耐用。通常情况下,全瓷牙的使用寿命在 8 - 15 年。不过这只是一个大致范围,不同人的全瓷牙套使用时间会有较大差异。有些患者的全瓷牙套可能用了不到 8 年就出现问题,而有些患者则能使用超过 15 年。所以,全瓷牙套的寿命是几年并没有一个确切答案,而是受多种因素影响。
影响全瓷牙套寿命的材料因素
全瓷牙套有不同的材料类型,常见的有氧化锆全瓷牙和玻璃陶瓷全瓷牙。氧化锆全瓷牙的耐磨性非常好,就像一个坚固的小盾牌,能抵抗日常咀嚼的磨损。但它的透光性稍差一些,在美观度上可能会稍有不足。玻璃陶瓷全瓷牙则相反,它的透光性良好,做出来的牙齿和真牙特别像,美观度高,但耐磨性不如氧化锆全瓷牙。不同材料的抗折强度也不一样,抗折强度高的材料更不容易损坏,使用寿命也就可能更长。所以在选择全瓷牙套材料时,要根据自己的实际需求和口腔情况,综合考虑耐磨性、透光性和抗折强度等因素,这对全瓷牙套的寿命影响较大。

口腔护理对全瓷牙套寿命的影响
良好的口腔护理是延长全瓷牙套寿命的关键。定期去医院洁牙特别重要,专精的洁牙可以清除牙齿表面和牙缝里的牙结石和菌斑,减少继发龋和牙龈炎症的发生。正确使用牙线也是必不可少的,它能清洁牙刷刷不到的地方,保持口腔卫生。建议每年进行 1 - 2 次专精口腔检查,医生可以及时发现全瓷牙套和基牙的问题,并进行处理,维护修复体的健康。如果不注意口腔护理,牙齿周围容易滋生细菌,引发炎症,可能会导致全瓷牙套松动或损坏,大大缩短它的使用寿命。

咬合习惯与全瓷牙套寿命
咬合习惯对全瓷牙套的寿命也有较大影响。有些人有长期啃咬硬物的习惯,比如喜欢啃骨头、咬核桃等,这样会给全瓷牙套带来较大的压力,容易导致瓷层微裂。还有一些人有磨牙症,尤其是夜磨牙,在睡眠中不自觉地磨牙,会不断磨损全瓷牙套。对于夜磨牙患者,建议配合使用咬合垫,它就像一个缓冲器,能减少磨牙对全瓷牙套的伤害,保护修复体。所以,要养成良好的咬合习惯,避免过度用力咀嚼硬物,保护好全瓷牙套。

基牙条件与全瓷牙套寿命
基牙的条件也决定了全瓷牙套的支撑力和使用寿命。剩余牙体组织量多、牙周健康的基牙能为全瓷牙套提供更好的支撑。如果基牙有重度的牙周炎,牙周组织不健康,那么全瓷牙套就像建在不稳固地基上的房子,容易出现问题。所以,对于有重度牙周炎的患者,需要先控制炎症,等牙周情况稳定后再进行修复。只有确保基牙的健康,才能让全瓷牙套更好地发挥作用,延长使用寿命。

维护全瓷牙套寿命的建议
为了让全瓷牙套使用得更久,日常生活中要注意一些事项。首先,避免咀嚼实力强的食物,像坚果、螃蟹壳等,减少对全瓷牙套的磨损和压力。其次,使用含氟牙膏刷牙,氟能增强牙齿的抗酸性,维护基牙健康。如果发现修复体有松动或崩瓷的情况,一定要及时就诊复查,让医生进行处理。只要做好这些维护工作,就能在一定程度上延长全瓷牙套的使用寿命。
全瓷牙套的寿命是几年,受到材料类型、口腔护理、咬合习惯和基牙条件等多种因素的影响。通过了解这些因素,并采取相应的维护措施,我们可以更好地保护全瓷牙套,实现持久美牙。如果你正在考虑安装全瓷牙套,不妨综合考虑这些因素;如果你已经安装了全瓷牙套,一定要按照建议做好维护工作。定期去医院检查,让专精医生为你的美牙之路保驾护航。

发表评论 取消回复